电话:
+86 (0512) 65829739
传真:
+86 (010) 6788 5057
电子邮件:
orders@antibodies-online.cn

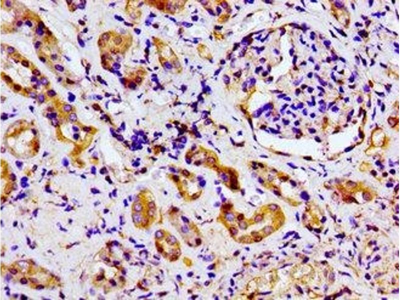
MARK2 抗体 (AA 373-594)

The 兔 多克隆 anti-MARK2 antibody (ABIN7169068) specifically detects MARK2 in WB, ELISA 和 IHC. The antibody is reactive with 人 samples.
产品编号 ABIN7169068
发货至: 中国
Contact our Customer Service for availability and price in your country. Contact Info

Our Local Distributor

中国
北京 101111
No. 88 KeChuang 6th Street
Beijing Economic Technological Development Area
Room 801-803
4A Biotech Co.,Ltd.
Tel +86 (0512) 65829739 传真 +86 (010) 6788 5057

Quick Overview for MARK2 抗体 (AA 373-594) (ABIN7169068)

抗原

See all MARK2 抗体
MARK2 (MAP/microtubule Affinity-Regulating Kinase 2 (MARK2))

适用

  • 84
  • 61
  • 52
  • 2
  • 2
  • 2
  • 1
  • 1
  • 1
  • 1

宿主

  • 80
  • 3
  • 1

克隆类型

  • 63
  • 21
多克隆

标记

  • 35
  • 5
  • 4
  • 4
  • 4
  • 4
  • 4
  • 4
  • 4
  • 3
  • 1
  • 1
  • 1
  • 1
  • 1
  • 1
  • 1
  • 1
  • 1
  • 1
  • 1
  • 1
  • 1
This MARK2 antibody is un-conjugated

应用范围

  • 54
  • 30
  • 15
  • 15
  • 11
  • 11
  • 9
  • 5
  • 3
  • 1
  • 1
  • 1
Western Blotting (WB), ELISA, Immunohistochemistry (IHC)
  • 抗原表位

    • 13
    • 8
    • 5
    • 4
    • 3
    • 3
    • 3
    • 2
    • 2
    • 2
    • 2
    • 2
    • 1
    • 1
    • 1
    AA 373-594

    原理

    MARK2 Antibody

    纯化方法

    Protein G purified

    纯度

    >95 %

    免疫原

    Recombinant Human Serine/threonine-protein kinase MARK2 protein (373-594AA)

    亚型

    IgG
  • 应用备注

    Optimal working dilution should be determined by the investigator.

    限制

    仅限研究用
  • 状态

    Liquid

    缓冲液

    Preservative: 0.03 % Proclin 300
    Constituents: 50 % Glycerol, 0.01M PBS, pH 7.4

    储存液

    ProClin

    注意事项

    This product contains ProClin: a POISONOUS AND HAZARDOUS SUBSTANCE which should be handled by trained staff only.

    储存条件

    -20 °C,-80 °C

    储存方法

    Upon receipt, store at -20°C or -80°C. Avoid repeated freeze.
  • 抗原

    MARK2 (MAP/microtubule Affinity-Regulating Kinase 2 (MARK2))

    别名

    MARK2

    背景

    Background: Serine/threonine-protein kinase involved in cell polarity and microtubule dynamics regulation. Phosphorylates CRTC2/TORC2, DCX, HDAC7, KIF13B, MAP2, MAP4, MAPT/TAU, and RAB11FIP2. Plays a key role in cell polarity by phosphorylating the microtubule-associated proteins MAP2, MAP4 and MAPT/TAU at KXGS motifs, causing detachment from microtubules, and their disassembly. Regulates epithelial cell polarity by phosphorylating RAB11FIP2. Involved in the regulation of neuronal migration through its dual activities in regulating cellular polarity and microtubule dynamics, possibly by phosphorylating and regulating DCX. Regulates axogenesis by phosphorylating KIF13B, promoting interaction between KIF13B and 14-3-3 and inhibiting microtubule-dependent accumulation of KIF13B. Also required for neurite outgrowth and establishment of neuronal polarity. Regulates localization and activity of some histone deacetylases by mediating phosphorylation of HDAC7, promoting subsequent interaction between HDAC7 and 14-3-3 and export from the nucleus. Also acts as a positive regulator of the Wnt signaling pathway, probably by mediating phosphorylation of dishevelled proteins (DVL1, DVL2 and/or DVL3). Modulates the developmental decision to build a columnar versus a hepatic epithelial cell apparently by promoting a switch from a direct to a transcytotic mode of apical protein delivery. Essential for the asymmetric development of membrane domains of polarized epithelial cells.

    Aliases: ELKL motif kinase 1 antibody, ELKL motif kinase antibody, EMK-1 antibody, EMK1 antibody, MAP/microtubule affinity regulating kinase 2 antibody, MAP/microtubule affinity-regulating kinase 2 antibody, Mark2 antibody, MARK2_HUMAN antibody, MGC99619 antibody, PAR 1 antibody, Par 1b antibody, PAR1 homolog antibody, Par1b antibody, Ser/Thr protein kinase PAR 1B antibody, Serine/threonine protein kinase EMK antibody, Serine/threonine protein kinase MARK2 antibody, Serine/threonine-protein kinase MARK2 antibody

    UniProt

    Q7KZI7

    途径

    SARS-CoV-2 Protein Interactome, The Global Phosphorylation Landscape of SARS-CoV-2 Infection
You are here: