电话:
+86 (0512) 65829739
传真:
+86 (010) 6788 5057
电子邮件:
orders@antibodies-online.cn

TFF1 抗体 (C-Term)

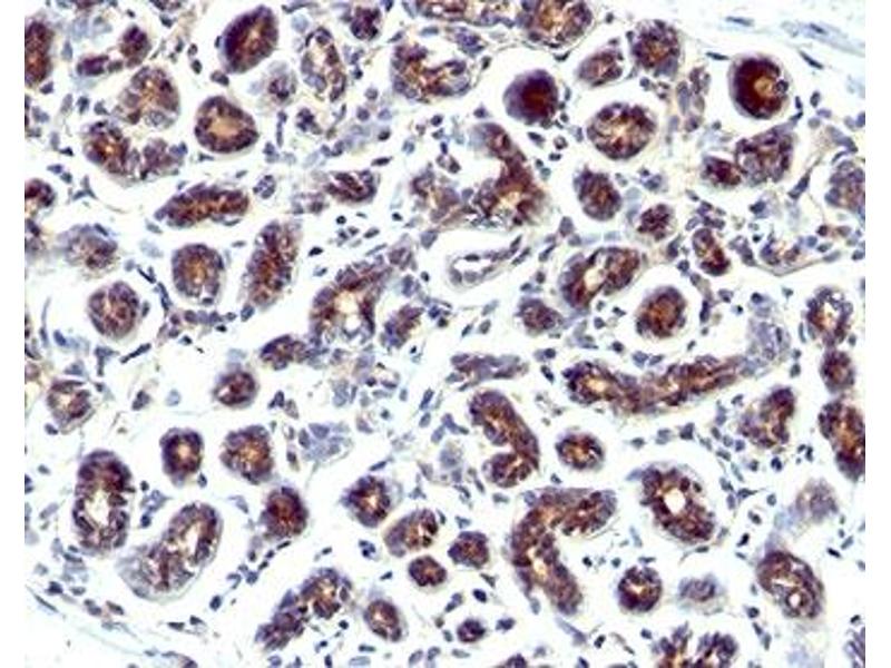
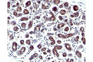
The 小鼠 单克隆 anti-TFF1 antibody (Clone GE2) (ABIN3026542) specifically detects TFF1 in IF, FACS 和 IHC (p). The antibody is reactive with 人 和 Cynomolgus samples.
产品编号 ABIN3026542
发货至: 中国
Contact our Customer Service for availability and price in your country. Contact Info

Our Local Distributor

中国
北京 101111
No. 88 KeChuang 6th Street
Beijing Economic Technological Development Area
Room 801-803
4A Biotech Co.,Ltd.
Tel +86 (0512) 65829739 传真 +86 (010) 6788 5057

Quick Overview for TFF1 抗体 (C-Term) (ABIN3026542)

抗原

See all TFF1 抗体
TFF1 (Trefoil Factor 1 (TFF1))

适用

  • 98
  • 18
  • 16
  • 14
  • 10
人, Cynomolgus

宿主

  • 60
  • 47
小鼠

克隆类型

  • 61
  • 46
单克隆

标记

  • 62
  • 9
  • 3
  • 3
  • 3
  • 3
  • 3
  • 3
  • 2
  • 2
  • 2
  • 2
  • 2
  • 2
  • 2
  • 2
  • 1
  • 1
This TFF1 antibody is un-conjugated

应用范围

  • 64
  • 48
  • 44
  • 38
  • 20
  • 18
  • 15
  • 10
  • 6
  • 6
  • 2
  • 2
  • 2
  • 1
  • 1
  • 1
  • 1
  • 1
  • 1
  • 1
Immunofluorescence (IF), Flow Cytometry (FACS), Immunohistochemistry (Paraffin-embedded Sections) (IHC (p))

克隆位点

GE2
  • 抗原表位

    • 28
    • 16
    • 6
    • 3
    • 2
    • 2
    • 2
    • 2
    • 2
    • 1
    • 1
    • 1
    • 1
    • 1
    • 1
    • 1
    • 1
    C-Term

    产品特性

    This antibody recognizes a polypeptide of ~6.5 kDa, identified as Estrogen Inducible Protein pS2. The antibody's epitope is localized between amino acids 57-84. pS2 is a trefoil peptide. Trefoil peptides are protease resistant molecules secreted throughout the gut that play a role in mucosal healing. These peptides contain three intrachain disulfide bonds, forming the trefoil motif, or P-domain. Estrogen Inducible Protein pS2 is known to form dimers and this dimerization is thought to play a role in its protective and healing properties. About 60 % of breast carcinomas are positive for estrogen inducible protein pS2. Staining is cytoplasmic, often with localization to the Golgi apparatus. It is shown to be localized in normal stomach mucosa, gastric fluid, goblet cells in the colon and small intestine, and in ulcerations of the gastrointestinal tract. Several studies have shown that estrogen inducible protein pS2 is primarily expressed in estrogen receptor-positive breast tumors and it may define a subset of estrogen-dependent tumors that displays an increased likelihood of response to endocrine therapy.

    纯化方法

    Protein G affinity chromatography

    免疫原

    Amino acids CFDDTVRGVPWCFYPNTIDVPPEEECEF (57-84) from the C-terminus of human Estrogen inducible protein pS2 was used as the immunogen for this antibody.

    亚型

    IgG1 kappa
  • 应用备注

    The concentration stated for each application is a general starting point. Variations in protocols, secondaries and substrates may require the antibody to be titered up or down for optimal performance.

    1. Staining of FFPE tissues REQUIRES digestion with Pronase E at 1 mg/mL in PBS for 15 min at 37 °C. Heat Induced Epitope Retrieval is not suitable for this antibody.
    2. The prediluted format is supplied in a dropper bottle and is optimized for use in IHC. After epitope retrieval step (if required), drip mAb solution onto the tissue section and incubate at RT for 30 min.\. FACS: 0.5-1 μg/million cells,IF: 0.5-1 μg/mL,IHC (FFPE): 0.5-1.0 μg/mL for 30 minutes at RT (1),Prediluted format : incubate for 30 min at RT (2)

    限制

    仅限研究用
  • 浓度

    1 mg/mL

    缓冲液

    1 mg/mL in 1X PBS, BSA free, sodium azide free

    储存液

    Azide free

    储存条件

    4 °C,-20 °C

    储存方法

    Store the Estrogen Inducible Protein pS2 antibody at 2-8°C (with azide) or aliquot and store at -20°C or colder (without azide).
  • 抗原

    TFF1 (Trefoil Factor 1 (TFF1))

    别名

    Estrogen Inducible Protein pS2

    背景

    This antibody recognizes a polypeptide of ~6.5  kDa, identified as Estrogen Inducible Protein pS2. The antibody's epitope is localized between amino acids 57-84. pS2 is a trefoil peptide. Trefoil peptides are protease resistant molecules secreted throughout the gut that play a role in mucosal healing. These peptides contain three intrachain disulfide bonds, forming the trefoil motif, or P-domain. Estrogen Inducible Protein pS2 is known to form dimers and this dimerization is thought to play a role in its protective and healing properties. About 60 % of breast carcinomas are positive for estrogen inducible protein pS2. Staining is cytoplasmic, often with localization to the Golgi apparatus. It is shown to be localized in normal stomach mucosa, gastric fluid, goblet cells in the colon and small intestine, and in ulcerations of the gastrointestinal tract. Several studies have shown that estrogen inducible protein pS2 is primarily expressed in estrogen receptor-positive breast tumors and it may define a subset of estrogen-dependent tumors that displays an increased likelihood of response to endocrine therapy.

    基因ID

    7031

    途径

    EGFR Signaling Pathway
You are here: