电话:
+86 (0512) 65829739
传真:
+86 (010) 6788 5057
电子邮件:
orders@antibodies-online.cn

ERK1/2 抗体 (pThr187, pTyr204)

The 兔 多克隆 anti-ERK1/2 antibody is suitable to detect ERK1/2 in samples from 人, 小鼠 和 大鼠. It has been validated for WB, IF 和 IHC (p).
产品编号 ABIN197000
发货至: 中国
Contact our Customer Service for availability and price in your country. Contact Info

Our Local Distributor

中国
北京 101111
No. 88 KeChuang 6th Street
Beijing Economic Technological Development Area
Room 801-803
4A Biotech Co.,Ltd.
Tel +86 (0512) 65829739 传真 +86 (010) 6788 5057

Quick Overview for ERK1/2 抗体 (pThr187, pTyr204) (ABIN197000)

抗原

See all ERK1/2 (MAPK1/3) 抗体
ERK1/2 (MAPK1/3) (Mitogen-Activated Protein Kinase 1/3 (MAPK1/3))

适用

  • 213
  • 182
  • 176
  • 21
  • 21
  • 18
  • 6
  • 2
  • 2
  • 2
  • 2
  • 2
  • 1
  • 1
  • 1
  • 1
  • 1
  • 1
  • 1
人, 小鼠, 大鼠

宿主

  • 175
  • 41
  • 3

克隆类型

  • 132
  • 87
多克隆

标记

  • 81
  • 13
  • 8
  • 8
  • 8
  • 8
  • 8
  • 8
  • 6
  • 5
  • 5
  • 5
  • 5
  • 5
  • 5
  • 5
  • 5
  • 5
  • 5
  • 5
  • 4
  • 4
  • 4
  • 2
  • 1
  • 1
This ERK1/2 antibody is un-conjugated

应用范围

  • 172
  • 66
  • 58
  • 51
  • 51
  • 42
  • 41
  • 40
  • 35
  • 32
  • 13
  • 3
  • 3
Western Blotting (WB), Immunofluorescence (IF), Immunohistochemistry (Paraffin-embedded Sections) (IHC (p))
  • 抗原表位

    • 66
    • 44
    • 30
    • 30
    • 21
    • 16
    • 13
    • 13
    • 10
    • 4
    • 4
    • 3
    • 3
    • 3
    • 2
    • 2
    • 2
    • 2
    • 1
    • 1
    • 1
    • 1
    • 1
    • 1
    • 1
    • 1
    • 1
    • 1
    • 1
    • 1
    • 1
    • 1
    • 1
    pThr187, pTyr204

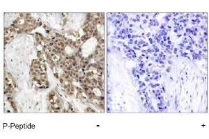
    特异性

    This antibody detects endogenous levels of p44/42 MAP Kinase only when phosphorylated at Tyrosine 204.

    纯化方法

    Affinity Chromatography using epitope-specific phosphopeptide. The antibody against non-phosphopeptide was removed by chromatography using non-phosphopeptide corresponding to the phosphorylation site.

    免疫原

    The antiserum was produced against synthesized phosphopeptide derived from Human p44/42 MAP Kinase around the phosphorylation site of Tyrosine 204 (T-E-Yp-V-A).
  • 应用备注

    Western Blot: 1/500approx. 1/1000. Immunohistochemistry: 1/50approx. 1/100. Immunofluorescence: 1/100approx. 1/200.
    Other applications not tested.
    Optimal dilutions are dependent on conditions and should be determined by the user.

    实验流程

    1. TETE HANNKEN, et al. (2000) Am Soc Nephrol 11: 1387-13972. Omar D. PerezNature et al. (2002) Biotechnology 20: 155 - 1623. Jingui Yu, et al. (2005) Anesth Analg 101: 315-3214. Hironobu Ihn et al. (2000) Immunology 165: 2149-2155

    限制

    仅限研究用
  • 浓度

    1.0 mg/mL

    缓冲液

    PBS (without Mg2+ and Ca2+), pH 7.4, 150 mM NaCl, 0.02 % Sodium Azide as preservative and 50 % Glycerol as stabilizer.

    储存液

    Sodium azide

    注意事项

    This product contains sodium azide: a POISONOUS AND HAZARDOUS SUBSTANCE which should be handled by trained staff only.

    注意事项

    Avoid repeated freezing and thawing.

    储存条件

    -20 °C

    储存方法

    Store the antibody (in aliquots) at -20 °C.
  • 抗原

    ERK1/2 (MAPK1/3) (Mitogen-Activated Protein Kinase 1/3 (MAPK1/3))

    别名

    ERK1 / ERK2

    背景

    Both p44 and p42 MAP kinases (Erk1 and Erk2) function in a protein kinase cascade that plays a critical role in the regulation of cell growth and differentiation. Activation of MAP kinases occurs through phosphorylation of threonine and tyrosine (202 and 204 of human MAP kinase [Erk1] or 183 and 185 of rat Erk2) at the sequence T*EY* by a single upstream MAP kinase kinase (MEK). Both kinases are known to weakly autophosphorylate on tyrosine.Synonyms: ERK-1/ERK-2, Extracellular signal regulated kinase 1/2, Insulin stimulated MAP2 kinase, MAPK1/MAPK2, Microtubule associated protein 2 kinase, Mitogen activated protein kinase 1/2/3, P42/P44-MAPK
You are here: