电话:
+86 (0512) 65829739
传真:
+86 (010) 6788 5057
电子邮件:
orders@antibodies-online.cn

IRS1 抗体 (Ser636)

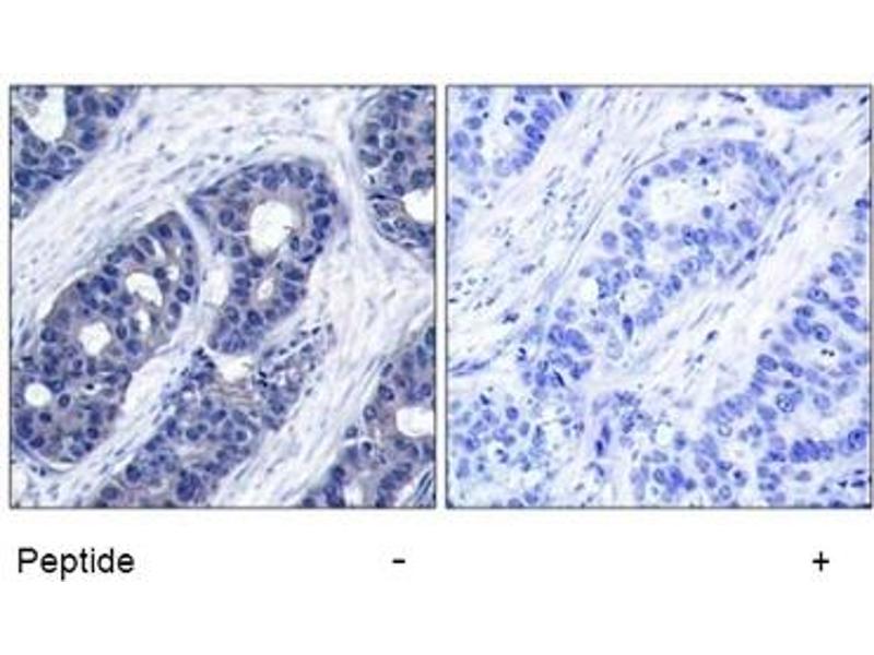
The 兔 多克隆 anti-IRS1 antibody (ABIN197466) specifically detects IRS1 in WB, IF 和 IHC (p). The antibody is reactive with 人, 小鼠 和 大鼠 samples.
产品编号 ABIN197466
发货至: 中国
Contact our Customer Service for availability and price in your country. Contact Info

Our Local Distributor

中国
北京 101111
No. 88 KeChuang 6th Street
Beijing Economic Technological Development Area
Room 801-803
4A Biotech Co.,Ltd.
Tel +86 (0512) 65829739 传真 +86 (010) 6788 5057

Quick Overview for IRS1 抗体 (Ser636) (ABIN197466)

抗原

See all IRS1 抗体
IRS1 (Insulin Receptor Substrate 1 (IRS1))

适用

  • 317
  • 243
  • 218
  • 23
  • 18
  • 18
  • 17
  • 16
  • 16
  • 15
  • 2
  • 1
  • 1
人, 小鼠, 大鼠

宿主

  • 314
  • 14

克隆类型

  • 298
  • 30
多克隆

标记

  • 130
  • 14
  • 11
  • 10
  • 10
  • 10
  • 10
  • 10
  • 10
  • 10
  • 10
  • 10
  • 10
  • 10
  • 10
  • 9
  • 7
  • 7
  • 7
  • 7
  • 7
  • 7
  • 1
  • 1
This IRS1 antibody is un-conjugated

应用范围

  • 175
  • 129
  • 104
  • 92
  • 86
  • 78
  • 58
  • 51
  • 29
  • 24
  • 20
  • 3
  • 3
  • 2
  • 1
Western Blotting (WB), Immunofluorescence (IF), Immunohistochemistry (Paraffin-embedded Sections) (IHC (p))
  • 抗原表位

    • 34
    • 29
    • 29
    • 25
    • 24
    • 20
    • 19
    • 17
    • 16
    • 16
    • 16
    • 5
    • 5
    • 4
    • 4
    • 3
    • 3
    • 3
    • 3
    • 3
    • 2
    • 2
    • 2
    • 2
    • 2
    • 2
    • 2
    • 2
    • 2
    • 2
    • 2
    • 2
    • 2
    • 1
    • 1
    • 1
    • 1
    • 1
    • 1
    • 1
    • 1
    • 1
    • 1
    • 1
    • 1
    • 1
    • 1
    • 1
    • 1
    • 1
    Ser636

    特异性

    This antibody AP02732PU detects endogenous levels of total IRS-1 protein.

    纯化方法

    Immunoaffinity Chromatography using epitope-specific immunogen.

    免疫原

    The antiserum was produced against synthesized non-phosphopeptide derived from human IRS-1 around the phosphorylation site of serine 636 (P-M-SP-P-K).
  • 应用备注

    Western blot: 1/500-1/1000. Immunofluorescence: 1/100-1/200. Immunohistochemistry on Paraffin-Embedded Sections: 1/50-1/100.
    Other applications not tested.
    Optimal dilutions are dependent on conditions and should be determined by the user.

    限制

    仅限研究用
  • 浓度

    1.0 mg/mL

    缓冲液

    PBS (without Mg2+ and Ca2+), pH 7.4, 150 mM NaCl, 0.02 % Sodium Azide and 50 % Glycerol.

    储存液

    Sodium azide

    注意事项

    This product contains sodium azide: a POISONOUS AND HAZARDOUS SUBSTANCE which should be handled by trained staff only.

    注意事项

    Avoid repeated freezing and thawing.

    储存条件

    -20 °C

    储存方法

    Store the antibody (in aliquots) at -20 °C.
  • 抗原

    IRS1 (Insulin Receptor Substrate 1 (IRS1))

    别名

    IRS1

    背景

    Insulin receptor substrates (IRS) are responsible for several insulin related activities, such as glucose homeostasis, cell growth, cell transformation, apoptosis and insulin signal transduction. Serine/threonine phosphorylation of IRS1 has been demonstrated to be a negative regulator of insulin signaling and is responsible for its degradation, although IRS1 degradation pathways are not well understood. IRS1 has also been shown to be constitutively activated in cancers such as breast cancer, Wilm's tumors, and adrenal cortical carcinomas, thus making IRS1 phosphorylation and subsequent degradation an attractive therapeutic target. To date there have been four subtypes identified: IRS1, 2, 3 and 4, with IRS1 being widely expressed.Synonyms: IRS-1, Insulin receptor substrate 1

    基因ID

    3667

    NCBI登录号

    NP_005535

    UniProt

    P35568

    途径

    Fc-epsilon Receptor Signaling Pathway, EGFR Signaling Pathway, Neurotrophin Signaling Pathway, Positive Regulation of Peptide Hormone Secretion, Hormone Transport, Negative Regulation of Hormone Secretion, Response to Growth Hormone Stimulus, Carbohydrate Homeostasis, Regulation of Carbohydrate Metabolic Process
You are here: