电话:
+86 (0512) 65829739
传真:
+86 (010) 6788 5057
电子邮件:
orders@antibodies-online.cn

BID 抗体 (BH3 Domain)

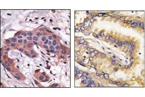
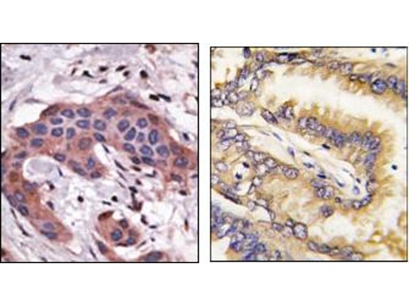
The 兔 多克隆 anti-BID antibody is suitable to detect BID in samples from 人. It has been validated for WB, IHC (p) 和 EIA.
产品编号 ABIN356816
发货至: 中国
Contact our Customer Service for availability and price in your country. Contact Info

Our Local Distributor

中国
北京 101111
No. 88 KeChuang 6th Street
Beijing Economic Technological Development Area
Room 801-803
4A Biotech Co.,Ltd.
Tel +86 (0512) 65829739 传真 +86 (010) 6788 5057

Quick Overview for BID 抗体 (BH3 Domain) (ABIN356816)

抗原

See all BID 抗体
BID (BH3 Interacting Domain Death Agonist (BID))

适用

  • 161
  • 76
  • 38
  • 2
  • 2
  • 1

宿主

  • 172
  • 23
  • 1
  • 1

克隆类型

  • 142
  • 55
多克隆

标记

  • 96
  • 19
  • 12
  • 6
  • 5
  • 5
  • 5
  • 5
  • 5
  • 5
  • 5
  • 3
  • 2
  • 2
  • 2
  • 2
  • 2
  • 2
  • 2
  • 2
  • 2
  • 2
  • 2
  • 2
  • 2
This BID antibody is un-conjugated

应用范围

  • 167
  • 81
  • 58
  • 50
  • 31
  • 29
  • 27
  • 26
  • 26
  • 25
  • 6
  • 6
  • 4
  • 2
  • 1
  • 1
  • 1
  • 1
Western Blotting (WB), Immunohistochemistry (Paraffin-embedded Sections) (IHC (p)), Enzyme Immunoassay (EIA)
  • 抗原表位

    • 20
    • 18
    • 16
    • 8
    • 8
    • 7
    • 7
    • 5
    • 5
    • 4
    • 3
    • 2
    • 2
    • 2
    • 2
    • 2
    • 2
    • 2
    • 1
    • 1
    • 1
    • 1
    • 1
    • 1
    • 1
    • 1
    • 1
    • 1
    • 1
    • 1
    • 1
    • 1
    • 1
    BH3 Domain

    特异性

    This antibody is specific to Bid (BH3 Domain).

    纯化方法

    Protein G Chromatography, eluted with high and low pH buffers and neutralized immediately, followed by dialysis against PBS.

    免疫原

    This antibody is generated from rabbits immunized with a KLH conjugated synthetic peptide encoding the BH3 domain of human Bid.

    亚型

    Ig Fraction
  • 应用备注

    ELISA: 1/1,000. Western blot: 1/100-1/500. Immunohistochemistry: 1/50-1/100.
    Other applications not tested.
    Optimal dilutions are dependent on conditions and should be determined by the user.

    限制

    仅限研究用
  • 状态

    Liquid

    浓度

    0.25 mg/mL

    缓冲液

    PBS containing 0.09 % (W/V) Sodium Azide as preservative.

    储存液

    Sodium azide

    注意事项

    This product contains sodium azide: a POISONOUS AND HAZARDOUS SUBSTANCE which should be handled by trained staff only.

    注意事项

    Avoid repeated freezing and thawing.

    储存条件

    4 °C/-20 °C

    储存方法

    Store the antibody undiluted at 2-8 °C for one month or (in aliquots) at-20 °C for longer.
  • 抗原

    BID (BH3 Interacting Domain Death Agonist (BID))

    别名

    BID

    背景

    Bid is a death agonist that heterodimerizes with either agonist BAX or antagonist BCL2. Bid is a member of the BCL-2 family of cell death regulators. It is a mediator of mitochondrial damage induced by caspase-8 (CASP8), CASP8 cleaves this encoded protein, and the COOH-terminal part translocates to mitochondria where it triggers cytochrome c release.Synonyms: BH3-interacting domain death agonist, p22 BID

    基因ID

    637, 9606

    UniProt

    P55957

    途径

    Apoptosis, Caspase Cascade in Apoptosis, Positive Regulation of Endopeptidase Activity
You are here: