电话:
+86 (0512) 65829739
传真:
+86 (010) 6788 5057
电子邮件:
orders@antibodies-online.cn

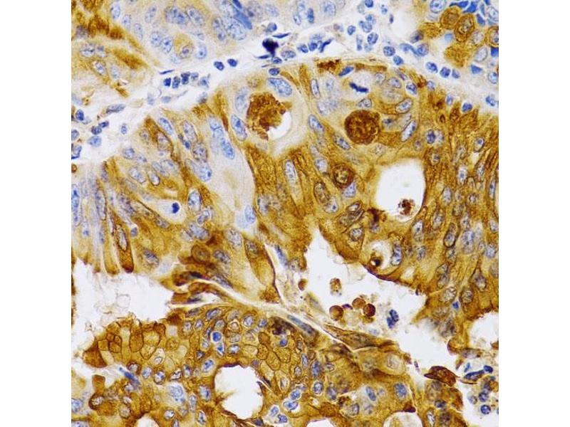
TFF1 抗体 (pSer2)

The 兔 多克隆 anti-TFF1 antibody (ABIN3015566) specifically detects TFF1 in WB 和 IHC. The antibody is reactive with 人 samples.
产品编号 ABIN3015566
发货至: 中国
Contact our Customer Service for availability and price in your country. Contact Info

Our Local Distributor

中国
北京 101111
No. 88 KeChuang 6th Street
Beijing Economic Technological Development Area
Room 801-803
4A Biotech Co.,Ltd.
Tel +86 (0512) 65829739 传真 +86 (010) 6788 5057

Quick Overview for TFF1 抗体 (pSer2) (ABIN3015566)

抗原

See all TFF1 抗体
TFF1 (Trefoil Factor 1 (TFF1))

适用

  • 98
  • 18
  • 17
  • 14
  • 10

宿主

  • 59
  • 48

克隆类型

  • 62
  • 45
多克隆

标记

  • 62
  • 9
  • 3
  • 3
  • 3
  • 3
  • 3
  • 3
  • 2
  • 2
  • 2
  • 2
  • 2
  • 2
  • 2
  • 2
  • 1
  • 1
This TFF1 antibody is un-conjugated

应用范围

  • 63
  • 47
  • 45
  • 39
  • 20
  • 18
  • 15
  • 11
  • 6
  • 6
  • 2
  • 2
  • 2
  • 1
  • 1
  • 1
  • 1
  • 1
  • 1
  • 1
Western Blotting (WB), Immunohistochemistry (IHC)
  • 抗原表位

    • 29
    • 16
    • 6
    • 2
    • 2
    • 2
    • 2
    • 2
    • 2
    • 1
    • 1
    • 1
    • 1
    • 1
    • 1
    • 1
    AA 25-84, pSer2

    序列

    EAQTETCTVA PRERQNCGFP GVTPSQCANK GCCFDDTVRG VPWCFYPNTI DVPPEEECEF

    交叉反应

    人, 小鼠, 大鼠

    产品特性

    Polyclonal Antibodies

    免疫原

    Recombinant fusion protein containing a sequence corresponding to amino acids 25-84 of human TFF1/pS2 (NP_003216.1).

    亚型

    IgG
  • 应用备注

    WB,1:500 - 1:1000,IHC,1:50 - 1:200

    限制

    仅限研究用
  • 缓冲液

    PBS with 0.02 % sodium azide,50 % glycerol, pH 7.3.

    储存液

    Sodium azide

    注意事项

    This product contains Sodium azide: a POISONOUS AND HAZARDOUS SUBSTANCE which should be handled by trained staff only.

    储存条件

    -20 °C

    储存方法

    Store at -20°C. Avoid freeze / thaw cycles.
  • 抗原

    TFF1 (Trefoil Factor 1 (TFF1))

    别名

    TFF1

    背景

    Members of the trefoil family are characterized by having at least one copy of the trefoil motif, a 40-amino acid domain that contains three conserved disulfides. They are stable secretory proteins expressed in gastrointestinal mucosa. Their functions are not defined, but they may protect the mucosa from insults, stabilize the mucus layer, and affect healing of the epithelium. This gene, which is expressed in the gastric mucosa, has also been studied because of its expression in human tumors. This gene and two other related trefoil family member genes are found in a cluster on chromosome 21.,TFF1,BCEI,D21S21,HP1.A,HPS2,pNR-2,pS2,Signal Transduction,Cell Biology & Developmental Biology,Growth factor,TFF1

    分子量

    9 kDa

    基因ID

    7031

    UniProt

    P04155

    途径

    EGFR Signaling Pathway
You are here: