TACC3 抗体
Our Local Distributor
北京 101111
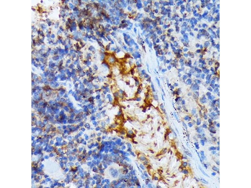
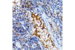
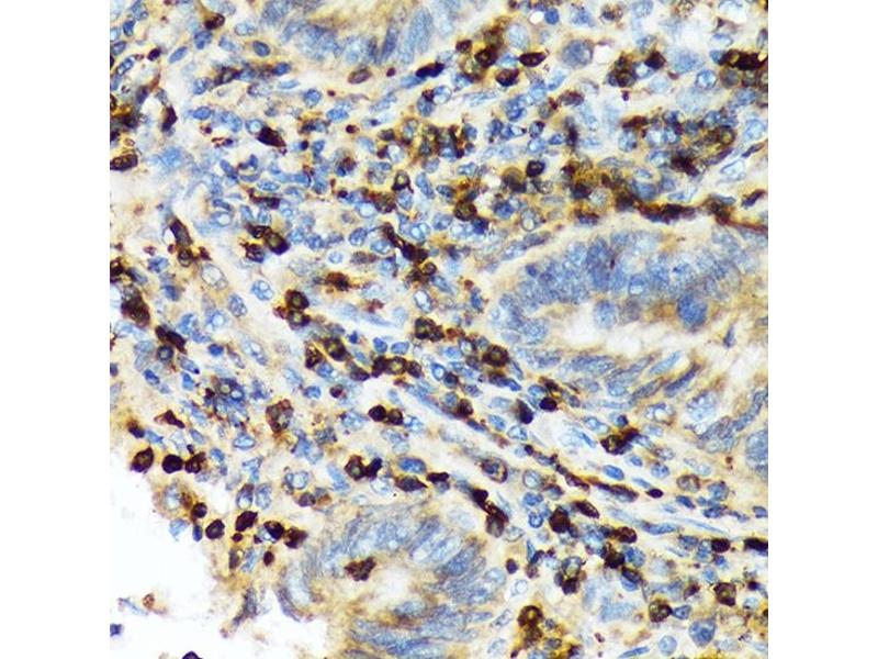
Quick Overview for TACC3 抗体 (ABIN7270916)
抗原
See all TACC3 抗体适用
宿主
克隆类型
标记
应用范围
-
-
原理
- TACC3 Rabbit mAb
-
交叉反应
- 人, 小鼠, 大鼠
-
产品特性
- Monoclonal Antibodies
-
纯化方法
- Affinity purification
-
免疫原
- A synthesized peptide derived from human TACC3
-
亚型
- IgG
-
-
-
-
应用备注
- WB,1:500 - 1:2000,IHC,1:50 - 1:200,IF,1:50 - 1:200
-
限制
- 仅限研究用
-
-
-
状态
- Liquid
-
缓冲液
- PBS with 0.02 % sodium azide,0.05 % BSA,50 % glycerol, pH 7.3.
-
储存液
- Sodium azide
-
注意事项
- This product contains Sodium azide: a POISONOUS AND HAZARDOUS SUBSTANCE which should be handled by trained staff only.
-
储存条件
- -20 °C
-
储存方法
- Store at -20°C. Avoid freeze / thaw cycles.
-
-
- TACC3 (Transforming, Acidic Coiled-Coil Containing Protein 3 (TACC3))
-
别名
- TACC3
-
背景
- This gene encodes a member of the transforming acidic colied-coil protein family. The encoded protein is a motor spindle protein that may play a role in stabilization of the mitotic spindle. This protein may also play a role in growth a differentiation of certain cancer cells. [provided by RefSeq, Nov 2011],ERIC-1, ERIC1,Apoptosis,Cell Biology & Developmental Biology,Cell Cycle,Cell Cycle_Cell differentiation,TACC3
-
分子量
- 140kDa
-
基因ID
- 10460
-
UniProt
- Q9Y6A5
-
途径
- Maintenance of Protein Location
抗原
-