电话:
+86 (0512) 65829739
传真:
+86 (010) 6788 5057
电子邮件:
orders@antibodies-online.cn

CD73 抗体 (AA 27-252)

The 小鼠 单克隆 anti-CD73 antibody is suitable to detect CD73 in samples from 人. It has been validated for WB, IHC (p) 和 EIA.
产品编号 ABIN238367
发货至: 中国
Contact our Customer Service for availability and price in your country. Contact Info

Our Local Distributor

中国
北京 101111
No. 88 KeChuang 6th Street
Beijing Economic Technological Development Area
Room 801-803
4A Biotech Co.,Ltd.
Tel +86 (0512) 65829739 传真 +86 (010) 6788 5057

Quick Overview for CD73 抗体 (AA 27-252) (ABIN238367)

抗原

See all CD73 (NT5E) 抗体
CD73 (NT5E) (5'-Nucleotidase, Ecto (CD73) (NT5E))

适用

  • 176
  • 82
  • 34
  • 18
  • 18
  • 16
  • 4
  • 2
  • 1
  • 1
  • 1
  • 1
  • 1

宿主

  • 112
  • 67
  • 21
  • 20
  • 2
小鼠

克隆类型

  • 133
  • 88
  • 1
单克隆

标记

  • 90
  • 20
  • 19
  • 15
  • 13
  • 5
  • 4
  • 4
  • 4
  • 4
  • 4
  • 4
  • 4
  • 2
  • 2
  • 2
  • 2
  • 1
  • 1
  • 1
  • 1
  • 1
  • 1
  • 1
  • 1
  • 1
  • 1
  • 1
  • 1
  • 1
  • 1
  • 1
  • 1
  • 1
  • 1
  • 1
  • 1
  • 1
  • 1
  • 1
  • 1
This CD73 antibody is un-conjugated

应用范围

  • 113
  • 92
  • 78
  • 43
  • 27
  • 19
  • 14
  • 14
  • 14
  • 10
  • 10
  • 5
  • 3
  • 2
  • 2
  • 2
  • 2
  • 1
  • 1
  • 1
  • 1
  • 1
  • 1
  • 1
  • 1
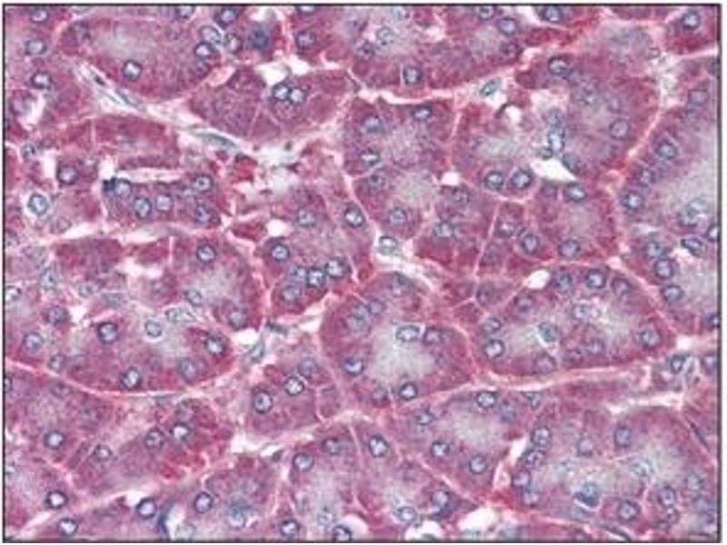
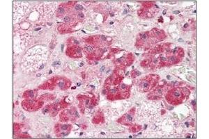
Western Blotting (WB), Immunohistochemistry (Paraffin-embedded Sections) (IHC (p)), Enzyme Immunoassay (EIA)

克隆位点

2B6
  • 抗原表位

    • 16
    • 9
    • 9
    • 6
    • 6
    • 6
    • 4
    • 3
    • 3
    • 2
    • 2
    • 2
    • 2
    • 2
    • 1
    • 1
    • 1
    • 1
    • 1
    • 1
    • 1
    • 1
    • 1
    • 1
    • 1
    • 1
    • 1
    AA 27-252

    特异性

    This antibody is specific for NT5E/CD73.

    交叉反应 (详细)

    Species reactivity (tested):Human.

    产品特性

    Synonyms: NT5, NTE, NT5E, 5'-nucleotidase

    纯化方法

    Protein-G affinity chromatography

    免疫原

    Recombinant Human CD73 (aa 27-252) purified from E. coli

    亚型

    IgG2b
  • 应用备注

    ELISA. Western blot: 1/1,000 - 1/2,000. Immunohistochemistry on Paraffin Sections: 10 μg/mL.
    Other applications not tested.
    Optimal dilutions are dependent on conditions and should be determined by the user.

    限制

    仅限研究用
  • 状态

    Liquid

    浓度

    1.0 mg/mL

    缓冲液

    PBS, pH 7.4 with 0.09 % Sodium Azide as preservative

    储存液

    Sodium azide

    注意事项

    This product contains sodium azide: a POISONOUS AND HAZARDOUS SUBSTANCE which should be handled by trained staff only.

    储存条件

    4 °C/-20 °C

    储存方法

    Store the antibody undiluted at 2-8 °C for one month or (in aliquots) at -20 °C for longer. Avoid repeated freezing and thawing.
    Shelf life: one year from despatch.

    有效期

    12 months
  • 抗原

    CD73 (NT5E) (5'-Nucleotidase, Ecto (CD73) (NT5E))

    别名

    CD73

    背景

    CD73 (Ecto-5'-nucleotidase, 5'-NT) is a membrane-bound glycoprotein that functions to hydrolyze extracellular nucleoside monophosphates into bioactive nucleoside intermediates. This enables the uptake of adenosine, inosine, and guanosine into the cell and their subsequent reconversion into ATP and GTP in the purine salvage pathway. The expression of CD73 on neuronal cells has been described during developmental processes and, on lymphocytes, CD73 serves as a maturation marker, being absent from the surface of both immature B and T cells.Synonyms: 5'-nucleotidase, NT5, NT5E, NTE

    UniProt

    P21589

    途径

    Synaptic Membrane, Ribonucleoside Biosynthetic Process
You are here: