电话:
+86 (0512) 65829739
传真:
+86 (010) 6788 5057
电子邮件:
orders@antibodies-online.cn

RUNX2 抗体 (AA 251-351)

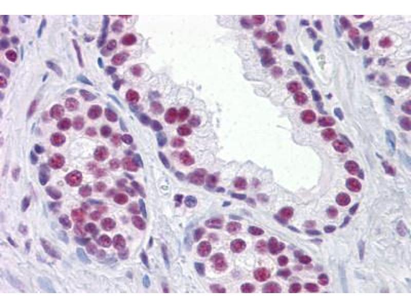
The 小鼠 单克隆 anti-RUNX2 antibody (Clone 1D8) (ABIN574218) specifically detects RUNX2 in WB, ELISA, IHC, IF 和 IHC (p). The antibody is reactive with 人 samples.
产品编号 ABIN574218
发货至: 中国
Contact our Customer Service for availability and price in your country. Contact Info

Our Local Distributor

中国
北京 101111
No. 88 KeChuang 6th Street
Beijing Economic Technological Development Area
Room 801-803
4A Biotech Co.,Ltd.
Tel +86 (0512) 65829739 传真 +86 (010) 6788 5057

Quick Overview for RUNX2 抗体 (AA 251-351) (ABIN574218)

抗原

See all RUNX2 抗体
RUNX2 (Runt-Related Transcription Factor 2 (RUNX2))

适用

  • 142
  • 67
  • 43
  • 10
  • 9
  • 8
  • 8
  • 8
  • 7
  • 5
  • 5
  • 4
  • 3
  • 3
  • 3
  • 2
  • 2
  • 1
  • 1
  • 1

宿主

  • 130
  • 17
小鼠

克隆类型

  • 110
  • 37
单克隆

标记

  • 68
  • 10
  • 7
  • 7
  • 6
  • 5
  • 3
  • 3
  • 3
  • 3
  • 3
  • 3
  • 2
  • 2
  • 2
  • 2
  • 2
  • 2
  • 2
  • 2
  • 2
  • 2
  • 2
  • 1
  • 1
  • 1
  • 1
This RUNX2 antibody is un-conjugated

应用范围

  • 105
  • 47
  • 40
  • 37
  • 30
  • 18
  • 14
  • 9
  • 7
  • 3
  • 1
  • 1
  • 1
Western Blotting (WB), ELISA, Immunohistochemistry (IHC), Immunofluorescence (IF), Immunohistochemistry (Paraffin-embedded Sections) (IHC (p))

克隆位点

1D8
  • 抗原表位

    • 16
    • 16
    • 9
    • 8
    • 7
    • 6
    • 5
    • 4
    • 4
    • 4
    • 3
    • 2
    • 2
    • 2
    • 2
    • 2
    • 2
    • 2
    • 2
    • 2
    • 1
    • 1
    • 1
    • 1
    • 1
    • 1
    • 1
    • 1
    • 1
    • 1
    • 1
    • 1
    • 1
    AA 251-351

    纯化方法

    Purified from ascites by Protein A

    免疫原

    RUNX2 (NP_004339, 251 a.a. ~ 351 a.a) partial recombinant protein with GST tag. MW of the GST tag alone is 26 KDa.

    Type of Immunogen: Recombinant protein

    亚型

    IgG2b kappa
  • 应用备注

    Approved: ELISA, IF (10 μg/mL), IHC, IHC-P (5 μg/mL), WB

    Usage: Western Blot (Cell lysate) - positive control SJCRH30. Western Blot (Cell lysate) - positive control K-562. Immunofluorescence (10 μg/mL) - positive control HeLa cells. Sandwich ELISA (Recombinant protein).

    说明

    Target Species of Antibody: Human

    限制

    仅限研究用
  • 状态

    Liquid

    浓度

    Lot specific

    缓冲液

    PBS,  pH 7.4. Sourced in Ascites.

    注意事项

    Aliquot to Avoid freeze/thaw cycles.

    储存条件

    -20 °C

    储存方法

    Store at -20°C. Aliquot to avoid freeze/thaw cycles.
  • 抗原

    RUNX2 (Runt-Related Transcription Factor 2 (RUNX2))

    别名

    CBFA1 / RUNX2

    背景

    Name/Gene ID: RUNX2

    Synonyms: RUNX2, AML3, CCD, CCD1, OSF2, PEBP2A1, PEBP2A2, PEA2-alpha A, PEBP2-alpha A, OSF-2, PEBP2A, PEBP2aA1, CBF-alpha-1, CBFA1, Oncogene AML-3, PEA2aA, PEBP2aA

    基因ID

    860

    NCBI登录号

    NP_004339

    UniProt

    Q13950
You are here: