电话:
+86 (0512) 65829739
传真:
+86 (010) 6788 5057
电子邮件:
orders@antibodies-online.cn

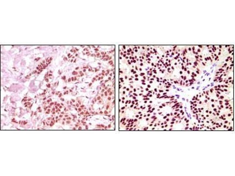
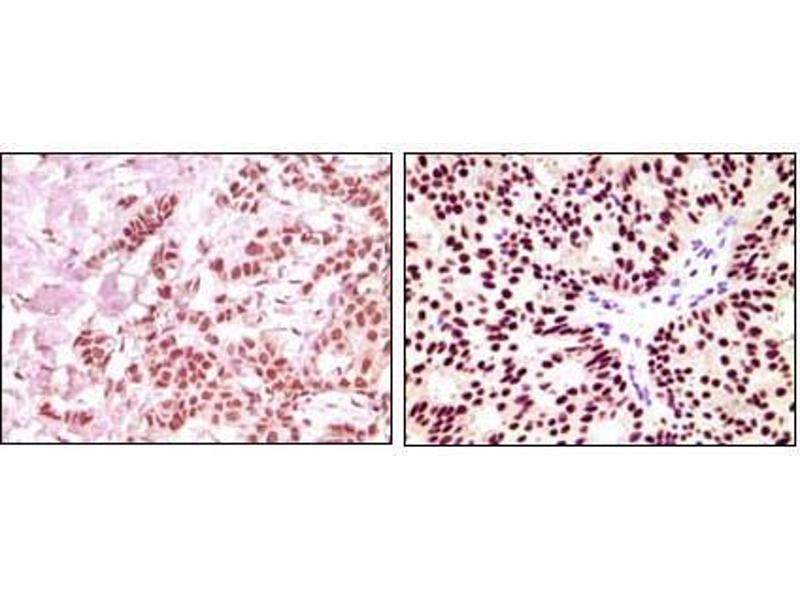
Estrogen Receptor alpha 抗体 (AA 410-592)

This 小鼠 单克隆 antibody specifically detects Estrogen Receptor alpha in WB, IHC 和 ELISA. It exhibits reactivity toward 人.
产品编号 ABIN3210000
发货至: 中国
Contact our Customer Service for availability and price in your country. Contact Info

Our Local Distributor

中国
北京 101111
No. 88 KeChuang 6th Street
Beijing Economic Technological Development Area
Room 801-803
4A Biotech Co.,Ltd.
Tel +86 (0512) 65829739 传真 +86 (010) 6788 5057

Quick Overview for Estrogen Receptor alpha 抗体 (AA 410-592) (ABIN3210000)

抗原

See all Estrogen Receptor alpha (ESR1) 抗体
Estrogen Receptor alpha (ESR1) (Estrogen Receptor 1 (ESR1))

适用

  • 572
  • 186
  • 176
  • 19
  • 18
  • 14
  • 10
  • 7
  • 7
  • 4
  • 3
  • 3
  • 2
  • 2
  • 1

宿主

  • 418
  • 163
  • 1
小鼠

克隆类型

  • 360
  • 223
  • 1
单克隆

标记

  • 239
  • 41
  • 21
  • 18
  • 15
  • 12
  • 12
  • 12
  • 12
  • 12
  • 12
  • 11
  • 11
  • 11
  • 11
  • 11
  • 11
  • 10
  • 8
  • 8
  • 8
  • 8
  • 8
  • 8
  • 8
  • 8
  • 8
  • 8
  • 8
  • 7
  • 3
  • 3
  • 1
This Estrogen Receptor alpha antibody is un-conjugated

应用范围

  • 404
  • 203
  • 180
  • 161
  • 121
  • 94
  • 80
  • 56
  • 56
  • 53
  • 33
  • 28
  • 22
  • 15
  • 7
  • 7
  • 4
  • 3
  • 2
  • 2
  • 2
  • 1
  • 1
  • 1
  • 1
  • 1
  • 1
  • 1
  • 1
Western Blotting (WB), Immunohistochemistry (IHC), ELISA

克隆位点

2B7
  • 抗原表位

    • 34
    • 33
    • 32
    • 30
    • 30
    • 29
    • 28
    • 16
    • 16
    • 16
    • 16
    • 16
    • 15
    • 15
    • 13
    • 11
    • 11
    • 9
    • 9
    • 9
    • 8
    • 7
    • 7
    • 7
    • 4
    • 4
    • 4
    • 4
    • 3
    • 3
    • 3
    • 3
    • 2
    • 2
    • 2
    • 2
    • 2
    • 2
    • 2
    • 2
    • 2
    • 2
    • 2
    • 2
    • 2
    • 2
    • 2
    • 2
    • 2
    • 2
    AA 410-592

    纯化方法

    Purified antibody.

    免疫原

    ER alpha antibody was raised in Mouse using a purified recombinant fragment of human ER-alpha (410-592 aa) expressed in E. coli as the immunogen.

    亚型

    IgG1
  • 应用备注

    ELISA: 1:10,000, IHC: 1:200-1:1000, WB: 1:500-1:2000
    Optimal conditions should be determined by the investigator.

    限制

    仅限研究用
  • 浓度

    Lot specific

    缓冲液

    Purified antibody supplied in PBS containing 0.03 % sodium azide.

    储存液

    Sodium azide

    注意事项

    This product contains Sodium Azide: a POISONOUS AND HAZARDOUS SUBSTANCE, which should be handled by trained staff only.

    注意事项

    Avoid repeated freeze/thaw cycles.
    Dilute only prior to immediate use.

    储存条件

    4 °C/-20 °C

    储存方法

    Store at 4 °C for short term storage. Store at -20 °C for long term storage.
  • 抗原

    Estrogen Receptor alpha (ESR1) (Estrogen Receptor 1 (ESR1))

    别名

    ER alpha

    背景

    The estrogen receptor (ESR) is a ligand-activated transcription factor composed of several domains important for hormone binding, DNA binding, and activation of transcription. Alternative splicing results in several ESR1 mRNA transcripts, which differ primarily in their 5-prime untranslated regions. The translated receptors show less variability. Synonyms: Monoclonal ER alpha antibody, Anti-ER alpha antibody, Estrogen receptor alpha antibody, ERA antibody, NR3A1 antibody.

    途径

    Nuclear Receptor Transcription Pathway, EGFR Signaling Pathway, Retinoic Acid Receptor Signaling Pathway, Intracellular Steroid Hormone Receptor Signaling Pathway, Steroid Hormone Mediated Signaling Pathway, Ribonucleoprotein Complex Subunit Organization, Ribosome Assembly
You are here: