电话:
+86 (0512) 65829739
传真:
+86 (010) 6788 5057
电子邮件:
orders@antibodies-online.cn

Melanoma gp100 抗体

This 小鼠 单克隆 antibody specifically detects Melanoma gp100 in IF, FACS 和 IHC (p). It exhibits reactivity toward 人 和 马.
产品编号 ABIN3024239
发货至: 中国
Contact our Customer Service for availability and price in your country. Contact Info

Our Local Distributor

中国
北京 101111
No. 88 KeChuang 6th Street
Beijing Economic Technological Development Area
Room 801-803
4A Biotech Co.,Ltd.
Tel +86 (0512) 65829739 传真 +86 (010) 6788 5057

Quick Overview for Melanoma gp100 抗体 (ABIN3024239)

抗原

See all Melanoma gp100 (PMEL) 抗体
Melanoma gp100 (PMEL) (Premelanosome Protein (PMEL))

适用

  • 131
  • 14
  • 13
  • 12
  • 7
  • 3
  • 1
  • 1
  • 1
  • 1
人, 马

宿主

  • 72
  • 56
  • 4
  • 1
小鼠

克隆类型

  • 81
  • 49
  • 2
单克隆

标记

  • 61
  • 10
  • 5
  • 5
  • 5
  • 5
  • 5
  • 5
  • 5
  • 4
  • 3
  • 2
  • 2
  • 2
  • 2
  • 2
  • 2
  • 2
  • 2
  • 1
  • 1
  • 1
This Melanoma gp100 antibody is un-conjugated

应用范围

  • 81
  • 73
  • 41
  • 40
  • 25
  • 20
  • 7
  • 6
  • 5
  • 3
  • 1
  • 1
  • 1
  • 1
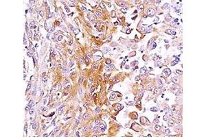
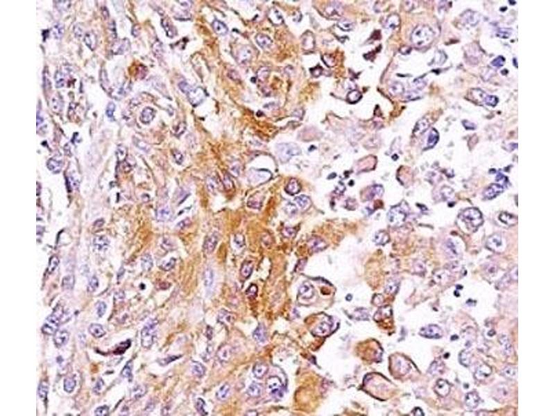
Immunofluorescence (IF), Flow Cytometry (FACS), Immunohistochemistry (Paraffin-embedded Sections) (IHC (p))

克隆位点

SPM286
  • 无交叉反应

    大鼠

    纯化方法

    Protein G affinity chromatography

    免疫原

    Membranes from a human melanoma metastasis were used as the immunogen for this anti-gp100 antibody.

    亚型

    IgG2b kappa
  • 应用备注

    The optimal dilution of the anti-gp100 antibody for each application should be determined by the researcher.

    1. Staining of formalin-fixed tissues requires boiling tissue sections in 10  mM citrate buffer,  pH 6.0, for 10-20 min followed by cooling at RT for 20 minutes.\. Flow Cytometry: 0.5-1 μg/million cells in 0.1ml,Immunofluorescence: 1-2 μg/mL,Immunohistochemistry (FFPE): 1-2 μg/mL for 30 minutes at RT (1)

    限制

    仅限研究用
  • 浓度

    1 mg/mL

    缓冲液

    1 mg/mL in 1X PBS, BSA free, sodium azide free

    储存液

    Azide free

    储存条件

    4 °C,-20 °C

    储存方法

    Store the anti-gp100 antibody at 2-8°C (with azide) or aliquot and store at -20°C or colder (without azide).
  • 抗原

    Melanoma gp100 (PMEL) (Premelanosome Protein (PMEL))

    别名

    Gp100

    背景

    By immunohistochemistry, it specifically recognizes a protein in melanocytes and melanomas. This mAb reacts with junctional and blue nevus cells and variably with fetal and neonatal melanocytes. Intradermal nevi, normal adult melanocytes, and non-melanocytic cells are negative. It does not stain tumor cells of epithelial, lymphoid, glial, or mesenchymal origin.This Mab labels formalin-fixed, paraffin-embedded melanomas and other tumors showing melanocytic differentiation.
You are here: