电话:
+86 (0512) 65829739
传真:
+86 (010) 6788 5057
电子邮件:
orders@antibodies-online.cn

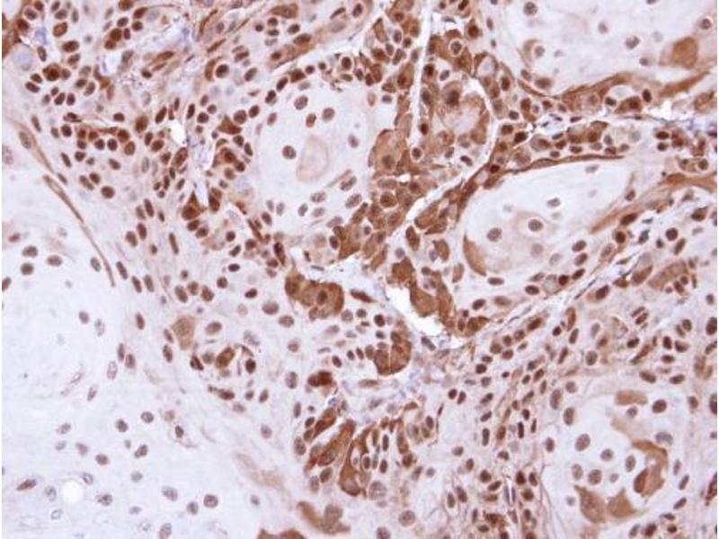
DDB1 抗体 (C-Term)

The 兔 多克隆 anti-DDB1 antibody is suitable to detect DDB1 in samples from 人. It has been validated for WB, IF, ICC 和 IHC (p).
产品编号 ABIN2857079
发货至: 中国
Contact our Customer Service for availability and price in your country. Contact Info

Our Local Distributor

中国
北京 101111
No. 88 KeChuang 6th Street
Beijing Economic Technological Development Area
Room 801-803
4A Biotech Co.,Ltd.
Tel +86 (0512) 65829739 传真 +86 (010) 6788 5057

Quick Overview for DDB1 抗体 (C-Term) (ABIN2857079)

抗原

See all DDB1 抗体
DDB1 (Damage Specific DNA Binding Protein 1 (DDB1))

适用

  • 58
  • 35
  • 31
  • 2
  • 1
  • 1
  • 1
  • 1
  • 1

宿主

  • 49
  • 8
  • 1

克隆类型

  • 36
  • 22
多克隆

标记

  • 38
  • 3
  • 2
  • 2
  • 2
  • 2
  • 2
  • 2
  • 2
  • 1
  • 1
  • 1
This DDB1 antibody is un-conjugated

应用范围

  • 43
  • 26
  • 23
  • 17
  • 15
  • 11
  • 10
  • 3
  • 2
  • 2
  • 2
  • 2
  • 1
  • 1
Western Blotting (WB), Immunofluorescence (IF), Immunocytochemistry (ICC), Immunohistochemistry (Paraffin-embedded Sections) (IHC (p))

质量等级

KO Validated
  • 抗原表位

    • 9
    • 5
    • 2
    • 2
    • 1
    • 1
    • 1
    • 1
    • 1
    • 1
    • 1
    • 1
    C-Term

    交叉反应

    人, 小鼠, 大鼠

    产品特性

    Rabbit Polyclonal antibody to DDB1 (damage-specific DNA binding protein 1, 127 kDa)
    DDB1 antibody

    纯化方法

    Purified by antigen-affinity chromatography.

    免疫原

    Recombinant protein encompassing a sequence within the C-terminus region of human DDB1. The exact sequence is proprietary.

    亚型

    IgG
  • 应用备注

    WB: 1:500-1:10000. ICC/IF: 1:100-1:1000. IHC-P: 1:100-1:1000. Optimal dilutions/concentrations should be determined by the researcher. Not tested in other applications.

    说明

    Positive Control: NIH-3T3 , Mouse brain , PC-12 , Rat2 , rat brain , 293T

    Validation: KO/KD

    限制

    仅限研究用
  • 状态

    Liquid

    浓度

    0.34 mg/mL

    缓冲液

    1XPBS ( pH 7), 1 % BSA, 20 % Glycerol, 0.025 % ProClin 300

    储存液

    ProClin

    注意事项

    This product contains ProClin: a POISONOUS AND HAZARDOUS SUBSTANCE which should be handled by trained staff only.

    储存条件

    4 °C,-20 °C

    储存方法

    Store as concentrated solution. Centrifuge briefly prior to opening vial. For short-term storage (1-2 weeks), store at 4°C. For long-term storage, aliquot and store at -20°C or below. Avoid multiple freeze-thaw cycles.
  • 抗原

    DDB1 (Damage Specific DNA Binding Protein 1 (DDB1))

    别名

    damage specific DNA binding protein 1

    背景

    This gene encodes the large subunit of DNA damage-binding protein which is a heterodimer composed of a large and a small subunit. This protein functions in nucleotide-excision repair. Its defective activity causes the repair defect in the patients with xeroderma pigmentosum complementation group E (XPE). However, it remains for mutation analysis to demonstrate whether the defect in XPE patients is in this gene or the gene encoding the small subunit. In addition, Best vitelliform mascular dystrophy is mapped to the same region as this gene on 11q, but no sequence alternations of this gene are demonstrated in Best disease patients.

    Cellular Localization: Cytoplasm , Nucleus

    分子量

    127 kDa

    基因ID

    1642

    UniProt

    Q16531

    途径

    DNA Damage Repair
You are here: