电话:
+86 (0512) 65829739
传真:
+86 (010) 6788 5057
电子邮件:
orders@antibodies-online.cn

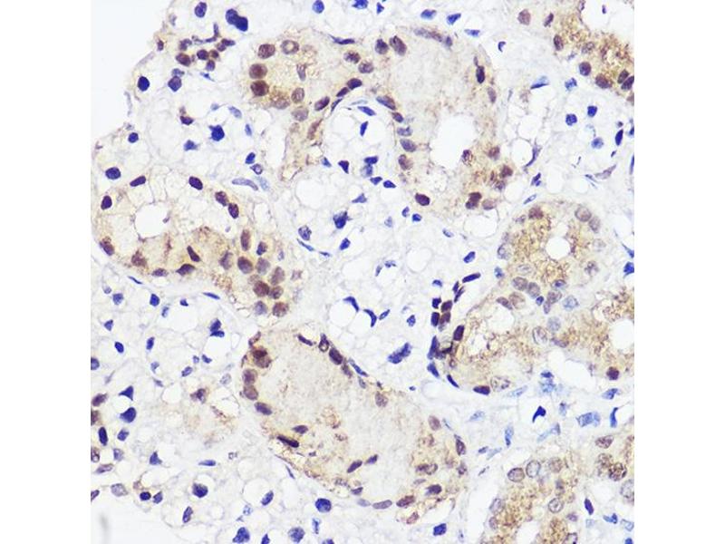
RUNX2 抗体 (AA 242-521)

Cited in 5+ publications. The 兔 多克隆 anti-RUNX2 antibody (ABIN3016834) specifically detects RUNX2 in WB, IHC 和 IF. The antibody is reactive with 人 samples.
产品编号 ABIN3016834
发货至: 中国
Contact our Customer Service for availability and price in your country. Contact Info

Our Local Distributor

中国
北京 101111
No. 88 KeChuang 6th Street
Beijing Economic Technological Development Area
Room 801-803
4A Biotech Co.,Ltd.
Tel +86 (0512) 65829739 传真 +86 (010) 6788 5057

Quick Overview for RUNX2 抗体 (AA 242-521) (ABIN3016834)

抗原

See all RUNX2 抗体
RUNX2 (Runt-Related Transcription Factor 2 (RUNX2))

适用

  • 142
  • 67
  • 43
  • 10
  • 9
  • 8
  • 8
  • 8
  • 7
  • 5
  • 5
  • 4
  • 3
  • 3
  • 3
  • 2
  • 2
  • 1
  • 1
  • 1

宿主

  • 129
  • 18

克隆类型

  • 109
  • 38
多克隆

标记

  • 68
  • 10
  • 7
  • 7
  • 6
  • 5
  • 3
  • 3
  • 3
  • 3
  • 3
  • 3
  • 2
  • 2
  • 2
  • 2
  • 2
  • 2
  • 2
  • 2
  • 2
  • 2
  • 2
  • 1
  • 1
  • 1
  • 1
This RUNX2 antibody is un-conjugated

应用范围

  • 105
  • 48
  • 40
  • 37
  • 30
  • 18
  • 14
  • 10
  • 7
  • 3
  • 1
  • 1
  • 1
Western Blotting (WB), Immunohistochemistry (IHC), Immunofluorescence (IF)
  • 抗原表位

    • 16
    • 16
    • 9
    • 8
    • 7
    • 6
    • 5
    • 5
    • 4
    • 4
    • 3
    • 2
    • 2
    • 2
    • 2
    • 2
    • 2
    • 2
    • 2
    • 2
    • 1
    • 1
    • 1
    • 1
    • 1
    • 1
    • 1
    • 1
    • 1
    • 1
    • 1
    • 1
    AA 242-521

    序列

    FSDRLSDLGR IPHPSMRVGV PPQNPRPSLN SAPSPFNPQG QSQITDPRQA QSSPPWSYDQ SYPSYLSQMT SPSIHSTTPL SSTRGTGLPA ITDVPRRISD DDTATSDFCL WPSTLSKKSQ AGASELGPFS DPRQFPSISS LTESRFSNPR MHYPATFTYT PPVTSGMSLG MSATTHYHTY LPPPYPGSSQ SQSGPFQTSS TPYLYYGTSS GSYQFPMVPG GDRSPSRMLP PCTTTSNGST LLNPNLPNQN DGVDADGSHS SSPTVLNSSG RMDESVWRPY

    交叉反应

    人, 小鼠, 大鼠

    产品特性

    Polyclonal Antibodies

    纯化方法

    Affinity purification

    免疫原

    Recombinant fusion protein containing a sequence corresponding to amino acids 242-521 of human RUNX2 (NP_001019801.3).

    亚型

    IgG
  • 应用备注

    WB,1:200 - 1:1000,IHC,1:50 - 1:200,IF,1:50 - 1:200

    限制

    仅限研究用
  • 缓冲液

    PBS with 0.02 % sodium azide,50 % glycerol, pH 7.3.

    储存液

    Sodium azide

    注意事项

    This product contains Sodium azide: a POISONOUS AND HAZARDOUS SUBSTANCE which should be handled by trained staff only.

    储存条件

    -20 °C

    储存方法

    Store at -20°C. Avoid freeze / thaw cycles.
  • Zhang, Wang, Zeng, Yan, Ouyang, Liu, Sun, Zhao, Fang, Pan, Xie, Yang, Zhang, Bai, Cai: "mTORC1 activation downregulates FGFR3 and PTH/PTHrP receptor in articular chondrocytes to initiate osteoarthritis." in: Osteoarthritis and cartilage, Vol. 25, Issue 6, pp. 952-963, (2018) (PubMed).

    Gao, Li, Li: "Exendin-4 promotes the osteogenic differentiation of osteoblasts via the Hedgehog/Gli1 signaling pathway." in: American journal of translational research, Vol. 10, Issue 1, pp. 315-324, (2018) (PubMed).

    Wang, Zhang, Sun, Wang, Yang, Yang, Zhang, Luo, Wang, Jiang, Zeng, Cai, Bai: "Intra-articular Delivery of Antago-miR-483-5p Inhibits Osteoarthritis by Modulating Matrilin 3 and Tissue Inhibitor of Metalloproteinase 2." in: Molecular therapy : the journal of the American Society of Gene Therapy, Vol. 25, Issue 3, pp. 715-727, (2017) (PubMed).

    Li, Xu, Xing, Qian, Chen, Gu, Guo, Lai, Zhao, Li, Wang, Wang, Deng: "A Conditional Knockout Mouse Model Reveals a Critical Role of PKD1 in Osteoblast Differentiation and Bone Development." in: Scientific reports, Vol. 7, pp. 40505, (2017) (PubMed).

    Wu, Wang, Ji, Ou, Xia, Zhang, Zhao: "C4orf7 modulates osteogenesis and adipogenesis of human periodontal ligament cells." in: American journal of translational research, Vol. 9, Issue 12, pp. 5708-5718, (2017) (PubMed).

  • 抗原

    RUNX2 (Runt-Related Transcription Factor 2 (RUNX2))

    别名

    RUNX2

    背景

    This gene is a member of the RUNX family of transcription factors and encodes a nuclear protein with an Runt DNA-binding domain. This protein is essential for osteoblastic differentiation and skeletal morphogenesis and acts as a scaffold for nucleic acids and regulatory factors involved in skeletal gene expression. The protein can bind DNA both as a monomer or, with more affinity, as a subunit of a heterodimeric complex. Two regions of potential trinucleotide repeat expansions are present in the N-terminal region of the encoded protein, and these and other mutations in this gene have been associated with the bone development disorder cleidocranial dysplasia (CCD). Transcript variants that encode different protein isoforms result from the use of alternate promoters as well as alternate splicing.,RUNX2,AML3,CBF-alpha-1,CBFA1,CCD,CCD1,CLCD,OSF-2,OSF2,PEA2aA,PEBP2aA,Epigenetics & Nuclear Signaling,Transcription Factors,Cell Biology & Developmental Biology,Extracellular Matrix,Bone,Hippo Signaling Pathway,Stem Cells,Mesenchymal Stem Cells,Target gene,RUNX2

    分子量

    54 kDa/55 kDa/56 kDa

    基因ID

    860

    UniProt

    Q13950
You are here: