电话:
+86 (0512) 65829739
传真:
+86 (010) 6788 5057
电子邮件:
orders@antibodies-online.cn

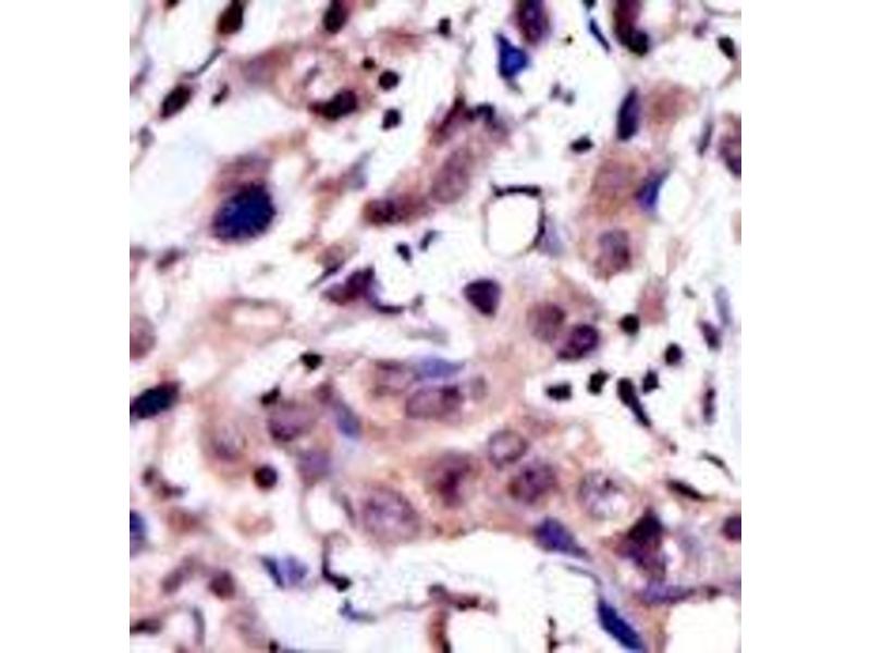
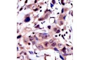
MUSK 抗体 (N-Term)

This 兔 多克隆 antibody specifically detects MUSK in WB, IHC (p) 和 EIA. It exhibits reactivity toward 人.
产品编号 ABIN359902
发货至: 中国
Contact our Customer Service for availability and price in your country. Contact Info

Our Local Distributor

中国
北京 101111
No. 88 KeChuang 6th Street
Beijing Economic Technological Development Area
Room 801-803
4A Biotech Co.,Ltd.
Tel +86 (0512) 65829739 传真 +86 (010) 6788 5057

Quick Overview for MUSK 抗体 (N-Term) (ABIN359902)

抗原

See all MUSK 抗体
MUSK (Muscle, Skeletal, Receptor Tyrosine Kinase (MUSK))

适用

  • 63
  • 33
  • 29
  • 6
  • 5
  • 5
  • 2
  • 2
  • 1
  • 1
  • 1

宿主

  • 58
  • 9
  • 2

克隆类型

  • 63
  • 9
多克隆

标记

  • 42
  • 3
  • 2
  • 2
  • 2
  • 1
  • 1
  • 1
  • 1
  • 1
  • 1
  • 1
  • 1
  • 1
  • 1
  • 1
  • 1
  • 1
  • 1
  • 1
  • 1
  • 1
  • 1
  • 1
  • 1
  • 1
This MUSK antibody is un-conjugated

应用范围

  • 57
  • 22
  • 20
  • 13
  • 13
  • 10
  • 6
  • 5
  • 4
  • 3
  • 3
  • 1
  • 1
Western Blotting (WB), Immunohistochemistry (Paraffin-embedded Sections) (IHC (p)), Enzyme Immunoassay (EIA)
  • 抗原表位

    • 15
    • 7
    • 5
    • 5
    • 3
    • 2
    • 2
    • 2
    • 2
    • 1
    • 1
    • 1
    • 1
    • 1
    • 1
    • 1
    • 1
    • 1
    N-Term

    特异性

    This antibody reacts to MUSK.

    纯化方法

    Protein G column, eluted with high and low pH buffers and neutralized immediately, followed by dialysis against PBS

    免疫原

    This antibody is generated from rabbits immunized with a KLH conjugated synthetic peptide selected from the N-terminal region of human MUSK.

    亚型

    Ig Fraction
  • 应用备注

    ELISA: 1/1,000. Western blotting: 1/100 - 1/500. Immunohistochemistry: 1/50 - 1/100.
    Other applications not tested.
    Optimal dilutions are dependent on conditions and should be determined by the user.

    限制

    仅限研究用
  • 状态

    Liquid

    浓度

    0.25 mg/mL

    缓冲液

    PBS with 0.09 % (W/V) sodium azide

    储存液

    Sodium azide

    注意事项

    This product contains sodium azide: a POISONOUS AND HAZARDOUS SUBSTANCE which should be handled by trained staff only.

    注意事项

    Avoid repeated freezing and thawing.

    储存条件

    4 °C/-20 °C

    储存方法

    Store the antibody undiluted at 2-8 °C for one month or (in aliquots) at-20 °C for longer.
  • 抗原

    MUSK (Muscle, Skeletal, Receptor Tyrosine Kinase (MUSK))

    别名

    MUSK

    背景

    Protein kinases are enzymes that transfer a phosphate group from a phosphate donor, generally the g phosphate of ATP, onto an acceptor amino acid in a substrate protein. By this basic mechanism, protein kinases mediate most of the signal transduction in eukaryotic cells, regulating cellular metabolism, transcription, cell cycle progression, cytoskeletal rearrangement and cell movement, apoptosis, and differentiation. With more than 500 gene products, the protein kinase family is one of the largest families of proteins in eukaryotes. The family has been classified in 8 major groups based on sequence comparison of their tyrosine (PTK) or serine/threonine (STK) kinase catalytic domains.The tyrosine kinase (TK) group is mainly involved in the regulation of cell-cell interactions such as differentiation, adhesion, motility and death. There are currently about 90 TK genes sequenced, 58 are of receptor protein TK (e.g. EGFR, EPH, FGFR, PDGFR, TRK, and VEGFR families), and 32 of cytosolic TK (e.g. ABL, FAK, JAK, and SRC families).Synonyms: Muscle, Muscle-specific kinase receptor, skeletal receptor tyrosine-protein kinase

    基因ID

    4593, 9606

    UniProt

    O15146

    途径

    RTK signaling, Regulation of Muscle Cell Differentiation, Synaptic Membrane, Regulation of Cell Size, Skeletal Muscle Fiber Development
You are here: