电话:
+86 (0512) 65829739
传真:
+86 (010) 6788 5057
电子邮件:
orders@antibodies-online.cn

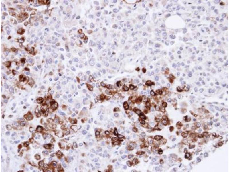
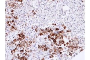
Gelsolin 抗体 (C-Term)

This 兔 多克隆 antibody specifically detects Gelsolin in WB, ICC, IF 和 IHC (p). It exhibits reactivity toward 人.
产品编号 ABIN2854963
发货至: 中国
Contact our Customer Service for availability and price in your country. Contact Info

Our Local Distributor

中国
北京 101111
No. 88 KeChuang 6th Street
Beijing Economic Technological Development Area
Room 801-803
4A Biotech Co.,Ltd.
Tel +86 (0512) 65829739 传真 +86 (010) 6788 5057

Quick Overview for Gelsolin 抗体 (C-Term) (ABIN2854963)

抗原

See all Gelsolin (GSN) 抗体
Gelsolin (GSN)

适用

  • 127
  • 42
  • 40
  • 11
  • 7
  • 4
  • 3
  • 2
  • 2
  • 2
  • 1
  • 1
  • 1

宿主

  • 101
  • 33
  • 4
  • 2

克隆类型

  • 81
  • 59
多克隆

标记

  • 80
  • 11
  • 5
  • 4
  • 4
  • 4
  • 4
  • 4
  • 4
  • 2
  • 2
  • 2
  • 1
  • 1
  • 1
  • 1
  • 1
  • 1
  • 1
  • 1
  • 1
  • 1
  • 1
  • 1
  • 1
  • 1
This Gelsolin antibody is un-conjugated

应用范围

  • 104
  • 54
  • 39
  • 35
  • 29
  • 26
  • 23
  • 17
  • 14
  • 13
  • 5
  • 3
  • 2
  • 1
Western Blotting (WB), Immunocytochemistry (ICC), Immunofluorescence (IF), Immunohistochemistry (Paraffin-embedded Sections) (IHC (p))

质量等级

KO Validated
  • 抗原表位

    • 16
    • 8
    • 5
    • 5
    • 5
    • 4
    • 3
    • 3
    • 3
    • 3
    • 3
    • 3
    • 2
    • 2
    • 2
    • 1
    • 1
    • 1
    • 1
    • 1
    • 1
    • 1
    • 1
    • 1
    • 1
    • 1
    • 1
    • 1
    C-Term

    交叉反应

    人, 小鼠, 大鼠

    产品特性

    Rabbit Polyclonal antibody to Gelsolin (gelsolin)
    Gelsolin antibody [C2C3], C-term

    纯化方法

    Purified by antigen-affinity chromatography.

    免疫原

    Recombinant protein encompassing a sequence within the C-terminus region of human Gelsolin. The exact sequence is proprietary.

    亚型

    IgG
  • 应用备注

    WB: 1:500-1:3000. ICC/IF: 1:100-1:1000. IHC-P: 1:100-1:1000. Optimal dilutions/concentrations should be determined by the researcher. Not tested in other applications.

    说明

    Positive Control: H1299 , HeLa , human plasma , rat plasma , mouse plasma

    Validation: KO/KD

    限制

    仅限研究用
  • 状态

    Liquid

    浓度

    0.27 mg/mL

    缓冲液

    0.1M Tris-Glycine ( pH 7), 10 % Glycerol, 0.01 % Thimerosal

    储存液

    Thimerosal (Merthiolate)

    注意事项

    This product contains Thimerosal (Merthiolate): a POISONOUS AND HAZARDOUS SUBSTANCE which should be handled by trained staff only.

    储存条件

    4 °C,-20 °C

    储存方法

    Store as concentrated solution. Centrifuge briefly prior to opening vial. For short-term storage (1-2 weeks), store at 4°C. For long-term storage, aliquot and store at -20°C or below. Avoid multiple freeze-thaw cycles.
  • 抗原

    Gelsolin (GSN)

    别名

    gelsolin

    背景

    The protein encoded by this gene binds to the "plus" ends of actin monomers and filaments to prevent monomer exchange. The encoded calcium-regulated protein functions in both assembly and disassembly of actin filaments. Defects in this gene are a cause of familial amyloidosis Finnish type (FAF). Multiple transcript variants encoding several different isoforms have been found for this gene.

    Cellular Localization: Isoform 2: Cytoplasm , cytoskeleton , Isoform 1: Secreted

    分子量

    86 kDa

    基因ID

    2934

    UniProt

    P06396

    途径

    Caspase Cascade in Apoptosis, Regulation of Actin Filament Polymerization, Autophagy
You are here: