电话:
+86 (0512) 65829739
传真:
+86 (010) 6788 5057
电子邮件:
orders@antibodies-online.cn

Neurofilament 抗体 (Extracellular Domain)

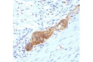
The 小鼠 单克隆 anti-Neurofilament antibody is suitable to detect Neurofilament in samples from 人. It has been validated for IF 和 IHC (p).
产品编号 ABIN3023931
发货至: 中国
Contact our Customer Service for availability and price in your country. Contact Info

Our Local Distributor

中国
北京 101111
No. 88 KeChuang 6th Street
Beijing Economic Technological Development Area
Room 801-803
4A Biotech Co.,Ltd.
Tel +86 (0512) 65829739 传真 +86 (010) 6788 5057

Quick Overview for Neurofilament 抗体 (Extracellular Domain) (ABIN3023931)

抗原

Neurofilament

适用

  • 70
  • 69
  • 55
  • 50
  • 50
  • 14

宿主

  • 45
  • 27
  • 1
小鼠

克隆类型

  • 65
  • 8
单克隆

标记

  • 23
  • 8
  • 6
  • 5
  • 5
  • 5
  • 5
  • 5
  • 5
  • 1
  • 1
  • 1
  • 1
  • 1
  • 1
This Neurofilament antibody is un-conjugated

应用范围

  • 51
  • 44
  • 42
  • 36
  • 16
  • 9
  • 6
  • 2
  • 1
Immunofluorescence (IF), Immunohistochemistry (Paraffin-embedded Sections) (IHC (p))

克隆位点

SPM563
  • 抗原表位

    • 1
    • 1
    Extracellular Domain

    纯化方法

    Protein G affinity chromatography

    免疫原

    A membrane preparation of small cell lung carcinoma was used as the immunogen for this anti-CD56 antibody. This mAb reacts with an extracellular domain (close to transmembrane) of CD56/NCAM.

    亚型

    IgG1 kappa
  • 应用备注

    The optimal dilution of the anti-CD56 antibody for each application should be determined by the researcher.

    1. Staining of formalin-fixed tissues requires boiling tissue sections in 10  mM Citrate Buffer,  pH 6.0, for 10-20 min followed by cooling at RT for 20 minutes.
    2. The prediluted format is supplied in a dropper bottle and is optimized for use in IHC. After epitope retrieval step (if required), drip mAb solution onto the tissue section and incubate at RT for 30 min.\. Immunofluorescence: 1-2 μg/mL,Immunohistochemistry (FFPE): 1-2 μg/mL for 30 minutes at RT (1),Prediluted format: incubate for 30 min at RT (2)

    限制

    仅限研究用
  • 浓度

    1 mg/mL

    缓冲液

    1 mg/mL in 1X PBS, BSA free, sodium azide free

    储存液

    Azide free

    储存条件

    4 °C,-20 °C

    储存方法

    Store the anti-CD56 antibody at 2-8°C (with azide) or aliquot and store at -20°C or colder (without azide).
  • 抗原

    Neurofilament

    背景

    Three isoforms of neural cell adhesion molecule (NCAM) are produced by differential splicing of the RNA transcript from a single gene. The 135  kDa isoform is the basic molecule, which is glycosylated or sialylated to produce the mature species. Anti-CD56 recognizes two proteins of the neural cell adhesion molecule, the basic molecule expressed on most neuroectodermally derived tissues and neoplasms (e.g. retinoblastoma, medulloblastomas, astrocytomas, neuroblastomas, and small cell carcinomas). It is also expressed on some mesodermally derived tumors (rhabdomyosarcoma). Anti-CD56 plays an important role in the diagnosis of nodal and nasal NK/T-cell lymphomas.
You are here: