电话:
+86 (0512) 65829739
传真:
+86 (010) 6788 5057
电子邮件:
orders@antibodies-online.cn

HIF1AN 抗体

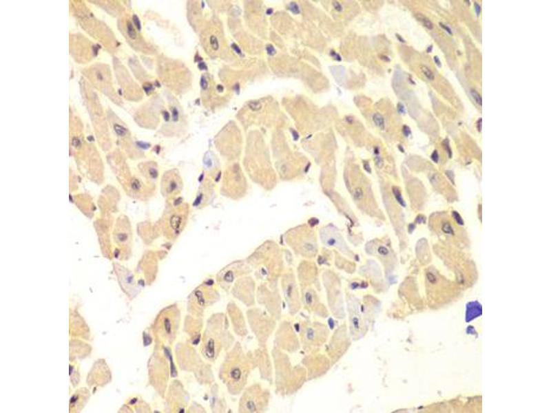
This 兔 多克隆 antibody specifically detects HIF1AN in WB, IHC, IP 和 IF/ICC. It exhibits reactivity toward 人, 小鼠 和 大鼠.
产品编号 ABIN2975780
发货至: 中国
Contact our Customer Service for availability and price in your country. Contact Info

Our Local Distributor

中国
北京 101111
No. 88 KeChuang 6th Street
Beijing Economic Technological Development Area
Room 801-803
4A Biotech Co.,Ltd.
Tel +86 (0512) 65829739 传真 +86 (010) 6788 5057

Quick Overview for HIF1AN 抗体 (ABIN2975780)

抗原

See all HIF1AN 抗体
HIF1AN (Hypoxia Inducible Factor 1, alpha Subunit Inhibitor (HIF1AN))

适用

  • 103
  • 33
  • 22
  • 7
  • 7
  • 6
  • 5
  • 5
  • 5
  • 4
  • 3
  • 3
  • 3
  • 2
人, 小鼠, 大鼠

宿主

  • 95
  • 6

克隆类型

  • 75
  • 28
多克隆

标记

  • 50
  • 5
  • 5
  • 4
  • 4
  • 4
  • 4
  • 4
  • 4
  • 2
  • 2
  • 2
  • 1
  • 1
  • 1
  • 1
  • 1
  • 1
  • 1
  • 1
  • 1
  • 1
  • 1
  • 1
  • 1
This HIF1AN antibody is un-conjugated

应用范围

  • 60
  • 30
  • 24
  • 23
  • 15
  • 14
  • 13
  • 13
  • 11
  • 8
  • 4
  • 2
  • 1
  • 1
  • 1
  • 1
  • 1
Western Blotting (WB), Immunohistochemistry (IHC), Immunoprecipitation (IP), Immunofluorescence (fixed cells) (IF/ICC)
You are here: