电话:
+86 (0512) 65829739
传真:
+86 (010) 6788 5057
电子邮件:
orders@antibodies-online.cn

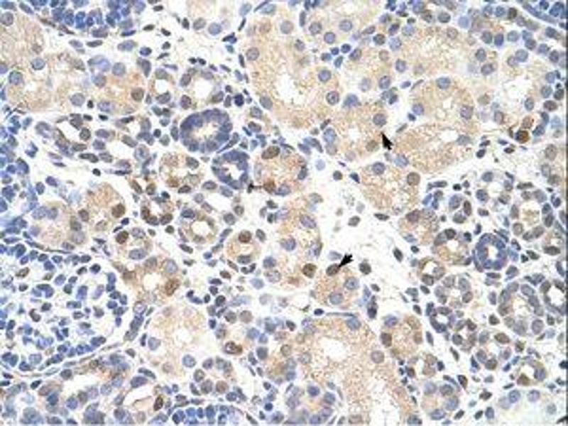
TARDBP 抗体 (N-Term)

This 兔 多克隆 antibody specifically detects TARDBP in WB, IHC 和 IHC (p). It exhibits reactivity toward 人, 小鼠, 大鼠, Cow, 犬, 马, 豚鼠, 小鸡, Pig, 猴 和 Bat.
产品编号 ABIN202468
发货至: 中国
Contact our Customer Service for availability and price in your country. Contact Info

Our Local Distributor

中国
北京 101111
No. 88 KeChuang 6th Street
Beijing Economic Technological Development Area
Room 801-803
4A Biotech Co.,Ltd.
Tel +86 (0512) 65829739 传真 +86 (010) 6788 5057

Quick Overview for TARDBP 抗体 (N-Term) (ABIN202468)

抗原

See all TARDBP 抗体
TARDBP (TAR DNA Binding Protein (TARDBP))

适用

  • 127
  • 79
  • 77
  • 22
  • 7
  • 7
  • 6
  • 5
  • 5
  • 4
  • 4
  • 3
  • 2
  • 1
人, 小鼠, 大鼠, Cow, 犬, 马, 豚鼠, 小鸡, Pig, 猴, Bat

宿主

  • 120
  • 25
  • 1

克隆类型

  • 79
  • 67
多克隆

标记

  • 81
  • 8
  • 5
  • 5
  • 5
  • 5
  • 5
  • 5
  • 4
  • 3
  • 3
  • 2
  • 2
  • 2
  • 1
  • 1
  • 1
  • 1
  • 1
  • 1
  • 1
  • 1
  • 1
  • 1
  • 1
This TARDBP antibody is un-conjugated

应用范围

  • 123
  • 76
  • 67
  • 44
  • 41
  • 36
  • 34
  • 17
  • 14
  • 13
  • 4
  • 3
  • 3
  • 3
  • 2
  • 2
  • 1
  • 1
Western Blotting (WB), Immunohistochemistry (IHC), Immunohistochemistry (Paraffin-embedded Sections) (IHC (p))
  • 抗原表位

    • 15
    • 12
    • 8
    • 7
    • 7
    • 4
    • 3
    • 2
    • 2
    • 2
    • 2
    • 2
    • 2
    • 2
    • 1
    • 1
    • 1
    • 1
    • 1
    • 1
    • 1
    • 1
    • 1
    N-Term

    特异性

    Human TARDBP

    预测反应

    Percent identity by BLAST analysis: Human, Mouse, Rat, Dog, Bovine, Horse, Pig, Chicken (100%).

    纯化方法

    Protein A purified

    免疫原

    Synthetic peptide from N-Terminus of human TARDBP (Q13148, NP_031401). Percent identity by BLAST analysis: Human, Chimpanzee, Gibbon, Monkey, Galago, Marmoset, Mouse, Rat, Elephant, Dog, Bovine, Bat, Horse, Pig, Opossum, Guinea pig, Turkey, Zebra finch, Chicken, Platypus (100%), Orangutan (92%).

    Type of Immunogen: Synthetic peptide

    亚型

    IgG
  • 应用备注

    Approved: IHC, IHC-P, WB (1.25 μg/mL)

    说明

    Target Species of Antibody: Human

    限制

    仅限研究用
  • 状态

    Lyophilized

    溶解方式

    After adding water, will consist of PBS buffer with 2 % sucrose

    浓度

    Lot specific

    缓冲液

    Lyophilized from PBS with 2 % sucrose

    注意事项

    Avoid repeat freeze-thaw cycles.

    储存条件

    4 °C,-20 °C

    储存方法

    Long term: -20°C, the use of 50% glycerol is recommended if storing aliquots in -20°C for long term use (up to 1 year)
    Short term (less than 1 week): 4°C. Avoid freeze-thaw cycles.
  • 抗原

    TARDBP (TAR DNA Binding Protein (TARDBP))

    别名

    TDP-43 / TARDBP

    背景

    Name/Gene ID: TARDBP

    Synonyms: TARDBP, ALS10, TAR DNA-binding protein-43, TDP-43, TAR DNA binding protein, TAR DNA-binding protein 43, TDP43

    基因ID

    23435

    NCBI登录号

    NP_031401

    UniProt

    Q13148

    途径

    Positive Regulation of Peptide Hormone Secretion
You are here: