电话:
+86 (0512) 65829739
传真:
+86 (010) 6788 5057
电子邮件:
orders@antibodies-online.cn

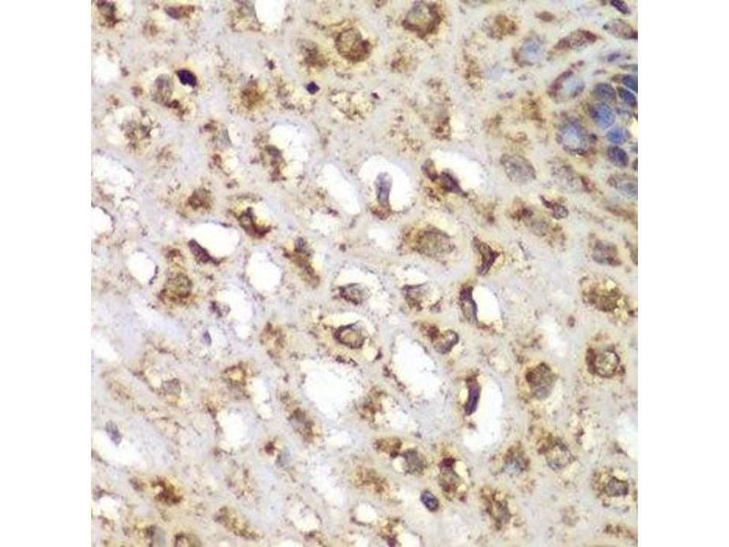
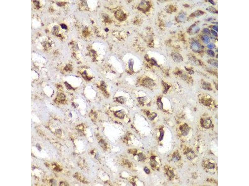
SGK1 抗体 (AA 172-431)

Cited in 2+ publications. The 兔 多克隆 anti-SGK1 antibody (ABIN3021291) specifically detects SGK1 in WB, IHC 和 IF. The antibody is reactive with 人 samples.
产品编号 ABIN3021291
发货至: 中国
Contact our Customer Service for availability and price in your country. Contact Info

Our Local Distributor

中国
北京 101111
No. 88 KeChuang 6th Street
Beijing Economic Technological Development Area
Room 801-803
4A Biotech Co.,Ltd.
Tel +86 (0512) 65829739 传真 +86 (010) 6788 5057

Quick Overview for SGK1 抗体 (AA 172-431) (ABIN3021291)

抗原

See all SGK1 抗体
SGK1 (serum/glucocorticoid Regulated Kinase 1 (SGK1))

适用

  • 170
  • 113
  • 95
  • 20
  • 17
  • 8
  • 7
  • 5
  • 5
  • 4
  • 4
  • 2
  • 2
  • 1
  • 1

宿主

  • 153
  • 13
  • 4
  • 1

克隆类型

  • 147
  • 24
多克隆

标记

  • 69
  • 9
  • 8
  • 6
  • 5
  • 5
  • 5
  • 5
  • 5
  • 5
  • 4
  • 4
  • 4
  • 4
  • 4
  • 4
  • 4
  • 4
  • 4
  • 4
  • 3
  • 3
  • 1
  • 1
  • 1
This SGK1 antibody is un-conjugated

应用范围

  • 138
  • 54
  • 52
  • 50
  • 41
  • 40
  • 29
  • 21
  • 17
  • 9
  • 5
  • 2
  • 2
  • 1
Western Blotting (WB), Immunohistochemistry (IHC), Immunofluorescence (IF)
  • 抗原表位

    • 27
    • 25
    • 23
    • 9
    • 9
    • 6
    • 5
    • 4
    • 2
    • 2
    • 2
    • 2
    • 2
    • 2
    • 2
    • 1
    • 1
    • 1
    • 1
    • 1
    • 1
    • 1
    • 1
    • 1
    • 1
    • 1
    • 1
    • 1
    • 1
    • 1
    • 1
    • 1
    • 1
    • 1
    • 1
    • 1
    AA 172-431

    序列

    LYFVLDYING GELFYHLQRE RCFLEPRARF YAAEIASALG YLHSLNIVYR DLKPENILLD SQGHIVLTDF GLCKENIEHN STTSTFCGTP EYLAPEVLHK QPYDRTVDWW CLGAVLYEML YGLPPFYSRN TAEMYDNILN KPLQLKPNIT NSARHLLEGL LQKDRTKRLG AKDDFMEIKS HVFFSLINWD DLINKKITPP FNPNVSGPND LRHFDPEFTE EPVPNSIGKS PDSVLVTASV KEAAEAFLGF SYAPPTDSFL

    交叉反应

    人, 小鼠, 大鼠

    产品特性

    Polyclonal Antibodies

    免疫原

    Recombinant fusion protein containing a sequence corresponding to amino acids 172-431 of human SGK1 (NP_005618.2).

    亚型

    IgG
  • 应用备注

    WB,1:500 - 1:2000,IHC,1:50 - 1:200,IF,1:50 - 1:200

    限制

    仅限研究用
  • 状态

    Liquid

    缓冲液

    PBS with 0.02 % sodium azide,50 % glycerol, pH 7.3.

    储存液

    Sodium azide

    注意事项

    This product contains Sodium azide: a POISONOUS AND HAZARDOUS SUBSTANCE which should be handled by trained staff only.

    注意事项

    Avoid freeze / thaw cycles

    储存条件

    -20 °C

    储存方法

    Store at -20°C. Avoid freeze / thaw cycles.
  • Li, Zhou, Yang, Li, Zhang, Wang, Jiao: "SGK1 inhibits PM2.5-induced apoptosis and oxidative stress in human lung alveolar epithelial A549 cells." in: Biochemical and biophysical research communications, Vol. 496, Issue 4, pp. 1291-1295, (2018) (PubMed).

    "Retracted: 'Anti-fibrotic actions of Ghrelin by inhibition of the NADPH oxidase-ROS signaling pathway' by Qian Wang, Xin Sui, Rui Chen, Peiyong Ma, Tao Ding, Dianjun Sui, and Ping Yang." in: Clinical and experimental pharmacology & physiology, Vol. 45, Issue 8, pp. 885, (2018) (PubMed).

  • 抗原

    SGK1 (serum/glucocorticoid Regulated Kinase 1 (SGK1))

    别名

    SGK1

    背景

    This gene encodes a serine/threonine protein kinase that plays an important role in cellular stress response. This kinase activates certain potassium, sodium, and chloride channels, suggesting an involvement in the regulation of processes such as cell survival, neuronal excitability, and renal sodium excretion. High levels of expression of this gene may contribute to conditions such as hypertension and diabetic nephropathy. Several alternatively spliced transcript variants encoding different isoforms have been noted for this gene.,SGK1,SGK,Signal Transduction,Kinase,Serine/threonine kinases,mTOR Signaling Pathway,Cell Biology & Developmental Biology,Apoptosis,Endocrine & Metabolism,Insulin Receptor Signaling Pathway,Stem Cells,Embryonic Stem Cells,SGK1

    分子量

    47 kDa/48 kDa/50 kDa/52 kDa/59 kDa

    基因ID

    6446

    UniProt

    O00141

    途径

    MAPK Pathway, Notch Signaling, Steroid Hormone Mediated Signaling Pathway
You are here: