电话:
+86 (0512) 65829739
传真:
+86 (010) 6788 5057
电子邮件:
orders@antibodies-online.cn

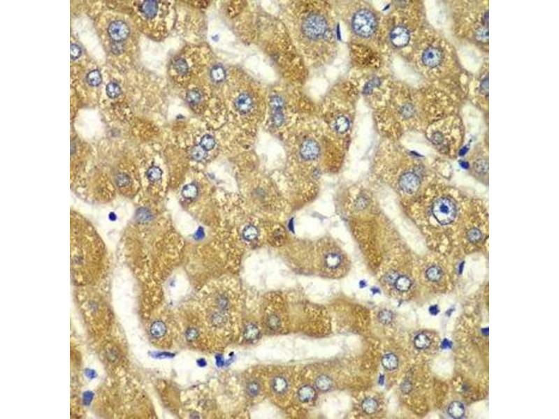
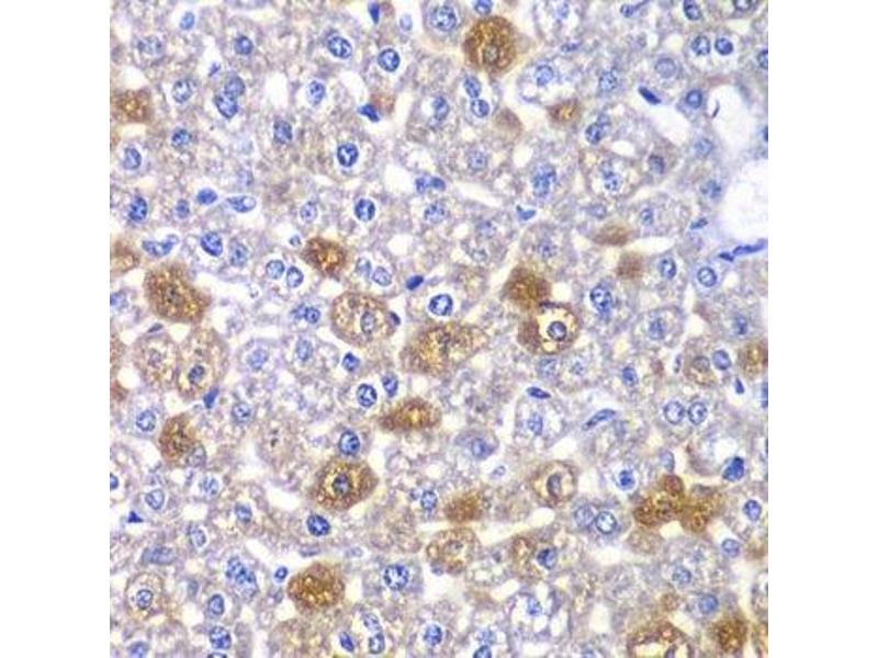
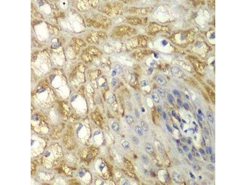
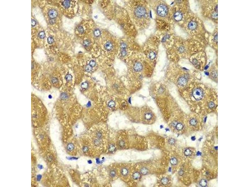
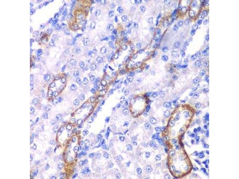
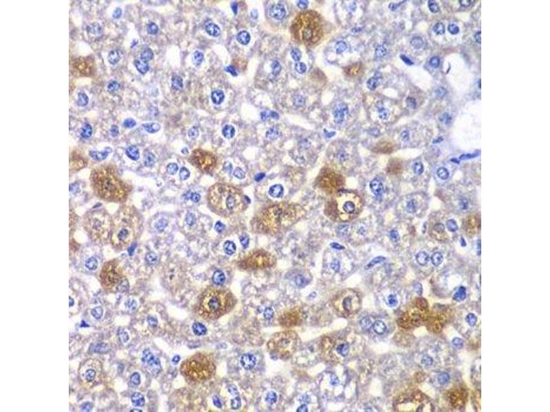
Myosin IC 抗体 (AA 769-1028)

The 兔 多克隆 anti-Myosin IC antibody is suitable to detect Myosin IC in samples from 人. It has been validated for WB 和 IHC.
产品编号 ABIN6144280
发货至: 中国
Contact our Customer Service for availability and price in your country. Contact Info

Our Local Distributor

中国
北京 101111
No. 88 KeChuang 6th Street
Beijing Economic Technological Development Area
Room 801-803
4A Biotech Co.,Ltd.
Tel +86 (0512) 65829739 传真 +86 (010) 6788 5057

Quick Overview for Myosin IC 抗体 (AA 769-1028) (ABIN6144280)

抗原

See all Myosin IC (MYO1C) 抗体
Myosin IC (MYO1C)

适用

  • 21
  • 9
  • 8
  • 2
  • 2
  • 2
  • 2
  • 2
  • 2
  • 1
  • 1
  • 1
  • 1
  • 1

宿主

  • 22
  • 1

克隆类型

  • 21
  • 2
多克隆

标记

  • 18
  • 1
  • 1
  • 1
  • 1
  • 1
This Myosin IC antibody is un-conjugated

应用范围

  • 20
  • 16
  • 10
  • 4
  • 4
  • 3
  • 1
  • 1
Western Blotting (WB), Immunohistochemistry (IHC)
  • 抗原表位

    • 6
    • 2
    • 2
    • 1
    • 1
    • 1
    • 1
    AA 769-1028

    序列

    ENAFFLDHVR TSFLLNLRRQ LPQNVLDTSW PTPPPALREA SELLRELCIK NMVWKYCRSI SPEWKQQLQQ KAVASEIFKG KKDNYPQSVP RLFISTRLGT DEISPRVLQA LGSEPIQYAV PVVKYDRKGY KPRSRQLLLT PNAVVIVEDA KVKQRIDYAN LTGISVSSLS DSLFVLHVQR ADNKQKGDVV LQSDHVIETL TKTALSANRV NSININQGSI TFAGGPGRDG TIDFTPGSEL LITKAKNGHL AVVAPRLNSR

    交叉反应

    人, 小鼠, 大鼠

    产品特性

    Polyclonal Antibodies

    免疫原

    Recombinant fusion protein containing a sequence corresponding to amino acids 769-1028 of human MYO1C (NP_203693.3).

    亚型

    IgG
  • 应用备注

    WB,1:500 - 1:2000,IHC,1:50 - 1:200

    说明

    HIGH QUALITY

    限制

    仅限研究用
  • 状态

    Liquid

    缓冲液

    PBS with 0.02 % sodium azide,50 % glycerol, pH 7.3.

    储存液

    Sodium azide

    注意事项

    This product contains Sodium azide: a POISONOUS AND HAZARDOUS SUBSTANCE which should be handled by trained staff only.

    储存条件

    -20 °C

    储存方法

    Store at -20°C. Avoid freeze / thaw cycles.
  • 抗原

    Myosin IC (MYO1C)

    别名

    MYO1C

    背景

    This gene encodes a member of the unconventional myosin protein family, which are actin-based molecular motors. The protein is found in the cytoplasm, and one isoform with a unique N-terminus is also found in the nucleus. The nuclear isoform associates with RNA polymerase I and II and functions in transcription initiation. The mouse ortholog of this protein also functions in intracellular vesicle transport to the plasma membrane. Multiple transcript variants encoding different isoforms have been found for this gene. The related gene myosin IE has been referred to as myosin IC in the literature, but it is a distinct locus on chromosome 19.,MYO1C,MMI-beta,MMIb,NMI,myr2,myosin IC,Signal Transduction,Cell Biology & Developmental Biology,Cytoskeleton,Motor Proteins,MYO1C

    分子量

    117 kDa/119 kDa/121 kDa

    基因ID

    4641

    UniProt

    O00159

    途径

    Platelet-derived growth Factor Receptor Signaling
You are here: