电话:
+86 (0512) 65829739
传真:
+86 (010) 6788 5057
电子邮件:
orders@antibodies-online.cn

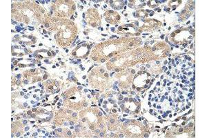
EXOSC7 抗体 (AA 71-120)

The 兔 多克隆 anti-EXOSC7 antibody (ABIN202173) specifically detects EXOSC7 in WB, IHC 和 IHC (p). The antibody is reactive with 人, 大鼠, 小鼠, 犬, Cow, 马, 豚鼠, 兔, 斑马鱼 和 猴 samples.
产品编号 ABIN202173
发货至: 中国
Contact our Customer Service for availability and price in your country. Contact Info

Our Local Distributor

中国
北京 101111
No. 88 KeChuang 6th Street
Beijing Economic Technological Development Area
Room 801-803
4A Biotech Co.,Ltd.
Tel +86 (0512) 65829739 传真 +86 (010) 6788 5057

Quick Overview for EXOSC7 抗体 (AA 71-120) (ABIN202173)

抗原

See all EXOSC7 抗体
EXOSC7 (Exosome Component 7 (EXOSC7))

适用

  • 52
  • 23
  • 8
  • 6
  • 3
  • 3
  • 2
  • 2
  • 2
  • 1
  • 1
  • 1
人, 大鼠, 小鼠, 犬, Cow, 马, 豚鼠, 兔, 斑马鱼, 猴

宿主

  • 44
  • 8

克隆类型

  • 27
  • 25
多克隆

标记

  • 20
  • 3
  • 2
  • 2
  • 2
  • 2
  • 2
  • 2
  • 2
  • 2
  • 1
  • 1
  • 1
  • 1
  • 1
  • 1
  • 1
  • 1
  • 1
  • 1
  • 1
  • 1
  • 1
This EXOSC7 antibody is un-conjugated

应用范围

  • 35
  • 17
  • 16
  • 14
  • 13
  • 11
  • 10
  • 6
  • 4
  • 3
  • 3
Western Blotting (WB), Immunohistochemistry (IHC), Immunohistochemistry (Paraffin-embedded Sections) (IHC (p))
  • 抗原表位

    • 15
    • 3
    • 3
    • 1
    • 1
    • 1
    AA 71-120

    特异性

    Human EXOSC7

    预测反应

    Percent identity by BLAST analysis: Human, Mouse, Rat, Dog (100%) Pig (92%) Chicken, Xenopus (85%).

    纯化方法

    Protein A purified

    免疫原

    Synthetic peptide located between aa71-120 of human EXOSC7 (Q15024, NP_055819). Percent identity by BLAST analysis: Human, Chimpanzee, Gorilla, Gibbon, Monkey, Galago, Marmoset, Mouse, Rat, Dog, Bovine, Rabbit, Horse, Opossum, Guinea pig (100%), Elephant, Bat, Pig, Platypus, Stickleback (92%), Turkey, Chicken, Xenopus, Frog, Salmon, Pike (85%).

    Type of Immunogen: Synthetic peptide

    亚型

    IgG
  • 应用备注

    Approved: IHC, IHC-P, WB (1.25 μg/mL)

    说明

    Target Species of Antibody: Human

    限制

    仅限研究用
  • 状态

    Lyophilized

    溶解方式

    After adding water, will consist of PBS buffer with 2 % sucrose

    浓度

    Lot specific

    缓冲液

    Lyophilized from PBS with 2 % sucrose

    注意事项

    Avoid repeat freeze-thaw cycles.

    储存条件

    4 °C,-20 °C

    储存方法

    Long term: -20°C, the use of 50% glycerol is recommended if storing aliquots in -20°C for long term use (up to 1 year)
    Short term (less than 1 week): 4°C. Avoid freeze-thaw cycles.
  • 抗原

    EXOSC7 (Exosome Component 7 (EXOSC7))

    别名

    EXOSC7

    背景

    Name/Gene ID: EXOSC7

    Synonyms: EXOSC7, EAP1, HRrp42p, p8, Rrp42p, RRP42, Exosome component 7, KIAA0116

    基因ID

    23016

    NCBI登录号

    NP_055819

    UniProt

    Q15024
You are here: