电话:
+86 (0512) 65829739
传真:
+86 (010) 6788 5057
电子邮件:
orders@antibodies-online.cn

TACC3 抗体

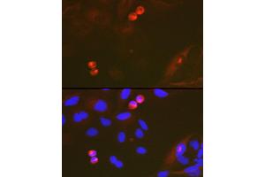
The 小鼠 单克隆 anti-TACC3 antibody is suitable to detect TACC3 in samples from 人. It has been validated for IHC, IF 和 FACS.
产品编号 ABIN2152688
发货至: 中国
Contact our Customer Service for availability and price in your country. Contact Info

Our Local Distributor

中国
北京 101111
No. 88 KeChuang 6th Street
Beijing Economic Technological Development Area
Room 801-803
4A Biotech Co.,Ltd.
Tel +86 (0512) 65829739 传真 +86 (010) 6788 5057

Quick Overview for TACC3 抗体 (ABIN2152688)

抗原

See all TACC3 抗体
TACC3 (Transforming, Acidic Coiled-Coil Containing Protein 3 (TACC3))

适用

  • 55
  • 31
  • 20
  • 1
  • 1
  • 1
  • 1
  • 1
  • 1
  • 1

宿主

  • 47
  • 8
  • 1
小鼠

克隆类型

  • 29
  • 27
单克隆

标记

  • 29
  • 4
  • 3
  • 3
  • 3
  • 3
  • 3
  • 3
  • 2
  • 1
  • 1
  • 1
This TACC3 antibody is un-conjugated

应用范围

  • 36
  • 25
  • 23
  • 13
  • 11
  • 6
  • 2
  • 2
  • 1
Immunohistochemistry (IHC), Immunofluorescence (IF), Flow Cytometry (FACS)

克隆位点

6F1
You are here: