MEK2 抗体 (Thr394)
Our Local Distributor
北京 101111
Quick Overview for MEK2 抗体 (Thr394) (ABIN197106)
抗原
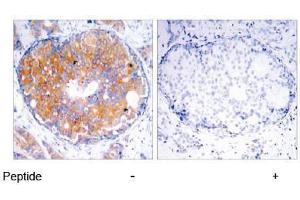
See all MEK2 (MAP2K2) 抗体适用
宿主
克隆类型
标记
应用范围
-
-
抗原表位
- Thr394
-
特异性
- MEK2 antibody detects endogenous levels of total MEK2 protein.
-
纯化方法
- The antibody was affinity-purified from rabbit antiserum by affinity-chromatography using epitope-specific immunogen.
-
免疫原
- The antiserum was produced against synthesized non-phosphopeptide derived from human MEK2 around the phosphorylation site of threonine 394 (P-G-TP-P-T).
-
-
-
-
应用备注
-
Western Blot: 1: 500approx. 1: 1000. Immunohistochemistry: 1: 50approx. 1: 100.
Other applications not tested.
Optimal dilutions are dependent on conditions and should be determined by the user. -
限制
- 仅限研究用
-
-
-
浓度
- 1.0 mg/mL
-
缓冲液
- PBS(without Mg2+ and Ca2+), pH 7.4 containing 150 mM NaCl, 0.02 % sodium azide and 50 % glycerol
-
储存液
- Sodium azide
-
注意事项
- This product contains sodium azide: a POISONOUS AND HAZARDOUS SUBSTANCE which should be handled by trained staff only.
-
注意事项
- Avoid repeated freezing and thawing.
-
储存条件
- -20 °C
-
-
- MEK2 (MAP2K2) (Mitogen-Activated Protein Kinase Kinase 2 (MAP2K2))
-
别名
- MAPKK 2
-
背景
- Microtubule associated protein kinase kinase 2 (MEK2 or MAPKK2) is a member of a family of tyrosine/threonine protein kinases that activate the ERK 1 & 2/MAPK enzymes by phosphorylating both residues within the threonine/glutamic acid/tyrosine (TEY) motif in the activation loop. MEK 1 & 2 are also activated by dual phosphorylation, which occurs on serines 218 and 222, in the activation loop of the MEKs. Threonine 394 of MEK2 is phosphorylated by ERK 2, which serves as a negative feedback loop by suppressing activation of MEK2.Synonyms: Dual specificity mitogen-activated protein kinase kinase 2, ERK activator kinase 2, MAP kinase kinase 2, MAPK/ERK kinase 2, MEK2, MKK2
-
基因ID
- 5605
-
NCBI登录号
- NP_109587
-
UniProt
- P36507
-
途径
- MAPK Pathway, RTK signaling, Fc-epsilon Receptor Signaling Pathway, Neurotrophin Signaling Pathway, Activation of Innate immune Response, Toll-Like Receptors Cascades, Signaling of Hepatocyte Growth Factor Receptor, BCR Signaling
抗原
-