电话:
+86 (0512) 65829739
传真:
+86 (010) 6788 5057
电子邮件:
orders@antibodies-online.cn

Tyrosinase-Related Protein 1 抗体

This 兔 多克隆 antibody specifically detects Tyrosinase-Related Protein 1 in IHC 和 StM. It exhibits reactivity toward 人 和 小鼠.
产品编号 ABIN6940843
发货至: 中国
Contact our Customer Service for availability and price in your country. Contact Info

Our Local Distributor

中国
北京 101111
No. 88 KeChuang 6th Street
Beijing Economic Technological Development Area
Room 801-803
4A Biotech Co.,Ltd.
Tel +86 (0512) 65829739 传真 +86 (010) 6788 5057

Quick Overview for Tyrosinase-Related Protein 1 抗体 (ABIN6940843)

抗原

See all Tyrosinase-Related Protein 1 (TYRP1) 抗体
Tyrosinase-Related Protein 1 (TYRP1)

适用

  • 152
  • 72
  • 10
  • 8
  • 6
  • 6
  • 6
  • 6
  • 5
  • 5
  • 5
  • 4
  • 3
  • 3
  • 3
  • 3
  • 2
人, 小鼠

宿主

  • 114
  • 43
  • 1

克隆类型

  • 89
  • 67
  • 2
多克隆

标记

  • 64
  • 11
  • 6
  • 6
  • 6
  • 6
  • 6
  • 6
  • 6
  • 5
  • 3
  • 3
  • 3
  • 3
  • 3
  • 3
  • 3
  • 1
  • 1
  • 1
  • 1
  • 1
  • 1
  • 1
  • 1
  • 1
  • 1
  • 1
  • 1
  • 1
  • 1
  • 1
This Tyrosinase-Related Protein 1 antibody is un-conjugated

应用范围

  • 77
  • 62
  • 43
  • 41
  • 29
  • 28
  • 26
  • 17
  • 14
  • 14
  • 12
  • 4
  • 4
  • 3
  • 1
Immunohistochemistry (IHC), Staining Methods (StM)
  • 特异性

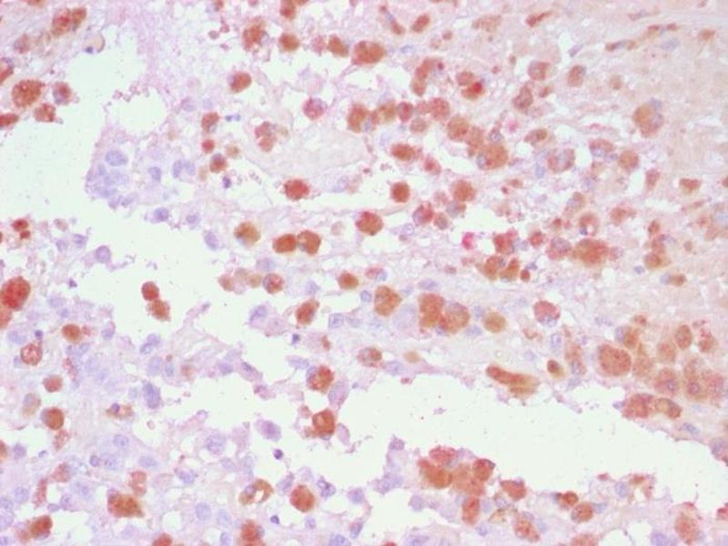
    It reacts with a 75 kDa melanocyte-specific gene product, identified as Tyrosinase-related protein-1 (TRP-1). It is involved in melanin synthesis. TRP1 is present on the melanosomal membranes of melanoma, normal melanocytes and nevi.Recent evidence suggests that TRP-1 is involved in maintaining stability of tyrosinase protein and modulating its catalytic activity. TRP-1 is also involved in maintenance of melanosome ultrastructure and affects melanocyte proliferation and cell death.

    免疫原

    Recombinant human TYRP1 protein

    亚型

    IgG
  • 应用备注

    Positive Control: SK-MEL-23, SK-MEL-19, SK-MEL-30, SK-MEL-37 cells. Melanoma.

    Known Application: Immunohistochemistry (Formalin-fixed) (5-10 μg/mL for 30 minutes at RT)(Staining of formalin-fixed tissues requires boiling tissue sections in 10 mM Tris with 1 mM EDTA, pH 9.0, for 10-20 min followed by cooling at RT for 20 minutes)Optimal dilution for a specific application should be determined.

    限制

    仅限研究用
  • 浓度

    200 μg/mL

    缓冲液

    10 mM PBS with 0.05 % BSA & 0.05 % azide.

    储存液

    Sodium azide

    注意事项

    This product contains Sodium azide: a POISONOUS AND HAZARDOUS SUBSTANCE which should be handled by trained staff only.

    储存条件

    4 °C,-80 °C

    储存方法

    Antibody with azide - store at 2 to 8°C. Antibody without azide - store at -20 to -80°C. Antibody is stable for 24 months. Non-hazardous. No MSDS required.

    有效期

    24 months
  • 抗原

    Tyrosinase-Related Protein 1 (TYRP1)

    别名

    TYRP1

    分子量

    75kDa

    基因ID

    7306

    UniProt

    P17643
You are here: