电话:
+86 (0512) 65829739
传真:
+86 (010) 6788 5057
电子邮件:
orders@antibodies-online.cn

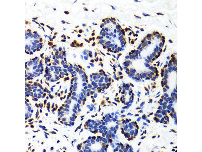
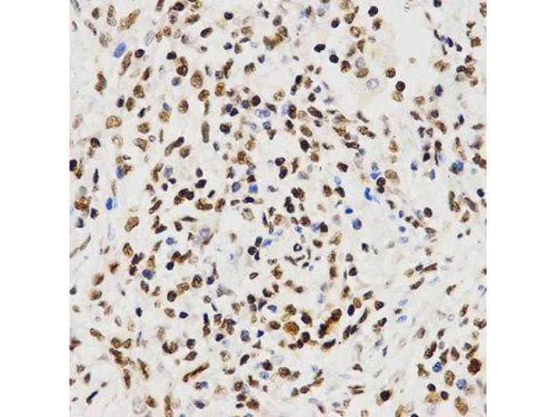
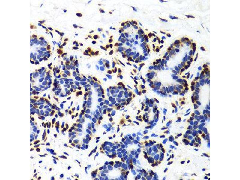
Histone 3 抗体 (C-Term)

There are 6+ publications for this product available. The 兔 多克隆 anti-Histone 3 antibody is suitable to detect Histone 3 in samples from 人. It has been validated for WB, IHC, ChIP 和 IP.
产品编号 ABIN3023243
发货至: 中国
Contact our Customer Service for availability and price in your country. Contact Info

Our Local Distributor

中国
北京 101111
No. 88 KeChuang 6th Street
Beijing Economic Technological Development Area
Room 801-803
4A Biotech Co.,Ltd.
Tel +86 (0512) 65829739 传真 +86 (010) 6788 5057

Quick Overview for Histone 3 抗体 (C-Term) (ABIN3023243)

抗原

See all Histone 3 (H3) 抗体
Histone 3 (H3) (Histone H3 (H3))

适用

  • 1725
  • 1169
  • 1039
  • 48
  • 40
  • 37
  • 35
  • 32
  • 25
  • 23
  • 21
  • 20
  • 11
  • 7
  • 6
  • 6
  • 5
  • 4
  • 4
  • 4
  • 3
  • 3
  • 2
  • 2
  • 2
  • 2
  • 1
  • 1
  • 1
  • 1
  • 1
  • 1
  • 1
  • 1
  • 1
  • 1
  • 1
  • 1
  • 1
  • 1
  • 1
  • 1
  • 1
  • 1
  • 1
  • 1
  • 1
  • 1
  • 1
  • 1

宿主

  • 1503
  • 254
  • 8
  • 5
  • 1

克隆类型

  • 1144
  • 626
  • 1
多克隆

标记

  • 947
  • 103
  • 67
  • 67
  • 67
  • 67
  • 67
  • 67
  • 29
  • 28
  • 24
  • 24
  • 18
  • 18
  • 18
  • 17
  • 17
  • 17
  • 17
  • 17
  • 17
  • 17
  • 17
  • 16
  • 7
  • 1
This Histone 3 antibody is un-conjugated

应用范围

  • 1380
  • 601
  • 502
  • 413
  • 335
  • 307
  • 205
  • 203
  • 202
  • 188
  • 177
  • 125
  • 114
  • 48
  • 48
  • 37
  • 26
  • 25
  • 19
  • 15
  • 14
  • 7
  • 7
  • 7
  • 4
  • 3
  • 2
  • 1
  • 1
  • 1
  • 1
Western Blotting (WB), Immunohistochemistry (IHC), Chromatin Immunoprecipitation (ChIP), Immunoprecipitation (IP)
  • 抗原表位

    • 71
    • 51
    • 50
    • 49
    • 46
    • 46
    • 46
    • 45
    • 43
    • 39
    • 38
    • 36
    • 33
    • 32
    • 32
    • 29
    • 29
    • 29
    • 28
    • 25
    • 25
    • 25
    • 25
    • 24
    • 24
    • 23
    • 22
    • 22
    • 19
    • 18
    • 18
    • 17
    • 16
    • 15
    • 15
    • 14
    • 14
    • 14
    • 14
    • 12
    • 11
    • 11
    • 11
    • 11
    • 11
    • 11
    • 11
    • 10
    • 10
    • 10
    C-Term

    序列

    REIRRYQKST ELLIRKLPFQ RLMREIAQDF KTDLRFQSSA VMALQEACES YLVGLFEDTN LCVIHAKRVT IMPKDIQLAR RIRGERA

    交叉反应

    人, 小鼠, 大鼠

    产品特性

    Polyclonal Antibodies

    纯化方法

    Affinity purification

    免疫原

    A synthetic peptide corresponding to a sequence within amino acids 50 to the C-terminus of human HIST3H3 (NP_003484.1).

    亚型

    IgG
  • 应用备注

    WB,1:500 - 1:2000,IHC,1:50 - 1:200,IP,1:50 - 1:200,ChIP,1:50 - 1:200

    限制

    仅限研究用
  • 状态

    Liquid

    缓冲液

    PBS with 0.02 % sodium azide,50 % glycerol, pH 7.3.

    储存液

    Sodium azide

    注意事项

    This product contains Sodium azide: a POISONOUS AND HAZARDOUS SUBSTANCE which should be handled by trained staff only.

    注意事项

    Avoid freeze / thaw cycles

    储存条件

    -20 °C

    储存方法

    Store at -20°C. Avoid freeze / thaw cycles.
  • Hou, Han, Fei, Gao, Qi, Cai, Qi: "Dietary Flavone Tectochrysin Exerts Anti-Inflammatory Action by Directly Inhibiting MEK1/2 in LPS-Primed Macrophages." in: Molecular nutrition & food research, Vol. 62, Issue 2, (2018) (PubMed).

    Tang, Guo, Zhu, Huang, Liu, Cai, Yu, Wang: "Metformin inhibits ovarian cancer via decreasing H3K27 trimethylation." in: International journal of oncology, Vol. 52, Issue 6, pp. 1899-1911, (2018) (PubMed).

    Zheng, Zhou, Zhang, Thu, Xie, Lu, Pang, Xue, Xu, Chen, Chen, Li, Xu: "Anhydroicaritin improves diet-induced obesity and hyperlipidemia and alleviates insulin resistance by suppressing SREBPs activation." in: Biochemical pharmacology, Vol. 122, pp. 42-61, (2017) (PubMed).

    Su, Li, Lei, Wang, Zhao, Cai, Wang, Li, Wu: "The EZH1-SUZ12 complex positively regulates the transcription of NF-κB target genes through interaction with UXT." in: Journal of cell science, Vol. 129, Issue 12, pp. 2343-53, (2017) (PubMed).

    Yu, Tong, Luo, Xue, Mei, Ma, Yu, Mao, Kong, Yu, Li: "Regulation of SESAME-mediated H3T11 phosphorylation by glycolytic enzymes and metabolites." in: PLoS ONE, Vol. 12, Issue 4, pp. e0175576, (2017) (PubMed).

    Ji, Liu, Zhao, Liu, Guo, Guan, Zhou, Guo: "NF-κB Signaling is Involved in the Effects of Intranasally Engrafted Human Neural Stem Cells on Neurofunctional Improvements in Neonatal Rat Hypoxic-Ischemic Encephalopathy." in: CNS neuroscience & therapeutics, Vol. 21, Issue 12, pp. 926-35, (2016) (PubMed).

  • 抗原

    Histone 3 (H3) (Histone H3 (H3))

    别名

    Histone H3

    背景

    Histones are basic nuclear proteins that are responsible for the nucleosome structure of the chromosomal fiber in eukaryotes. Nucleosomes consist of approximately 146 bp of DNA wrapped around a histone octamer composed of pairs of each of the four core histones (H2A, H2B, H3, and H4). The chromatin fiber is further compacted through the interaction of a linker histone, H1, with the DNA between the nucleosomes to form higher order chromatin structures. This gene is intronless and encodes a replication-dependent histone that is a member of the histone H3 family. Transcripts from this gene lack polyA tails, instead, they contain a palindromic termination element. This gene is located separately from the other H3 genes that are in the histone gene cluster on chromosome 6p22-p21.3.,H3.4,H3/g,H3FT,H3t,HIST3H3,Histone H3,HIST1H3A,Signal Transduction,MAPK-Erk Signaling Pathway,MAPK-P38 Signaling Pathway,Histone H3

    分子量

    15 kDa

    基因ID

    8290

    UniProt

    Q16695
You are here: