电话:
+86 (0512) 65829739
传真:
+86 (010) 6788 5057
电子邮件:
orders@antibodies-online.cn

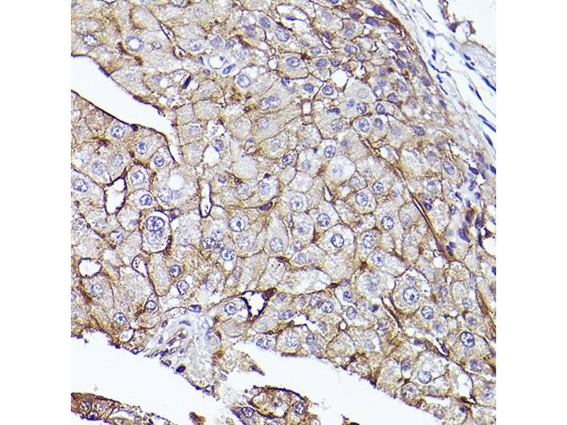
CD73 抗体 (AA 290-550)

The 兔 多克隆 anti-CD73 antibody is suitable to detect CD73 in samples from 人. It has been validated for WB 和 IHC.
产品编号 ABIN3022734
发货至: 中国
Contact our Customer Service for availability and price in your country. Contact Info

Our Local Distributor

中国
北京 101111
No. 88 KeChuang 6th Street
Beijing Economic Technological Development Area
Room 801-803
4A Biotech Co.,Ltd.
Tel +86 (0512) 65829739 传真 +86 (010) 6788 5057

Quick Overview for CD73 抗体 (AA 290-550) (ABIN3022734)

抗原

See all CD73 (NT5E) 抗体
CD73 (NT5E) (5'-Nucleotidase, Ecto (CD73) (NT5E))

适用

  • 176
  • 82
  • 34
  • 18
  • 18
  • 16
  • 4
  • 2
  • 1
  • 1
  • 1
  • 1
  • 1

宿主

  • 111
  • 68
  • 21
  • 20
  • 2

克隆类型

  • 134
  • 87
  • 1
多克隆

标记

  • 90
  • 20
  • 19
  • 15
  • 13
  • 5
  • 4
  • 4
  • 4
  • 4
  • 4
  • 4
  • 4
  • 2
  • 2
  • 2
  • 2
  • 1
  • 1
  • 1
  • 1
  • 1
  • 1
  • 1
  • 1
  • 1
  • 1
  • 1
  • 1
  • 1
  • 1
  • 1
  • 1
  • 1
  • 1
  • 1
  • 1
  • 1
  • 1
  • 1
  • 1
This CD73 antibody is un-conjugated

应用范围

  • 113
  • 92
  • 77
  • 43
  • 27
  • 19
  • 15
  • 14
  • 14
  • 10
  • 10
  • 5
  • 3
  • 3
  • 2
  • 2
  • 2
  • 1
  • 1
  • 1
  • 1
  • 1
  • 1
  • 1
  • 1
Western Blotting (WB), Immunohistochemistry (IHC)
  • 抗原表位

    • 16
    • 9
    • 9
    • 6
    • 6
    • 6
    • 4
    • 4
    • 3
    • 2
    • 2
    • 2
    • 2
    • 2
    • 1
    • 1
    • 1
    • 1
    • 1
    • 1
    • 1
    • 1
    • 1
    • 1
    • 1
    • 1
    AA 290-550

    序列

    LKIEFDERGN VISSHGNPIL LNSSIPEDPS IKADINKWRI KLDNYSTQEL GKTIVYLDGS SQSCRFRECN MGNLICDAMI NNNLRHTDEM FWNHVSMCIL NGGGIRSPID ERNNGTITWE NLAAVLPFGG TFDLVQLKGS TLKKAFEHSV HRYGQSTGEF LQVGGIHVVY DLSRKPGDRV VKLDVLCTKC RVPSYDPLKM DEVYKVILPN FLANGGDGFQ MIKDELLRHD SGDQDINVVS TYISKMKVIY PAVEGRIKFS T

    交叉反应

    人, 小鼠, 大鼠

    产品特性

    Polyclonal Antibodies

    免疫原

    Recombinant fusion protein containing a sequence corresponding to amino acids 290-550 of human NT5E / CD73 (NP_002517.1).

    亚型

    IgG
  • 应用备注

    WB,1:500 - 1:2000,IHC,1:50 - 1:200

    限制

    仅限研究用
  • 状态

    Liquid

    缓冲液

    PBS with 0.02 % sodium azide,50 % glycerol, pH 7.3.

    储存液

    Sodium azide

    注意事项

    This product contains Sodium azide: a POISONOUS AND HAZARDOUS SUBSTANCE which should be handled by trained staff only.

    注意事项

    Avoid freeze / thaw cycles

    储存条件

    -20 °C

    储存方法

    Store at -20°C. Avoid freeze / thaw cycles.
  • 抗原

    CD73 (NT5E) (5'-Nucleotidase, Ecto (CD73) (NT5E))

    别名

    NT5E

    背景

    The protein encoded by this gene is a plasma membrane protein that catalyzes the conversion of extracellular nucleotides to membrane-permeable nucleosides. The encoded protein is used as a determinant of lymphocyte differentiation. Defects in this gene can lead to the calcification of joints and arteries. Two transcript variants encoding different isoforms have been found for this gene.,NT5E,CALJA,CD73,E5NT,NT,NT5,NTE,eN,eNT,Immunology & Inflammation,CD markers,Stem Cells,Cardiovascular,Hypoxia,NT5E

    分子量

    57 kDa/63 kDa

    基因ID

    4907

    UniProt

    P21589

    途径

    Synaptic Membrane, Ribonucleoside Biosynthetic Process
You are here: