电话:
+86 (0512) 65829739
传真:
+86 (010) 6788 5057
电子邮件:
orders@antibodies-online.cn

SIGLEC7 抗体 (N-Term)

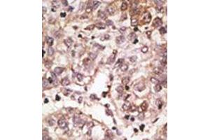
The 兔 多克隆 anti-SIGLEC7 antibody (ABIN357147) specifically detects SIGLEC7 in WB, IHC (p) 和 EIA. The antibody is reactive with 人 和 小鼠 samples.
产品编号 ABIN357147
发货至: 中国
Contact our Customer Service for availability and price in your country. Contact Info

Our Local Distributor

中国
北京 101111
No. 88 KeChuang 6th Street
Beijing Economic Technological Development Area
Room 801-803
4A Biotech Co.,Ltd.
Tel +86 (0512) 65829739 传真 +86 (010) 6788 5057

Quick Overview for SIGLEC7 抗体 (N-Term) (ABIN357147)

抗原

See all SIGLEC7 抗体
SIGLEC7 (Sialic Acid Binding Ig-Like Lectin 7 (SIGLEC7))

适用

  • 82
  • 10
  • 6
  • 3
  • 2
  • 2
  • 1
  • 1
人, 小鼠

宿主

  • 58
  • 24
  • 2

克隆类型

  • 57
  • 23
  • 2
多克隆

标记

  • 47
  • 9
  • 9
  • 4
  • 4
  • 3
  • 1
  • 1
  • 1
  • 1
  • 1
  • 1
This SIGLEC7 antibody is un-conjugated

应用范围

  • 58
  • 36
  • 35
  • 17
  • 13
  • 9
  • 8
  • 2
  • 2
  • 2
  • 1
  • 1
  • 1
  • 1
  • 1
  • 1
Western Blotting (WB), Immunohistochemistry (Paraffin-embedded Sections) (IHC (p)), Enzyme Immunoassay (EIA)
  • 抗原表位

    • 9
    • 8
    • 6
    • 4
    • 4
    • 3
    • 3
    • 3
    • 3
    • 2
    • 2
    • 2
    • 1
    • 1
    • 1
    • 1
    • 1
    • 1
    • 1
    • 1
    • 1
    N-Term

    特异性

    This antibody detects SIGLEC7 at N-term.

    纯化方法

    Protein G column, eluted with high and low pH buffers and neutralized immediately, followed by dialysis against PBS

    免疫原

    This antibody is generated from rabbits immunized with a KLH conjugated synthetic peptide selected from the N-terminal region of human SIGLEC7.

    亚型

    Ig Fraction
  • 应用备注

    ELISA 1: 1,000. Western blot 1: 100 - 1: 500. Immunohistochemistry 1: 50 - 1: 100.
    Other applications not tested.
    Optimal dilutions are dependent on conditions and should be determined by the user.

    限制

    仅限研究用
  • 状态

    Liquid

    浓度

    0.25 mg/mL

    缓冲液

    PBS with 0.09 % (W/V) sodium azide

    储存液

    Sodium azide

    注意事项

    This product contains sodium azide: a POISONOUS AND HAZARDOUS SUBSTANCE which should be handled by trained staff only.

    注意事项

    Avoid repeated freezing and thawing.

    储存条件

    4 °C/-20 °C

    储存方法

    Store the antibody at 2 - 8 °C up to one month or (in aliquots) at -20 °C for longer.
  • 抗原

    SIGLEC7 (Sialic Acid Binding Ig-Like Lectin 7 (SIGLEC7))

    别名

    CD328 / SIGLEC7

    背景

    SIGLECs are members of the immunoglobulin superfamily that are expressed on the cell surface. Most SIGLECs have one or more cytoplasmic immune receptor tyrosine-based inhibitory motifs (ITIM). SIGLECs are typically expressed on cells of the innate immune system, with the exception of the B-cell expressed SIGLEC6. Sequence analysis predicted that the 697-amino acid SIGLEC10 protein contains a signal peptide, an N-terminal V-set Ig-like domain and four C2-set Ig-like domains, five potential N-linked glycosylation sites, a transmembrane region, and a 126-residue cytoplasmic tail with 3 putative ITIMs. Northern blot analysis detected a major 3.0-kb SIGLEC10 transcript, with highest levels in spleen, lymph node, blood leukocytes, and appendix. Little or no expression was observed in pancreas, thyroid, and testis. Flow cytometric analysis demonstrated eosinophil-specific expression of SIGLEC10, but at a lower level than that of SIGLEC8. Expression was also detected on monocytes and a CD16-positive/CD56-negative natural killer-like lymphocyte population. After sialidase treatment, which is necessary for unmasking the sialic acid-binding site on SIGLECs interacting with cell surface sialic acids, cells expressing SIGLEC10 bound to red blood cells. Immunoprecipitation analysis indicated expression of a 100- to 120-kD monomeric protein, higher than the predicted molecular mass, suggesting that SIGLEC10 is glycosylated.Synonyms: AIRM1, Adhesion inhibitory receptor molecule 1, CDw328, D-siglec, QA79 membrane protein, Sialic acid-binding Ig-like lectin 7, Siglec-7, p75

    分子量

    51142 Da

    基因ID

    27036, 5874

    UniProt

    Q9Y286
You are here: