电话:
+86 (0512) 65829739
传真:
+86 (010) 6788 5057
电子邮件:
orders@antibodies-online.cn

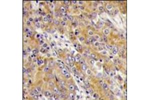
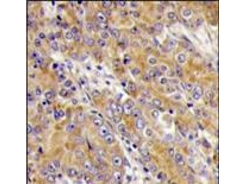
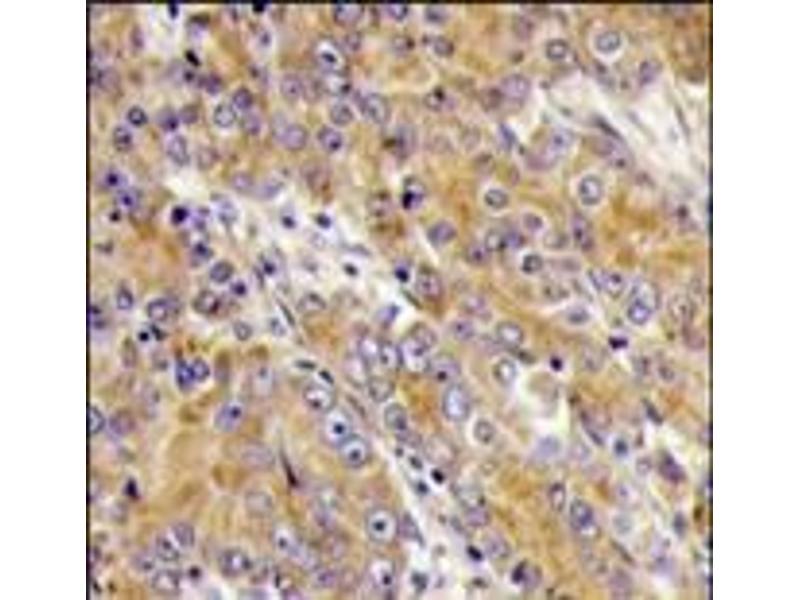
Myosin IC 抗体 (C-Term)

This 兔 多克隆 antibody specifically detects Myosin IC in WB 和 IHC (p). It exhibits reactivity toward 人.
产品编号 ABIN358975
发货至: 中国
Contact our Customer Service for availability and price in your country. Contact Info

Our Local Distributor

中国
北京 101111
No. 88 KeChuang 6th Street
Beijing Economic Technological Development Area
Room 801-803
4A Biotech Co.,Ltd.
Tel +86 (0512) 65829739 传真 +86 (010) 6788 5057

Quick Overview for Myosin IC 抗体 (C-Term) (ABIN358975)

抗原

See all Myosin IC (MYO1C) 抗体
Myosin IC (MYO1C)

适用

  • 21
  • 9
  • 8
  • 2
  • 2
  • 2
  • 2
  • 2
  • 2
  • 1
  • 1
  • 1
  • 1
  • 1

宿主

  • 22
  • 1

克隆类型

  • 21
  • 2
多克隆

标记

  • 18
  • 1
  • 1
  • 1
  • 1
  • 1
This Myosin IC antibody is un-conjugated

应用范围

  • 20
  • 17
  • 10
  • 4
  • 4
  • 3
  • 1
Western Blotting (WB), Immunohistochemistry (Paraffin-embedded Sections) (IHC (p))
  • 抗原表位

    • 6
    • 2
    • 2
    • 1
    • 1
    • 1
    • 1
    C-Term

    特异性

    This antibody reacts to Myosin 1C (MYO1C).

    纯化方法

    Protein A column, eluted with high and low pH buffers and neutralized immediately, followed by dialysis against PBS

    免疫原

    This antibody is generated from rabbits immunized with a KLH conjugated synthetic peptide selected from the C-terminal region of human MYO1C.

    亚型

    Ig Fraction
  • 应用备注

    ELISA: 1/1,000. Western blotting: 1/50 - 1/100. Immunohistochemistry: 1/10 - 1/50.
    Other applications not tested.
    Optimal dilutions are dependent on conditions and should be determined by the user.

    限制

    仅限研究用
  • 状态

    Liquid

    浓度

    0.25 mg/mL

    缓冲液

    PBS with 0.09 % (W/V) sodium azide

    储存液

    Sodium azide

    注意事项

    This product contains sodium azide: a POISONOUS AND HAZARDOUS SUBSTANCE which should be handled by trained staff only.

    注意事项

    Avoid repeated freezing and thawing.

    储存条件

    4 °C/-20 °C

    储存方法

    Store the antibody undiluted at 2-8 °C for one month or (in aliquots) at-20 °C for longer.
  • 抗原

    Myosin IC (MYO1C)

    别名

    Myosin-Ic

    背景

    MYO1C is a member of the unconventional myosin protein family, which are actin-based molecular motors. The protein is found in the cytoplasm, and one isoform with a unique N-terminus is also found in the nucleus. The nuclear isoform associates with RNA polymerase I and II and functions in transcription initiation. The mouse ortholog of this protein also functions in intracellular vesicle transport to the plasma membrane.Synonyms: MMI-beta, MMIb, MYO1C, Myosin I beta

    基因ID

    4641, 9606

    UniProt

    O00159

    途径

    Platelet-derived growth Factor Receptor Signaling
You are here: