电话:
+86 (0512) 65829739
传真:
+86 (010) 6788 5057
电子邮件:
orders@antibodies-online.cn

SRRT 抗体 (C-Term)

This 山羊 多克隆 antibody specifically detects SRRT in WB, ELISA 和 IHC. It exhibits reactivity toward 人, 小鼠 和 大鼠.
产品编号 ABIN2613482
发货至: 中国
Contact our Customer Service for availability and price in your country. Contact Info

Our Local Distributor

中国
北京 101111
No. 88 KeChuang 6th Street
Beijing Economic Technological Development Area
Room 801-803
4A Biotech Co.,Ltd.
Tel +86 (0512) 65829739 传真 +86 (010) 6788 5057

Quick Overview for SRRT 抗体 (C-Term) (ABIN2613482)

抗原

See all SRRT 抗体
SRRT (Serrate RNA Effector Molecule Homolog (SRRT))

适用

  • 21
  • 8
  • 5
  • 2
人, 小鼠, 大鼠

宿主

  • 21
  • 2
山羊

克隆类型

  • 23
多克隆

标记

  • 18
  • 1
  • 1
  • 1
  • 1
  • 1
This SRRT antibody is un-conjugated

应用范围

  • 20
  • 12
  • 3
  • 3
  • 3
  • 1
  • 1
  • 1
  • 1
  • 1
  • 1
  • 1
Western Blotting (WB), ELISA, Immunohistochemistry (IHC)

质量等级

Verified
  • 抗原表位

    • 8
    • 2
    • 2
    • 2
    • 1
    • 1
    • 1
    • 1
    • 1
    • 1
    • 1
    • 1
    • 1
    C-Term

    原理

    SRRT / ARS2

    序列

    DPRAIVEYRD LDAPD

    特异性

    This antibody is expected to recognize all reported isoform (NP_056992.4, NP_001122324.1, NP_001122325.1, NP_001122326.1).

    交叉反应

    Cow, 犬, 人, 小鼠, Pig, 大鼠

    纯化方法

    Purified from goat serum by ammonium sulphate precipitation followed by antigen affinity chromatography using the immunizing peptide.

    亚型

    IgG
  • 应用备注

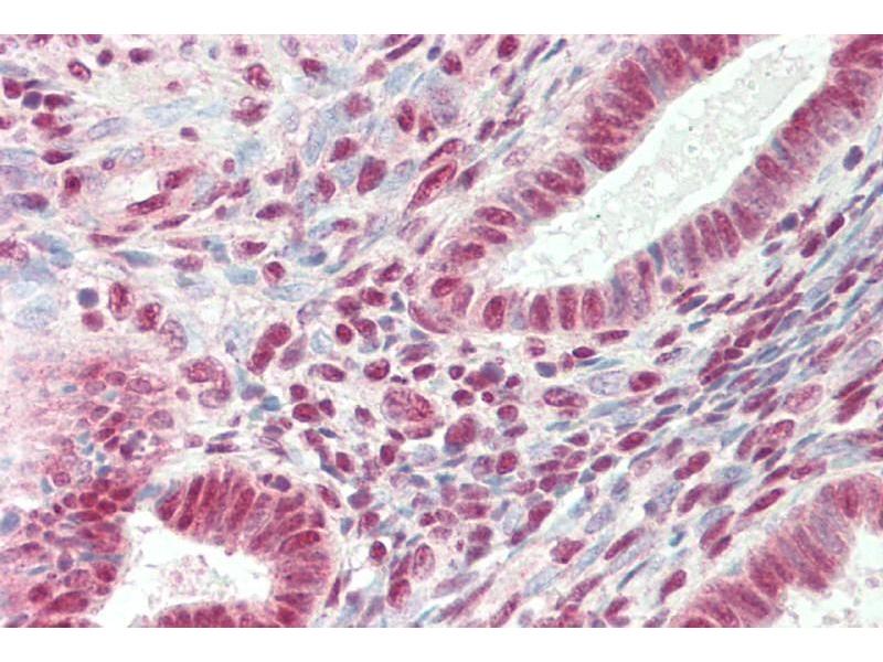
    Immunohistochemistry: Paraffin embedded Human Uterus. Recommended concentration: 5 μg/mL.

    Western Blot: Approx 140 kDa band observed in lysates of cell line Daudi and of Mouse Spleen, and approx 150 kDa band observed in lysates of Rat Testis (calculated MW of 101 kDa according to Human NP_056992.4, 100 kDa according to Mouse NP_113582.1 and 88.4

    Peptide ELISA: antibody detection limit dilution 1:128000.

    限制

    仅限研究用
  • 状态

    Liquid

    浓度

    0.5 mg/mL

    缓冲液

    Supplied at 0.5 mg/mL in Tris saline, 0.02 % sodium azide, pH 7.3 with 0.5 % bovine serum albumin.

    储存液

    Sodium azide

    注意事项

    This product contains Sodium azide: a POISONOUS AND HAZARDOUS SUBSTANCE which should be handled by trained staff only.

    注意事项

    Minimize freezing and thawing.

    储存条件

    -20 °C

    储存方法

    Aliquot and store at -20°C, with minimal freeze/thawing. A working aliquot may be refrigerated at 4°C for a few weeks and still remain viable.
  • 抗原

    SRRT (Serrate RNA Effector Molecule Homolog (SRRT))

    别名

    SRRT

    背景

    SRRT, serrate RNA effector molecule homolog (Arabidopsis), ARS2, ASR2, serrate, arsenate resistance protein 2, arsenate resistance protein ARS2, arsenite resistance protein, arsenite-resistance protein 2, serrate RNA effector molecule homolog

    基因ID

    51593, 83701, 686980

    NCBI登录号

    NP_056992, NP_001122324, NP_001122325, NP_001122326

    途径

    Notch Signaling, Stem Cell Maintenance
You are here: