电话:
+86 (0512) 65829739
传真:
+86 (010) 6788 5057
电子邮件:
orders@antibodies-online.cn

ErbB2/Her2 抗体

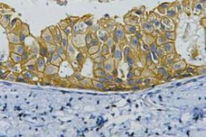
The 小鼠 单克隆 anti-ErbB2/Her2 antibody is suitable to detect ErbB2/Her2 in samples from 人, 小鼠 和 大鼠. It has been validated for WB 和 IHC.
产品编号 ABIN3188001
发货至: 中国
Contact our Customer Service for availability and price in your country. Contact Info

Our Local Distributor

中国
北京 101111
No. 88 KeChuang 6th Street
Beijing Economic Technological Development Area
Room 801-803
4A Biotech Co.,Ltd.
Tel +86 (0512) 65829739 传真 +86 (010) 6788 5057

Quick Overview for ErbB2/Her2 抗体 (ABIN3188001)

抗原

See all ErbB2/Her2 抗体
ErbB2/Her2 (Receptor tyrosine-protein kinase erbB-2 (ErbB2/Her2))

适用

  • 563
  • 125
  • 119
  • 33
  • 8
  • 5
  • 3
  • 3
  • 3
  • 3
  • 1
  • 1
  • 1
  • 1
  • 1
  • 1
  • 1
  • 1
  • 1
人, 小鼠, 大鼠

宿主

  • 310
  • 202
  • 62
  • 10
  • 6
  • 3
  • 2
  • 2
  • 1
小鼠

克隆类型

  • 308
  • 284
  • 3
单克隆

标记

  • 356
  • 28
  • 23
  • 8
  • 8
  • 8
  • 8
  • 8
  • 8
  • 8
  • 8
  • 8
  • 8
  • 7
  • 7
  • 7
  • 6
  • 6
  • 6
  • 6
  • 6
  • 6
  • 6
  • 6
  • 6
  • 6
  • 6
  • 6
  • 5
  • 4
  • 3
  • 2
  • 2
This ErbB2/Her2 antibody is un-conjugated

应用范围

  • 317
  • 142
  • 138
  • 129
  • 128
  • 93
  • 80
  • 60
  • 55
  • 52
  • 48
  • 30
  • 30
  • 12
  • 9
  • 8
  • 5
  • 3
  • 3
  • 3
  • 2
  • 1
  • 1
  • 1
  • 1
  • 1
  • 1
  • 1
  • 1
  • 1
  • 1
Western Blotting (WB), Immunohistochemistry (IHC)

克隆位点

11H9
You are here: