电话:
+86 (0512) 65829739
传真:
+86 (010) 6788 5057
电子邮件:
orders@antibodies-online.cn

Gelsolin 抗体 (C-Term)

This 兔 多克隆 antibody specifically detects Gelsolin in WB, IHC, ICC, IF 和 FACS. It exhibits reactivity toward 人, 小鼠, 大鼠 和 猴.It has been mentioned in 1 publication
产品编号 ABIN3043978
发货至: 中国
Contact our Customer Service for availability and price in your country. Contact Info

Our Local Distributor

中国
北京 101111
No. 88 KeChuang 6th Street
Beijing Economic Technological Development Area
Room 801-803
4A Biotech Co.,Ltd.
Tel +86 (0512) 65829739 传真 +86 (010) 6788 5057

Quick Overview for Gelsolin 抗体 (C-Term) (ABIN3043978)

抗原

See all Gelsolin (GSN) 抗体
Gelsolin (GSN)

适用

  • 127
  • 41
  • 39
  • 11
  • 7
  • 3
  • 3
  • 2
  • 2
  • 2
  • 1
  • 1
  • 1
人, 小鼠, 大鼠, 猴

宿主

  • 101
  • 33
  • 4
  • 2

克隆类型

  • 81
  • 59
多克隆

标记

  • 80
  • 11
  • 5
  • 4
  • 4
  • 4
  • 4
  • 4
  • 4
  • 2
  • 2
  • 2
  • 1
  • 1
  • 1
  • 1
  • 1
  • 1
  • 1
  • 1
  • 1
  • 1
  • 1
  • 1
  • 1
  • 1
This Gelsolin antibody is un-conjugated

应用范围

  • 104
  • 53
  • 39
  • 34
  • 29
  • 26
  • 23
  • 18
  • 14
  • 13
  • 5
  • 3
  • 2
  • 1
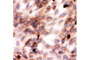
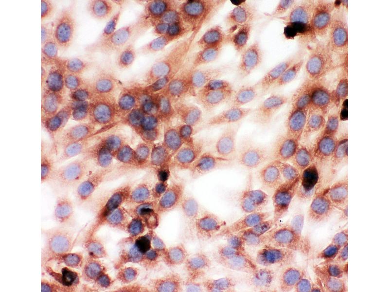
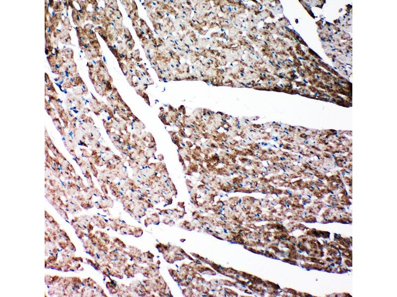
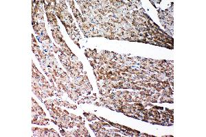
Western Blotting (WB), Immunohistochemistry (IHC), Immunocytochemistry (ICC), Immunofluorescence (IF), Flow Cytometry (FACS)
  • 抗原表位

    • 16
    • 8
    • 5
    • 5
    • 5
    • 4
    • 3
    • 3
    • 3
    • 3
    • 3
    • 2
    • 2
    • 2
    • 2
    • 1
    • 1
    • 1
    • 1
    • 1
    • 1
    • 1
    • 1
    • 1
    • 1
    • 1
    • 1
    • 1
    AA 763-775, C-Term

    原理

    Anti-Gelsolin/GSN Antibody

    序列

    WDDDYWSVDP LDR

    交叉反应 (详细)

    No cross-reactivity with other proteins

    产品特性

    Anti-Gelsolin/GSN Antibody (ABIN3043978). Tested in Flow Cytometry, IF, IHC, ICC, WB applications. This antibody reacts with Human, Monkey, Mouse, Rat. This is a premium antibody that guarantees superior quality, high affinity, and strong signals with minimal background in Western blot applications.

    纯化方法

    Immunogen affinity purified.

    免疫原

    A synthetic peptide corresponding to a sequence at the C-terminus of human Gelsolin, identical to the related rat sequence, and different from the related mouse sequence by one amino acid.

    亚型

    IgG
  • 应用备注

    Western blot, 0.1-0.5 μg/mL, Human, Mouse, Monkey, Rat
    Immunohistochemistry (Paraffin-embedded Section), 0.5-1 μg/mL, Human, Rat
    Immunocytochemistry , 0.5-1 μg/mL, Mouse
    Immunocytochemistry/Immunofluorescence, 2 μg/mL, Human
    Flow Cytometry (Fixed), 1-3 μg/1x106 cells, Human

    说明

    Antibody can be supported by chemiluminescence kit ABIN921124 in WB, supported by ABIN921231 in IHC(P) and ICC.

    限制

    仅限研究用
  • 状态

    Lyophilized

    溶解方式

    Add 0.2 mL of distilled water will yield a concentration of 500 μg/mL.

    浓度

    500 μg/mL

    缓冲液

    Each vial contains 5 mg BSA, 0.9 mg NaCl, 0.2 mg Na2HPO4, 0.05 mg Thimerosal, 0.05 mg Sodium azide.

    储存液

    Thimerosal (Merthiolate), Sodium azide

    注意事项

    This product contains Thimerosal (Merthiolate) and Sodium azide: POISONOUS AND HAZARDOUS SUBSTANCES which should be handled by trained staff only.

    注意事项

    Avoid repeated freezing and thawing.

    储存条件

    4 °C,-20 °C

    储存方法

    Store at -20°C for one year from date of receipt. After reconstitution, at 4°C for one month.
    It can also be aliquotted and stored frozen at -20°C for six months. Avoid repeated freeze-thaw cycles.

    有效期

    12 months
  • Guo, Cui, Jiang, Zhang, Jiang: "Proteomics of acute heart failure in a rat post-myocardial infarction model." in: Molecular medicine reports, Vol. 16, Issue 2, pp. 1946-1956, (2018) (PubMed).

  • 抗原

    Gelsolin (GSN)

    别名

    GSN

    背景

    Synonyms: Gelsolin,AGEL,Actin-depolymerizing factor,ADF,Brevin,GSN,

    Tissue Specificity: Phagocytic cells, platelets, fibroblasts, nonmuscle cells, smooth and skeletal muscle cells.

    Background: Gelsolin also known as GNS is an actin-binding protein that is a key regulator of actin filament assembly and disassembly. Gelsolin is one of the most potent members of the actin-severing gelsolin/villin superfamily. The gene was assigned to human chromosome 9q33.2. Gelsolin is also known as brevin, or actin-depolymerizing factor, it is the principal intracellular and extracellular actin-severing protein. Gelsolin and Gc protein together constitute the extracellular actin-scavenger system which prevents the toxic effects of actin release into the extracellular space under circumstances of cell necrosis. Gelsolin may have therapeutic potential as a mucolytic agent in CF patients. The antiapoptotic activity of gelsolin seems to prevent a step leading to cytochrome c release from the mitochondria into the cytosol.

    Sequence Similarities: Belongs to the villin/gelsolin family.

    分子量

    90 kDa

    UniProt

    P06396

    途径

    Caspase Cascade in Apoptosis, Regulation of Actin Filament Polymerization, Autophagy
You are here: