电话:
+86 (0512) 65829739
传真:
+86 (010) 6788 5057
电子邮件:
orders@antibodies-online.cn

Neurofilament 抗体

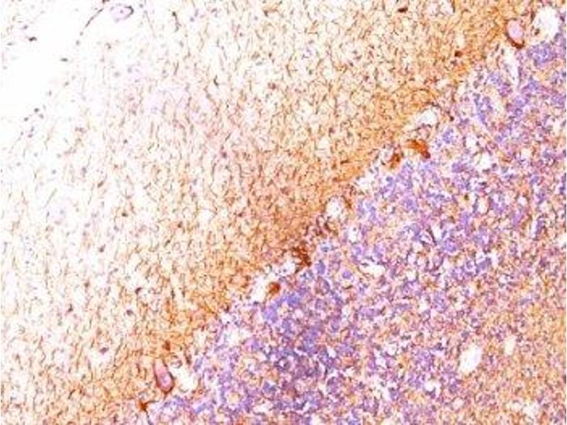
The 小鼠 单克隆 anti-Neurofilament antibody (Clone RT-97-NR-4) (ABIN3026881) specifically detects Neurofilament in FACS 和 IHC (p). The antibody is reactive with 人, 大鼠, 小鸡, Pig 和 小鼠 samples.
产品编号 ABIN3026881
发货至: 中国
Contact our Customer Service for availability and price in your country. Contact Info

Our Local Distributor

中国
北京 101111
No. 88 KeChuang 6th Street
Beijing Economic Technological Development Area
Room 801-803
4A Biotech Co.,Ltd.
Tel +86 (0512) 65829739 传真 +86 (010) 6788 5057

Quick Overview for Neurofilament 抗体 (ABIN3026881)

抗原

Neurofilament

适用

  • 70
  • 68
  • 54
  • 49
  • 49
  • 14
人, 大鼠, 小鸡, Pig, 小鼠

宿主

  • 45
  • 27
  • 1
小鼠

克隆类型

  • 65
  • 8
单克隆

标记

  • 23
  • 8
  • 6
  • 5
  • 5
  • 5
  • 5
  • 5
  • 5
  • 1
  • 1
  • 1
  • 1
  • 1
  • 1
This Neurofilament antibody is un-conjugated

应用范围

  • 51
  • 44
  • 41
  • 36
  • 17
  • 9
  • 6
  • 2
  • 1
Flow Cytometry (FACS), Immunohistochemistry (Paraffin-embedded Sections) (IHC (p))

克隆位点

RT-97-NR-4
  • 产品特性

    This mAb reacts with a 200 kDa and 68 kDa protein, identified as heavy and light sub-units of neurofilaments (NF-H & NF-L). Neurofilaments make up the main structural elements of axons and dendrites and are found in neurons, peripheral nerves, and sympathetic ganglion cells. Neurofilaments consist of three major subunits with molecular weights of 68 kDa (NF-L), 160 kDa (NF-M) and 200 kDa (NF-H). Anti-neurofilament stains a number of neural, neuroendocrine, and endocrine tumors. Neuromas, ganglioneuromas, gangliogliomas, ganglioneuroblastomas, and neuroblastomas stain positively for anti-neurofilament. Neurofilaments are also present in paragangliomas as well as adrenal and extra-adrenal pheochromocytomas. Carcinoids, neuroendocrine carcinomas of the skin, and cell carcinomas of the lung also express neurofilament.

    纯化方法

    Protein G affinity chromatography

    免疫原

    Triton-X 100 insoluble proteins of rat brain (RT-97) and Neurofilaments from porcine spinal cord (NR-4) were used as the immunogen for the Neurofilament antibody cocktail.

    亚型

    IgG
  • 应用备注

    Optimal dilution of the Neurofilament antibody cocktail should be determined by the researcher.

    1. Staining of formalin-fixed tissues requires boiling tissue sections in 10  mM Citrate buffer,  pH 6.0, for 10-20 min followed by cooling at RT for 20 min.
    2. The prediluted format is supplied in a dropper bottle and is optimized for use in IHC. After epitope retrieval step (if required), drip mAb solution onto the tissue section and incubate at RT for 30 min.\. Flow Cytometry: 0.5-1 μg/million cells in 0.1ml,Immunohistochemistry (FFPE): 0.25-0.5 μg/mL for 30 min at RT (1),Prediluted format: incubate for 30 min at RT (2)

    限制

    仅限研究用
  • 浓度

    0.2 mg/mL

    缓冲液

    0.2 mg/mL in 1X PBS with 0.1 mg/mL BSA (US sourced) and 0.05 % sodium azide

    储存液

    Sodium azide

    注意事项

    This product contains Sodium azide: a POISONOUS AND HAZARDOUS SUBSTANCE which should be handled by trained staff only.

    储存条件

    4 °C,-20 °C

    储存方法

    Store the Neurofilament antibody cocktail at 2-8°C (with azide) or aliquot and store at -20°C or colder (without azide).
  • 抗原

    Neurofilament

    背景

    This mAb reacts with a 200  kDa and 68  kDa protein, identified as heavy and light sub-units of neurofilaments (NF-H & NF-L). Neurofilaments make up the main structural elements of axons and dendrites and are found in neurons, peripheral nerves, and sympathetic ganglion cells. Neurofilaments consist of three major subunits with molecular weights of 68  kDa (NF-L), 160  kDa (NF-M) and 200  kDa (NF-H). Anti-neurofilament stains a number of neural, neuroendocrine, and endocrine tumors. Neuromas, ganglioneuromas, gangliogliomas, ganglioneuroblastomas, and neuroblastomas stain positively for anti-neurofilament. Neurofilaments are also present in paragangliomas as well as adrenal and extra-adrenal pheochromocytomas. Carcinoids, neuroendocrine carcinomas of the skin, and cell carcinomas of the lung also express neurofilament.
You are here: