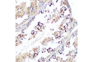
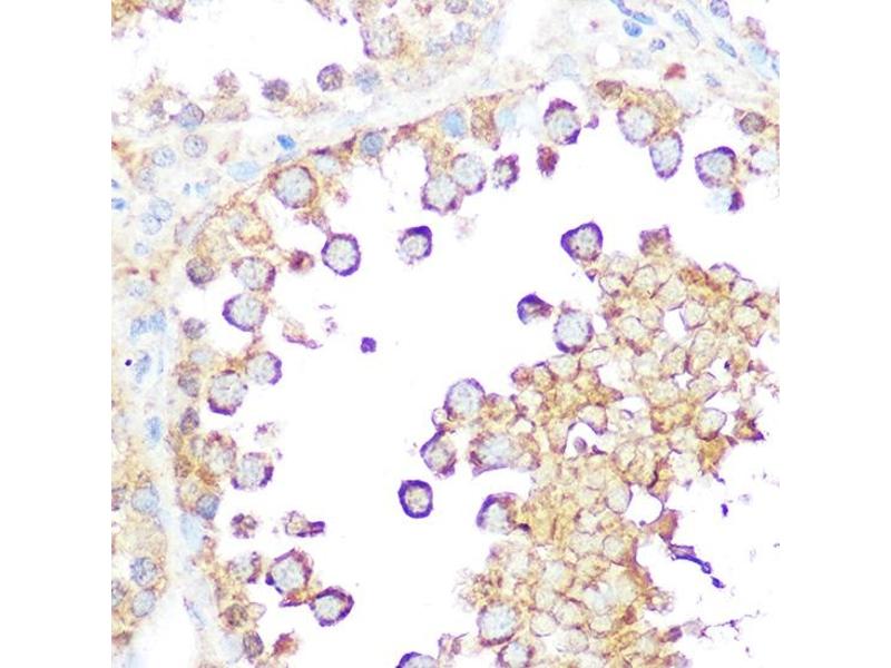
DIABLO 抗体 (AA 1-232)
Our Local Distributor
北京 101111
Quick Overview for DIABLO 抗体 (AA 1-232) (ABIN3023379)
抗原
See all DIABLO 抗体适用
宿主
克隆类型
标记
应用范围
-
-
抗原表位
- AA 1-232
-
序列
- MAALKSWLSR SVTSFFRYRQ CLCVPVVANF KKRCFSELIR PWHKTVTIGF GVTLCAVPIA QKSEPHSLSS EALMRRAVSL VTDSTSTFLS QTTYALIEAI TEYTKAVYTL TSLYRQYTSL LGKMNSEEED EVWQVIIGAR AEMTSKHQEY LKLETTWMTA VGLSEMAAEA AYQTGADQAS ITARNHIQLV KLQVEEVHQL SRKAETKLAE AQIEELRQKT QEEGEERAES EQ
-
交叉反应
- 人, 小鼠, 大鼠
-
产品特性
- Polyclonal Antibodies
-
纯化方法
- Affinity purification
-
免疫原
- Recombinant fusion protein containing a sequence corresponding to amino acids 1-232 of human Smac/Smac/Diablo (NP_063940.1).
-
亚型
- IgG
-
-
-
-
应用备注
- WB,1:500 - 1:2000,IHC,1:50 - 1:200,IP,1:50 - 1:200
-
限制
- 仅限研究用
-
-
-
缓冲液
- PBS with 0.02 % sodium azide,50 % glycerol, pH 7.3.
-
储存液
- Sodium azide
-
注意事项
- This product contains Sodium azide: a POISONOUS AND HAZARDOUS SUBSTANCE which should be handled by trained staff only.
-
储存条件
- -20 °C
-
储存方法
- Store at -20°C. Avoid freeze / thaw cycles.
-
-
- DIABLO (Second Mitochondria-Derived Activator of Caspase (DIABLO))
-
别名
- DIABLO
-
背景
- This gene encodes an inhibitor of apoptosis protein (IAP)-binding protein. The encoded mitochondrial protein enters the cytosol when cells undergo apoptosis, and allows activation of caspases by binding to inhibitor of apoptosis proteins. Overexpression of the encoded protein sensitizes tumor cells to apoptosis. A mutation in this gene is associated with young-adult onset of nonsyndromic deafness-64. Alternative splicing results in multiple transcript variants encoding different isoforms.,DIABLO,DFNA64,SMAC,Cancer,Invasion and Metastasis,Cell Biology & Developmental Biology,Apoptosis,Death receptors & ligands,Mitochondrial Control of Apoptosis,Inhibition of Apoptosis,Death Receptor Signaling Pathway,Endocrine & Metabolism,Mitochondrial metabolism,Mitochondrial markers,DIABLO
-
分子量
- 21 kDa/22 kDa/27 kDa
-
基因ID
- 56616
-
UniProt
- Q9NR28
-
途径
- Apoptosis, Caspase Cascade in Apoptosis, Positive Regulation of Endopeptidase Activity
抗原
-