电话:
+86 (0512) 65829739
传真:
+86 (010) 6788 5057
电子邮件:
orders@antibodies-online.cn

Histone 3 抗体 (H3K9me3)

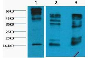
The 小鼠 单克隆 anti-Histone 3 antibody (Clone 2C3) (ABIN3181170) specifically detects Histone 3 in WB. The antibody is reactive with 人, 小鼠 和 大鼠 samples.
产品编号 ABIN3181170
发货至: 中国
Contact our Customer Service for availability and price in your country. Contact Info

Our Local Distributor

中国
北京 101111
No. 88 KeChuang 6th Street
Beijing Economic Technological Development Area
Room 801-803
4A Biotech Co.,Ltd.
Tel +86 (0512) 65829739 传真 +86 (010) 6788 5057

Quick Overview for Histone 3 抗体 (H3K9me3) (ABIN3181170)

抗原

See all Histone 3 (H3) 抗体
Histone 3 (H3) (Histone H3 (H3))

适用

  • 1725
  • 1168
  • 1038
  • 48
  • 40
  • 37
  • 35
  • 32
  • 25
  • 23
  • 21
  • 20
  • 11
  • 7
  • 6
  • 6
  • 5
  • 4
  • 4
  • 4
  • 3
  • 3
  • 2
  • 2
  • 2
  • 2
  • 1
  • 1
  • 1
  • 1
  • 1
  • 1
  • 1
  • 1
  • 1
  • 1
  • 1
  • 1
  • 1
  • 1
  • 1
  • 1
  • 1
  • 1
  • 1
  • 1
  • 1
  • 1
  • 1
  • 1
人, 小鼠, 大鼠

宿主

  • 1504
  • 253
  • 8
  • 5
  • 1
小鼠

克隆类型

  • 1145
  • 625
  • 1
单克隆

标记

  • 947
  • 103
  • 67
  • 67
  • 67
  • 67
  • 67
  • 67
  • 29
  • 28
  • 24
  • 24
  • 18
  • 18
  • 18
  • 17
  • 17
  • 17
  • 17
  • 17
  • 17
  • 17
  • 17
  • 16
  • 7
  • 1
This Histone 3 antibody is un-conjugated

应用范围

  • 1380
  • 601
  • 503
  • 413
  • 335
  • 308
  • 205
  • 204
  • 202
  • 188
  • 177
  • 125
  • 114
  • 48
  • 48
  • 37
  • 26
  • 25
  • 19
  • 15
  • 14
  • 7
  • 7
  • 7
  • 4
  • 3
  • 2
  • 1
  • 1
  • 1
  • 1
Western Blotting (WB)

克隆位点

2C3
  • 抗原表位

    • 71
    • 51
    • 50
    • 49
    • 46
    • 46
    • 46
    • 45
    • 43
    • 39
    • 38
    • 36
    • 33
    • 32
    • 32
    • 29
    • 29
    • 28
    • 28
    • 25
    • 25
    • 25
    • 25
    • 24
    • 24
    • 23
    • 22
    • 22
    • 19
    • 18
    • 18
    • 18
    • 16
    • 15
    • 15
    • 14
    • 14
    • 14
    • 14
    • 12
    • 11
    • 11
    • 11
    • 11
    • 11
    • 11
    • 11
    • 10
    • 10
    • 10
    H3K9me3

    特异性

    The antibody detects endogenous Histone H3 (tri methyl K9) protein.

    产品特性

    Mouse Monoclonal to Histone H3 (Tri methyl K9).

    纯化方法

    The antibody was affinity-purified from mouse ascites by affinity-chromatography using specific immunogen.

    亚型

    IgG1
  • 应用备注

    WB 1:1000-2000

    限制

    仅限研究用
  • 状态

    Liquid

    浓度

    1 mg/mL

    缓冲液

    Liquid in PBS containing 50 % glycerol, 0.5 % BSA and 0.02 % sodium azide.

    储存液

    Sodium azide

    注意事项

    This product contains Sodium azide: a POISONOUS AND HAZARDOUS SUBSTANCE which should be handled by trained staff only.

    注意事项

    Avoid repeated freeze/thaw cycles.

    储存条件

    -20 °C

    储存方法

    Store at -20°C.
  • 抗原

    Histone 3 (H3) (Histone H3 (H3))

    别名

    Histone H3

    基因ID

    8350, 8351, 8352

    UniProt

    P68431, Q71DI3, P84243
You are here: