电话:
+86 (0512) 65829739
传真:
+86 (010) 6788 5057
电子邮件:
orders@antibodies-online.cn

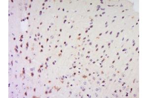
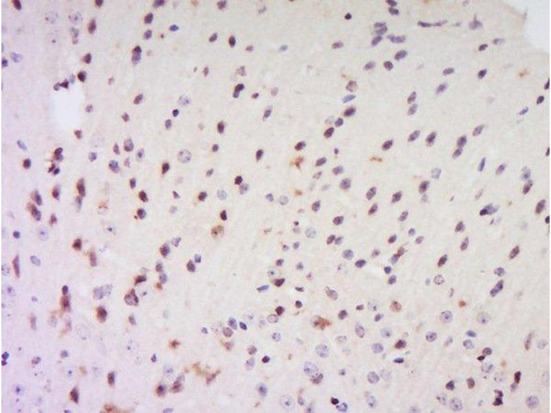
EXOSC7 抗体 (AA 21-120)

The 兔 多克隆 anti-EXOSC7 antibody is suitable to detect EXOSC7 in samples from 人 和 大鼠. It has been validated for IF (p), IF (cc), ICC, ELISA, IHC (p) 和 IHC (fro).
产品编号 ABIN1714154
发货至: 中国
Contact our Customer Service for availability and price in your country. Contact Info

Our Local Distributor

中国
北京 101111
No. 88 KeChuang 6th Street
Beijing Economic Technological Development Area
Room 801-803
4A Biotech Co.,Ltd.
Tel +86 (0512) 65829739 传真 +86 (010) 6788 5057

Quick Overview for EXOSC7 抗体 (AA 21-120) (ABIN1714154)

抗原

See all EXOSC7 抗体
EXOSC7 (Exosome Component 7 (EXOSC7))

适用

  • 52
  • 23
  • 9
  • 7
  • 4
  • 4
  • 3
  • 3
  • 2
  • 2
  • 2
  • 1
人, 大鼠

宿主

  • 44
  • 8

克隆类型

  • 27
  • 25
多克隆

标记

  • 20
  • 3
  • 2
  • 2
  • 2
  • 2
  • 2
  • 2
  • 2
  • 2
  • 1
  • 1
  • 1
  • 1
  • 1
  • 1
  • 1
  • 1
  • 1
  • 1
  • 1
  • 1
  • 1
This EXOSC7 antibody is un-conjugated

应用范围

  • 36
  • 18
  • 16
  • 13
  • 12
  • 10
  • 10
  • 5
  • 4
  • 3
  • 2
Immunofluorescence (Paraffin-embedded Sections) (IF (p)), Immunofluorescence (Cultured Cells) (IF (cc)), Immunocytochemistry (ICC), ELISA, Immunohistochemistry (Paraffin-embedded Sections) (IHC (p)), Immunohistochemistry (Frozen Sections) (IHC (fro))
  • 抗原表位

    • 14
    • 3
    • 3
    • 1
    • 1
    • 1
    • 1
    AA 21-120

    交叉反应

    人, 大鼠

    预测反应

    Mouse,Dog,Cow,Sheep,Pig,Horse,Chicken,Rabbit

    纯化方法

    Purified by Protein A.

    免疫原

    KLH conjugated synthetic peptide derived from human EXOSC7

    亚型

    IgG
  • 应用备注

    ELISA 1:500-1000
    IHC-P 1:200-400
    IHC-F 1:100-500
    IF(IHC-P) 1:50-200
    IF(IHC-F) 1:50-200
    IF(ICC) 1:50-200
    ICC 1:100-500

    限制

    仅限研究用
  • 状态

    Liquid

    浓度

    1 μg/μL

    缓冲液

    0.01M TBS( pH 7.4) with 1 % BSA, 0.02 % Proclin300 and 50 % Glycerol.

    储存液

    ProClin

    注意事项

    This product contains ProClin: a POISONOUS AND HAZARDOUS SUBSTANCE, which should be handled by trained staff only.

    储存条件

    4 °C,-20 °C

    储存方法

    Shipped at 4°C. Store at -20°C for one year. Avoid repeated freeze/thaw cycles.

    有效期

    12 months
  • 抗原

    EXOSC7 (Exosome Component 7 (EXOSC7))

    别名

    EXOSC7

    背景

    Synonyms: EAP1, EXOS7_HUMAN, Exosc7, Exosome complex component RRP42, Exosome complex exonuclease RRP42, Exosome component 7, FLJ26543, hRrp42p, KIAA0116, p8, Ribosomal RNA processing protein 42, Ribosomal RNA-processing protein 42, RRP42, Rrp42p.

    Background: The exosome is a multisubunit complex of 3? to 5? exoribonucleases. It is involved in a variety of cellular processes and is responsible for degrading unstable mRNAs that contain AU-rich elements in their untranslated 3? region. EXOSC7 (exosome component 7), also known as p8, EAP1, RRP42 (Ribosomal RNA-processing protein 42), Rrp42p or hRrp42p, is a component of the exosome multienzyme ribonuclease complex. It belongs to the RNase PH family and localizes to the nucleolus. EXOSC7 is one of the six RNase-PH domain subunits of the exosome. Together, these six subunits form a PNPase-like ring. EXOSC7 is required for the processing of the 7S pre-RNA.

    基因ID

    23016
You are here: