Recombinant TACC3 抗体
Our Local Distributor
北京 101111
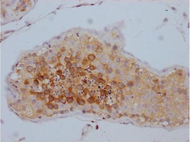
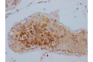
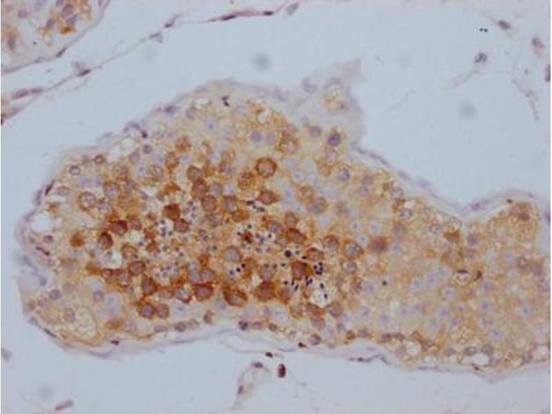
Quick Overview for Recombinant TACC3 抗体 (ABIN7127834)
抗原
See all TACC3 抗体抗体类型
适用
宿主
克隆类型
标记
应用范围
克隆位点
-
-
原理
- TACC3 Recombinant Monoclonal Antibody
-
纯化方法
- Affinity-chromatography
-
免疫原
- A synthesized peptide derived from human TACC3
-
亚型
- IgG
-
-
-
-
应用备注
- WB:1:500-1:5000, IHC:1:50-1:200
-
限制
- 仅限研究用
-
-
-
状态
- Liquid
-
缓冲液
- phosphate buffered saline, pH 7.4, 150 mM NaCl, 0.02 % sodium azide and 50 % glycerol.
-
储存液
- Sodium azide
-
注意事项
- This product contains Sodium azide: a POISONOUS AND HAZARDOUS SUBSTANCE which should be handled by trained staff only.
-
储存条件
- -20 °C,-80 °C
-
储存方法
- Upon receipt, store at -20°C or -80°C. Avoid repeated freeze.
-
-
- TACC3 (Transforming, Acidic Coiled-Coil Containing Protein 3 (TACC3))
-
别名
- TACC3
-
背景
-
Background: Plays a role in the microtubule-dependent coupling of the nucleus and the centrosome. Involved in the processes that regulate centrosome-mediated interkinetic nuclear migration (INM) of neural progenitors (By similarity). Acts as component of the TACC3/ch-TOG/clathrin complex proposed to contribute to stabilization of kinetochore fibers of the mitotic spindle by acting as inter-microtubule bridge. The TACC3/ch-TOG/clathrin complex is required for the maintenance of kinetochore fiber tension (PubMed:21297582, PubMed:23532825). May be involved in the control of cell growth and differentiation. May contribute to cancer (PubMed:14767476).
Aliases: Transforming acidic coiled-coil-containing protein 3 (ERIC-1), TACC3, ERIC1
-
UniProt
- Q9Y6A5
-
途径
- Maintenance of Protein Location
抗原
-