电话:
+86 (0512) 65829739
传真:
+86 (010) 6788 5057
电子邮件:
orders@antibodies-online.cn

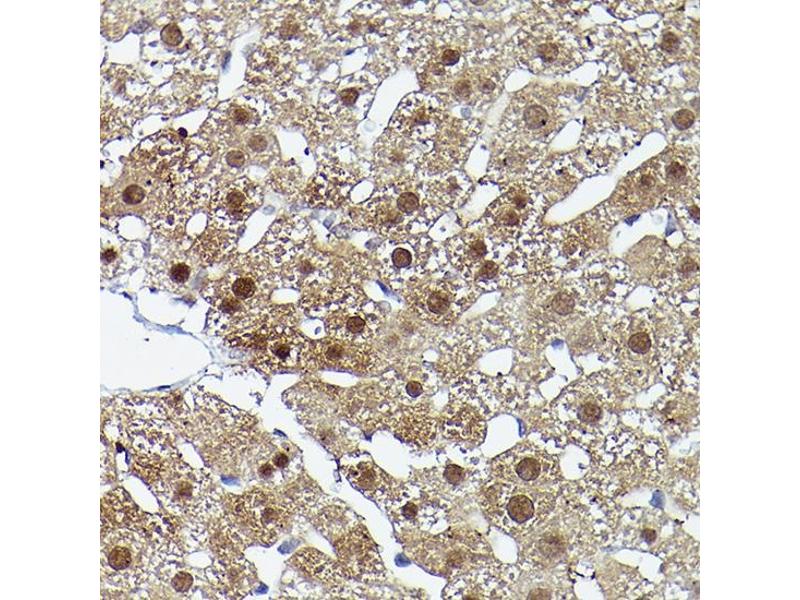
MAPK7 抗体 (AA 1-310)

This 兔 多克隆 antibody specifically detects MAPK7 in WB, IHC 和 IF. It exhibits reactivity toward 人.
产品编号 ABIN3022945
发货至: 中国
Contact our Customer Service for availability and price in your country. Contact Info

Our Local Distributor

中国
北京 101111
No. 88 KeChuang 6th Street
Beijing Economic Technological Development Area
Room 801-803
4A Biotech Co.,Ltd.
Tel +86 (0512) 65829739 传真 +86 (010) 6788 5057

Quick Overview for MAPK7 抗体 (AA 1-310) (ABIN3022945)

抗原

See all MAPK7 抗体
MAPK7 (Mitogen-Activated Protein Kinase 7 (MAPK7))

适用

  • 104
  • 74
  • 68
  • 3
  • 3
  • 3
  • 2
  • 2
  • 2
  • 1

宿主

  • 134
  • 4
  • 2
  • 1

克隆类型

  • 116
  • 25
多克隆

标记

  • 45
  • 11
  • 7
  • 5
  • 4
  • 4
  • 4
  • 4
  • 4
  • 4
  • 4
  • 4
  • 4
  • 4
  • 4
  • 4
  • 4
  • 4
  • 4
  • 4
  • 4
  • 2
  • 1
  • 1
  • 1
This MAPK7 antibody is un-conjugated

应用范围

  • 80
  • 54
  • 53
  • 37
  • 28
  • 23
  • 20
  • 20
  • 15
  • 15
  • 13
  • 1
Western Blotting (WB), Immunohistochemistry (IHC), Immunofluorescence (IF)
  • 抗原表位

    • 16
    • 16
    • 15
    • 15
    • 15
    • 15
    • 10
    • 10
    • 3
    • 3
    • 3
    • 2
    • 2
    • 2
    • 2
    • 1
    • 1
    • 1
    • 1
    • 1
    • 1
    • 1
    • 1
    • 1
    • 1
    • 1
    • 1
    • 1
    • 1
    AA 1-310

    序列

    MAEPLKEEDG EDGSAEPPGP VKAEPAHTAA SVAAKNLALL KARSFDVTFD VGDEYEIIET IGNGAYGVVS SARRRLTGQQ VAIKKIPNAF DVVTNAKRTL RELKILKHFK HDNIIAIKDI LRPTVPYGEF KSVYVVLDLM ESDLHQIIHS SQPLTLEHVR YFLYQLLRGL KYMHSAQVIH RDLKPSNLLV NENCELKIGD FGMARGLCTS PAEHQYFMTE YVATRWYRAP ELMLSLHEYT QAIDLWSVGC IFGEMLARRQ LFPGKNYVHQ LQLIMMVLGT PSPAVIQAVG AERVRAYIQS LPPRQPVPWE

    交叉反应

    人, 小鼠, 大鼠

    产品特性

    Polyclonal Antibodies

    免疫原

    Recombinant fusion protein containing a sequence corresponding to amino acids 1-310 of human ERK5 (NP_002740.2).

    亚型

    IgG
  • 应用备注

    WB,1:500 - 1:2000,IHC,1:50 - 1:200,IF,1:50 - 1:200

    限制

    仅限研究用
  • 状态

    Liquid

    缓冲液

    PBS with 0.02 % sodium azide,50 % glycerol, pH 7.3.

    储存液

    Sodium azide

    注意事项

    This product contains Sodium azide: a POISONOUS AND HAZARDOUS SUBSTANCE which should be handled by trained staff only.

    注意事项

    Avoid freeze / thaw cycles

    储存条件

    -20 °C

    储存方法

    Store at -20°C. Avoid freeze / thaw cycles.
  • 抗原

    MAPK7 (Mitogen-Activated Protein Kinase 7 (MAPK7))

    别名

    MAPK7

    背景

    The protein encoded by this gene is a member of the MAP kinase family. MAP kinases act as an integration point for multiple biochemical signals, and are involved in a wide variety of cellular processes such as proliferation, differentiation, transcription regulation and development. This kinase is specifically activated by mitogen-activated protein kinase kinase 5 (MAP2K5/MEK5). It is involved in the downstream signaling processes of various receptor molecules including receptor type kinases, and G protein-coupled receptors. In response to extracelluar signals, this kinase translocates to cell nucleus, where it regulates gene expression by phosphorylating, and activating different transcription factors. Four alternatively spliced transcript variants of this gene encoding two distinct isoforms have been reported.,MAPK7,BMK1,ERK4,ERK5,PRKM7,Epigenetics & Nuclear Signaling,Translation Control,Regulation of eIF4 and p70 S6 Kinase,Signal Transduction,G protein signaling,G2/M DNA Damage Checkpoint,Kinase,Serine/threonine kinases,mTOR Signaling Pathway,ErbB-HER Signaling Pathway,Cell Biology & Developmental Biology,Microtubules,Immunology & Inflammation,IL-6 Receptor Signaling Pathway,Neuroscience,Cardiovascular,Angiogenesis,MAPK7

    分子量

    50 kDa/59 kDa/73 kDa/88 kDa

    基因ID

    5598

    UniProt

    Q13164

    途径

    MAPK Pathway, Neurotrophin Signaling Pathway, Activation of Innate immune Response, cAMP Metabolic Process, Toll-Like Receptors Cascades, Negative Regulation of intrinsic apoptotic Signaling
You are here: