电话:
+86 (0512) 65829739
传真:
+86 (010) 6788 5057
电子邮件:
orders@antibodies-online.cn

Tyrosinase-Related Protein 1 抗体

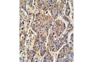
This 兔 多克隆 antibody specifically detects Tyrosinase-Related Protein 1 in IHC, FACS 和 WB. It exhibits reactivity toward 人.
产品编号 ABIN3003171
发货至: 中国
Contact our Customer Service for availability and price in your country. Contact Info

Our Local Distributor

中国
北京 101111
No. 88 KeChuang 6th Street
Beijing Economic Technological Development Area
Room 801-803
4A Biotech Co.,Ltd.
Tel +86 (0512) 65829739 传真 +86 (010) 6788 5057

Quick Overview for Tyrosinase-Related Protein 1 抗体 (ABIN3003171)

抗原

See all Tyrosinase-Related Protein 1 (TYRP1) 抗体
Tyrosinase-Related Protein 1 (TYRP1)

适用

  • 152
  • 73
  • 10
  • 8
  • 6
  • 6
  • 6
  • 6
  • 5
  • 5
  • 4
  • 4
  • 3
  • 3
  • 3
  • 3
  • 1

宿主

  • 112
  • 43
  • 1

克隆类型

  • 89
  • 65
  • 2
多克隆

标记

  • 62
  • 11
  • 6
  • 6
  • 6
  • 6
  • 6
  • 6
  • 6
  • 5
  • 3
  • 3
  • 3
  • 3
  • 3
  • 3
  • 3
  • 1
  • 1
  • 1
  • 1
  • 1
  • 1
  • 1
  • 1
  • 1
  • 1
  • 1
  • 1
  • 1
  • 1
  • 1
This Tyrosinase-Related Protein 1 antibody is un-conjugated

应用范围

  • 74
  • 60
  • 42
  • 41
  • 29
  • 28
  • 26
  • 17
  • 14
  • 14
  • 12
  • 5
  • 4
  • 3
  • 1
Immunohistochemistry (IHC), Flow Cytometry (FACS), Western Blotting (WB)
You are here: