电话:
+86 (0512) 65829739
传真:
+86 (010) 6788 5057
电子邮件:
orders@antibodies-online.cn

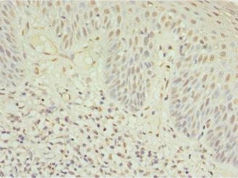
Myosin IC 抗体 (AA 804-1063)

The 兔 多克隆 anti-Myosin IC antibody is suitable to detect Myosin IC in samples from 人. It has been validated for IHC 和 ELISA.
产品编号 ABIN7174944
发货至: 中国
Contact our Customer Service for availability and price in your country. Contact Info

Our Local Distributor

中国
北京 101111
No. 88 KeChuang 6th Street
Beijing Economic Technological Development Area
Room 801-803
4A Biotech Co.,Ltd.
Tel +86 (0512) 65829739 传真 +86 (010) 6788 5057

Quick Overview for Myosin IC 抗体 (AA 804-1063) (ABIN7174944)

抗原

See all Myosin IC (MYO1C) 抗体
Myosin IC (MYO1C)

适用

  • 21
  • 9
  • 8
  • 2
  • 2
  • 2
  • 2
  • 2
  • 2
  • 1
  • 1
  • 1
  • 1
  • 1

宿主

  • 22
  • 1

克隆类型

  • 21
  • 2
多克隆

标记

  • 18
  • 1
  • 1
  • 1
  • 1
  • 1
This Myosin IC antibody is un-conjugated

应用范围

  • 21
  • 16
  • 9
  • 4
  • 4
  • 3
  • 1
  • 1
Immunohistochemistry (IHC), ELISA
  • 抗原表位

    • 6
    • 2
    • 2
    • 1
    • 1
    • 1
    • 1
    AA 804-1063

    原理

    MYO1C Antibody

    纯化方法

    Antigen Affinity Purified

    免疫原

    Recombinant Human Unconventional myosin-Ic protein (804-1063AA)

    亚型

    IgG
  • 应用备注

    Optimal working dilution should be determined by the investigator.

    限制

    仅限研究用
  • 状态

    Liquid

    缓冲液

    PBS with 0.02 % sodium azide, 50 % glycerol, pH 7.3.

    储存液

    Sodium azide

    注意事项

    This product contains Sodium azide: a POISONOUS AND HAZARDOUS SUBSTANCE which should be handled by trained staff only.

    储存条件

    -20 °C,-80 °C

    储存方法

    Upon receipt, store at -20°C or -80°C. Avoid repeated freeze.
  • 抗原

    Myosin IC (MYO1C)

    别名

    MYO1C

    背景

    Background: Myosins are actin-based motor molecules with ATPase activity. Unconventional myosins serve in intracellular movements. Their highly divergent tails are presumed to bind to membranous compartments, which would be moved relative to actin filaments. Involved in glucose transporter recycling in response to insulin by regulating movement of intracellular GLUT4-containing vesicles to the plasma membrane. Component of the hair cell\\\'s (the sensory cells of the inner ear) adaptation-motor complex. Acts as a mediator of adaptation of mechanoelectrical transduction in stereocilia of vestibular hair cells. Binds phosphoinositides and links the actin cytoskeleton to cellular membranes.

    Aliases: MMI beta antibody, MMI-beta antibody, MMIb antibody, MYO1C antibody, MYO1C_HUMAN antibody, Myosin I beta antibody, Myosin Ic antibody, Myosin-Ic antibody, MYR2 antibody, NMI antibody, Nuclear myosin I antibody

    UniProt

    O00159

    途径

    Platelet-derived growth Factor Receptor Signaling
You are here: