电话:
+86 (0512) 65829739
传真:
+86 (010) 6788 5057
电子邮件:
orders@antibodies-online.cn

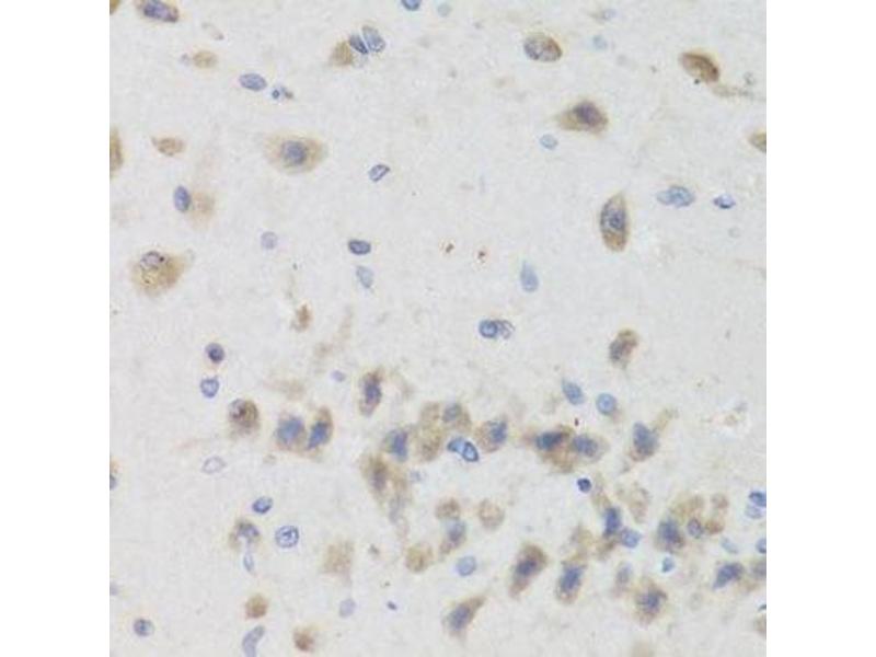
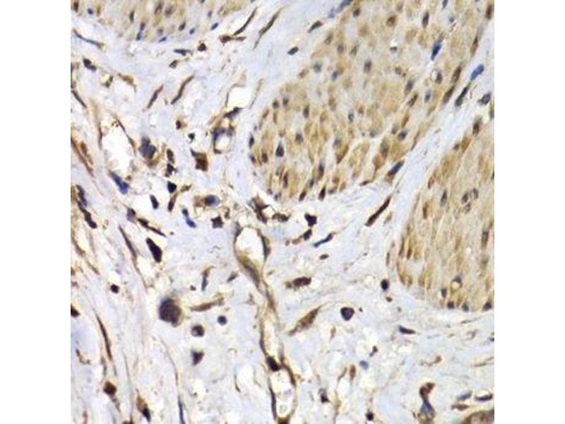
ISG15 抗体 (AA 1-165)

This 兔 多克隆 antibody specifically detects ISG15 in WB 和 IHC. It exhibits reactivity toward 人.
产品编号 ABIN3021653
发货至: 中国
Contact our Customer Service for availability and price in your country. Contact Info

Our Local Distributor

中国
北京 101111
No. 88 KeChuang 6th Street
Beijing Economic Technological Development Area
Room 801-803
4A Biotech Co.,Ltd.
Tel +86 (0512) 65829739 传真 +86 (010) 6788 5057

Quick Overview for ISG15 抗体 (AA 1-165) (ABIN3021653)

抗原

See all ISG15 抗体
ISG15 (ISG15 Ubiquitin-Like Modifier (ISG15))

适用

  • 79
  • 9
  • 4
  • 3
  • 3
  • 2
  • 2
  • 2
  • 2
  • 1
  • 1

宿主

  • 77
  • 7
  • 1

克隆类型

  • 53
  • 32
多克隆

标记

  • 47
  • 5
  • 4
  • 3
  • 3
  • 3
  • 3
  • 3
  • 3
  • 3
  • 2
  • 2
  • 2
  • 2
This ISG15 antibody is un-conjugated

应用范围

  • 66
  • 37
  • 35
  • 25
  • 21
  • 8
  • 6
  • 3
  • 2
  • 1
Western Blotting (WB), Immunohistochemistry (IHC)
  • 抗原表位

    • 8
    • 5
    • 5
    • 5
    • 3
    • 3
    • 3
    • 2
    • 2
    • 1
    • 1
    • 1
    • 1
    • 1
    • 1
    AA 1-165

    序列

    MGWDLTVKML AGNEFQVSLS SSMSVSELKA QITQKIGVHA FQQRLAVHPS GVALQDRVPL ASQGLGPGST VLLVVDKCDE PLSILVRNNK GRSSTYEVRL TQTVAHLKQQ VSGLEGVQDD LFWLTFEGKP LEDQLPLGEY GLKPLSTVFM NLRLRGGGTE PGGRS

    交叉反应

    人, 小鼠, 大鼠

    产品特性

    Polyclonal Antibodies

    免疫原

    Recombinant fusion protein containing a sequence corresponding to amino acids 1-165 of human ISG15 (NP_005092.1).

    亚型

    IgG
  • 应用备注

    WB,1:500 - 1:2000,IHC,1:50 - 1:200

    限制

    仅限研究用
  • 状态

    Liquid

    缓冲液

    PBS with 0.02 % sodium azide,50 % glycerol, pH 7.3.

    储存液

    Sodium azide

    注意事项

    This product contains Sodium azide: a POISONOUS AND HAZARDOUS SUBSTANCE which should be handled by trained staff only.

    注意事项

    Avoid freeze / thaw cycles

    储存条件

    -20 °C

    储存方法

    Store at -20°C. Avoid freeze / thaw cycles.
  • 抗原

    ISG15 (ISG15 Ubiquitin-Like Modifier (ISG15))

    别名

    ISG15

    背景

    The protein encoded by this gene is a ubiquitin-like protein that is conjugated to intracellular target proteins upon activation by interferon-alpha and interferon-beta. Several functions have been ascribed to the encoded protein, including chemotactic activity towards neutrophils, direction of ligated target proteins to intermediate filaments, cell-to-cell signaling, and antiviral activity during viral infections. While conjugates of this protein have been found to be noncovalently attached to intermediate filaments, this protein is sometimes secreted.,ISG15,G1P2,IFI15,IMD38,IP17,UCRP,hUCRP,Epigenetics & Nuclear Signaling,Cell Biology & Developmental Biology,Ubiquitin,ISG15

    分子量

    17 kDa

    基因ID

    9636

    UniProt

    P05161
You are here: