电话:
+86 (0512) 65829739
传真:
+86 (010) 6788 5057
电子邮件:
orders@antibodies-online.cn

TGFA 抗体 (AA 34-43)

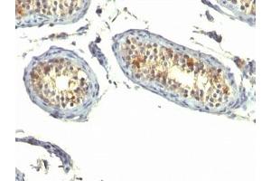
The 小鼠 单克隆 anti-TGFA antibody (Clone P-T1) (ABIN3026449) specifically detects TGFA in IF, FACS 和 IHC (p). The antibody is reactive with 人, 兔 和 斑马鱼 samples.
产品编号 ABIN3026449
发货至: 中国
Contact our Customer Service for availability and price in your country. Contact Info

Our Local Distributor

中国
北京 101111
No. 88 KeChuang 6th Street
Beijing Economic Technological Development Area
Room 801-803
4A Biotech Co.,Ltd.
Tel +86 (0512) 65829739 传真 +86 (010) 6788 5057

Quick Overview for TGFA 抗体 (AA 34-43) (ABIN3026449)

抗原

See all TGFA 抗体
TGFA (Transforming Growth Factor, alpha (TGFA))

适用

  • 122
  • 36
  • 31
  • 17
  • 16
  • 13
  • 4
  • 1
  • 1
  • 1
人, 兔, 斑马鱼

宿主

  • 77
  • 45
  • 4
  • 3
  • 2
  • 1
小鼠

克隆类型

  • 66
  • 65
  • 1
单克隆

标记

  • 65
  • 9
  • 5
  • 4
  • 4
  • 4
  • 4
  • 4
  • 4
  • 4
  • 3
  • 2
  • 2
  • 2
  • 2
  • 2
  • 2
  • 2
  • 2
  • 2
  • 1
  • 1
  • 1
  • 1
This TGFA antibody is un-conjugated

应用范围

  • 61
  • 61
  • 44
  • 33
  • 32
  • 32
  • 21
  • 12
  • 9
  • 4
  • 3
  • 3
  • 3
  • 3
  • 2
  • 2
  • 2
  • 1
  • 1
  • 1
  • 1
Immunofluorescence (IF), Flow Cytometry (FACS), Immunohistochemistry (Paraffin-embedded Sections) (IHC (p))

克隆位点

P-T1
  • 抗原表位

    • 21
    • 17
    • 9
    • 5
    • 3
    • 2
    • 1
    • 1
    • 1
    • 1
    • 1
    • 1
    • 1
    • 1
    • 1
    AA 34-43

    产品特性

    This antibody reacts with the TGF alpha and shows no cross-reaction with EGF and the neuropeptide synenkephalin. The staining with this mAb is completely blocked by the peptide used for raising this antibody. TGFa is a growth factor with 33 % homology to EGF, binds to EGFR, activates tyrosine phosphorylation of the receptor, and stimulates cell proliferation. It plays a role in tumor initiation by inducing the reversible transformed phenotype.

    纯化方法

    Protein G affinity chromatography

    免疫原

    Amino acids 34-43 (PPVAAAVVSH) from the human protein were used as the immunogen for the TGF-alpha antibody.

    亚型

    IgG1 kappa
  • 应用备注

    Optimal dilution of the TGF-alpha antibody should be determined by the researcher.

    1. Staining of formalin-fixed tissues requires boiling tissue sections in 10  mM Citrate buffer,  pH 6.0, for 10-20 min followed by cooling at RT for 20 min.\. Flow Cytometry: 0.5-1 μg/million cells in 0.1ml,Immunofluorescence: 1-2 μg/mL,Immunohistochemistry (FFPE): 2-4 μg/mL for 30 min at RT (1)

    限制

    仅限研究用
  • 浓度

    1 mg/mL

    缓冲液

    1 mg/mL in 1X PBS, BSA free, sodium azide free

    储存液

    Azide free

    储存条件

    4 °C,-20 °C

    储存方法

    Store the TGF-alpha antibody at 2-8°C (with azide) or aliquot and store at -20°C or colder (without azide).
  • 抗原

    TGFA (Transforming Growth Factor, alpha (TGFA))

    别名

    TGF-alpha

    背景

    This antibody reacts with the TGF alpha and shows no cross-reaction with EGF and the neuropeptide synenkephalin. The staining with this mAb is completely blocked by the peptide used for raising this antibody. TGFa is a growth factor with 33 % homology to EGF, binds to EGFR, activates tyrosine phosphorylation of the receptor, and stimulates cell proliferation. It plays a role in tumor initiation by inducing the reversible transformed phenotype.

    途径

    NF-kappaB Signaling, RTK signaling, EGFR Signaling Pathway
You are here: