电话:
+86 (0512) 65829739
传真:
+86 (010) 6788 5057
电子邮件:
orders@antibodies-online.cn

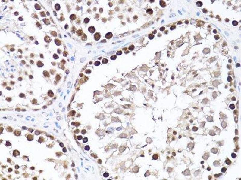
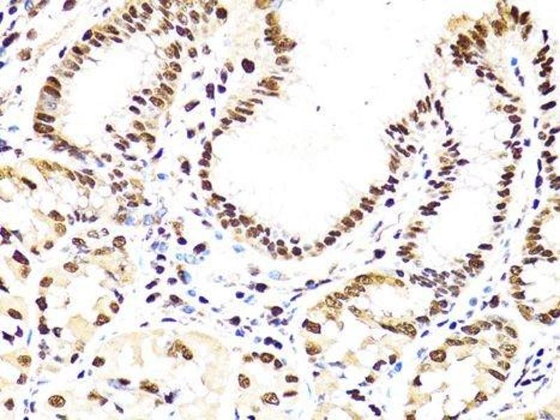
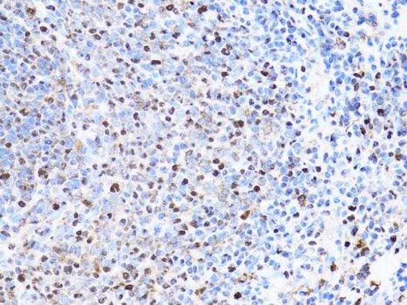
PCNA 抗体 (AA 1-261)

There are 3+ publications for this product available. The 兔 多克隆 anti-PCNA antibody is suitable to detect PCNA in samples from 人. It has been validated for WB, IHC, IF 和 IP.
产品编号 ABIN3020826
发货至: 中国
Contact our Customer Service for availability and price in your country. Contact Info

Our Local Distributor

中国
北京 101111
No. 88 KeChuang 6th Street
Beijing Economic Technological Development Area
Room 801-803
4A Biotech Co.,Ltd.
Tel +86 (0512) 65829739 传真 +86 (010) 6788 5057

Quick Overview for PCNA 抗体 (AA 1-261) (ABIN3020826)

抗原

See all PCNA 抗体
PCNA (Proliferating Cell Nuclear Antigen (PCNA))

适用

  • 251
  • 180
  • 180
  • 56
  • 30
  • 30
  • 30
  • 28
  • 21
  • 20
  • 18
  • 18
  • 11
  • 11
  • 6
  • 6
  • 5
  • 5
  • 4
  • 4
  • 4
  • 4
  • 3
  • 3
  • 2
  • 2
  • 2
  • 2
  • 2
  • 1
  • 1

宿主

  • 145
  • 121
  • 3

克隆类型

  • 134
  • 134
  • 1
多克隆

标记

  • 130
  • 18
  • 13
  • 8
  • 5
  • 5
  • 5
  • 5
  • 5
  • 5
  • 5
  • 5
  • 5
  • 5
  • 5
  • 5
  • 3
  • 3
  • 3
  • 3
  • 3
  • 3
  • 3
  • 2
  • 2
  • 2
  • 2
  • 2
  • 2
  • 2
  • 2
  • 1
  • 1
  • 1
This PCNA antibody is un-conjugated

应用范围

  • 225
  • 84
  • 83
  • 70
  • 63
  • 61
  • 48
  • 43
  • 40
  • 33
  • 15
  • 14
  • 11
  • 4
  • 3
  • 2
  • 2
  • 2
  • 2
  • 1
  • 1
  • 1
  • 1
  • 1
  • 1
  • 1
  • 1
Western Blotting (WB), Immunohistochemistry (IHC), Immunofluorescence (IF), Immunoprecipitation (IP)
  • 抗原表位

    • 16
    • 16
    • 16
    • 15
    • 15
    • 13
    • 8
    • 6
    • 5
    • 3
    • 2
    • 2
    • 2
    • 2
    • 2
    • 2
    • 2
    • 1
    • 1
    • 1
    • 1
    • 1
    • 1
    • 1
    • 1
    • 1
    • 1
    • 1
    • 1
    • 1
    • 1
    AA 1-261

    序列

    MFEARLVQGS ILKKVLEALK DLINEACWDI SSSGVNLQSM DSSHVSLVQL TLRSEGFDTY RCDRNLAMGV NLTSMSKILK CAGNEDIITL RAEDNADTLA LVFEAPNQEK VSDYEMKLMD LDVEQLGIPE QEYSCVVKMP SGEFARICRD LSHIGDAVVI SCAKDGVKFS ASGELGNGNI KLSQTSNVDK EEEAVTIEMN EPVQLTFALR YLNFFTKATP LSSTVTLSMS ADVPLVVEYK IADMGHLKYY LAPKIEDEEG S

    交叉反应

    人, 小鼠, 大鼠

    产品特性

    Polyclonal Antibodies

    免疫原

    Recombinant fusion protein containing a sequence corresponding to amino acids 1-261 of human PCNA (NP_002583.1).

    亚型

    IgG
  • 应用备注

    WB,1:500 - 1:2000,IHC,1:50 - 1:200,IF,1:50 - 1:200,IP,1:50 - 1:200

    限制

    仅限研究用
  • 状态

    Liquid

    缓冲液

    PBS with 0.02 % sodium azide,50 % glycerol, pH 7.3.

    储存液

    Sodium azide

    注意事项

    This product contains Sodium azide: a POISONOUS AND HAZARDOUS SUBSTANCE which should be handled by trained staff only.

    注意事项

    Avoid freeze / thaw cycles

    储存条件

    -20 °C

    储存方法

    Store at -20°C. Avoid freeze / thaw cycles.
  • Liu, Wang, Han, Cheng, Hu, Zhang: "Enhanced proliferation and differentiation of HO-1 gene-modified bone marrow-derived mesenchymal stem cells in the acute injured kidney." in: International journal of molecular medicine, Vol. 42, Issue 2, pp. 946-956, (2018) (PubMed).

    Wang, Sun, Zhu, Sun, Ma, Wang, Lu, Chen, Xu: "Quantitative proteomic analysis revealed changes in protein synthesis and mitochondrial functions after acute DNA damage in mouse neural stem cells." in: Neuroscience letters, Vol. 653, pp. 355-361, (2018) (PubMed).

    Lin, Wang, Zou, Sun, Liu, Zhao, Wang, Jin: "The Influenza Virus H5N1 Infection Can Induce ROS Production for Viral Replication and Host Cell Death in A549 Cells Modulated by Human Cu/Zn Superoxide Dismutase (SOD1) Overexpression." in: Viruses, Vol. 8, Issue 1, (2016) (PubMed).

  • 抗原

    PCNA (Proliferating Cell Nuclear Antigen (PCNA))

    别名

    PCNA

    背景

    The protein encoded by this gene is found in the nucleus and is a cofactor of DNA polymerase delta. The encoded protein acts as a homotrimer and helps increase the processivity of leading strand synthesis during DNA replication. In response to DNA damage, this protein is ubiquitinated and is involved in the RAD6-dependent DNA repair pathway. Two transcript variants encoding the same protein have been found for this gene. Pseudogenes of this gene have been described on chromosome 4 and on the X chromosome.,PCNA,ATLD2,Epigenetics & Nuclear Signaling,Cancer,Tumor biomarkers,Signal Transduction,ErbB-HER Signaling Pathway,Cell Biology & Developmental Biology,Cell Cycle,Stem Cells,PCNA

    分子量

    28 kDa

    基因ID

    5111

    UniProt

    P12004

    途径

    Telomere Maintenance, DNA Damage Repair, Mitotic G1-G1/S Phases, DNA Replication, Synthesis of DNA, Autophagy
You are here: