电话:
+86 (0512) 65829739
传真:
+86 (010) 6788 5057
电子邮件:
orders@antibodies-online.cn

GPSM2 抗体 (Internal Region)

Cited in 1 publication. The 山羊 多克隆 anti-GPSM2 antibody (ABIN190875) specifically detects GPSM2 in ELISA, IHC 和 IF. The antibody is reactive with 人 samples.
产品编号 ABIN190875
发货至: 中国
Contact our Customer Service for availability and price in your country. Contact Info

Our Local Distributor

中国
北京 101111
No. 88 KeChuang 6th Street
Beijing Economic Technological Development Area
Room 801-803
4A Biotech Co.,Ltd.
Tel +86 (0512) 65829739 传真 +86 (010) 6788 5057

Quick Overview for GPSM2 抗体 (Internal Region) (ABIN190875)

抗原

See all GPSM2 抗体
GPSM2 (G-Protein Signaling Modulator 2 (GPSM2))

适用

  • 14
  • 9
  • 6
  • 3
  • 3
  • 3
  • 3
  • 2
  • 2
  • 2
  • 1
  • 1

宿主

  • 14
山羊

克隆类型

  • 14
多克隆

标记

  • 14
This GPSM2 antibody is un-conjugated

应用范围

  • 12
  • 6
  • 5
  • 2
  • 2
  • 1
  • 1
ELISA, Immunohistochemistry (IHC), Immunofluorescence (IF)

质量等级

Verified
  • 抗原表位

    • 1
    • 1
    • 1
    • 1
    • 1
    • 1
    • 1
    • 1
    Internal Region

    原理

    GPSM2

    序列

    NRLKGKKYKT NSSTK

    交叉反应

    犬, 人

    纯化方法

    Purified from goat serum by ammonium sulphate precipitation followed by antigen affinity chromatography using the immunizing peptide.

    免疫原

    Peptide with sequence C-NRLKGKKYKTNSSTK, from the internal region of the protein sequence according to NP_037428.2.

    亚型

    IgG
  • 应用备注

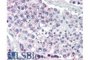
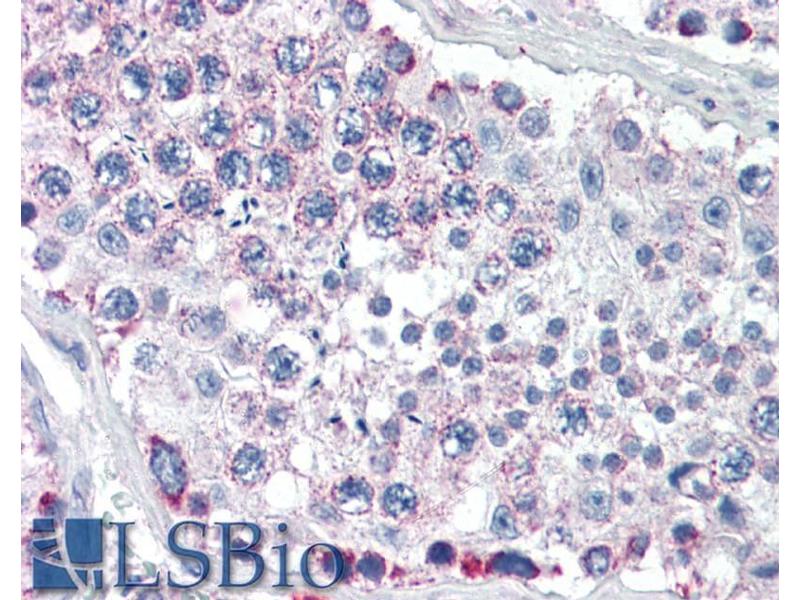
    Immunohistochemistry: Paraffin embedded Human Testis. Recommended concentration: 5 μg/mL.

    Peptide ELISA: antibody detection limit dilution 1:64000.

    说明

    Immunofluorescence: Strong expression of the protein seen in the cytoplasm/ centrosomes of A431 cells. Recommended concentration: 10μg/ml.

    限制

    仅限研究用
  • 状态

    Liquid

    浓度

    0.5 mg/mL

    缓冲液

    Supplied at 0.5 mg/mL in Tris saline, 0.02 % sodium azide, pH 7.3 with 0.5 % bovine serum albumin.

    储存液

    Sodium azide

    注意事项

    This product contains Sodium azide: a POISONOUS AND HAZARDOUS SUBSTANCE which should be handled by trained staff only.

    注意事项

    Minimize freezing and thawing.

    储存条件

    -20 °C

    储存方法

    Aliquot and store at -20°C, with minimal freeze/thawing. A working aliquot may be refrigerated at 4°C for a few weeks and still remain viable.
  • Campla, Bocchero, Strickland, Nellissery, Advani, Ignatova, Srivastava, Aponte, Wang, Gumerson, Martemyanov, Artemyev, Pahlberg, Swaroop: "Frmpd1 Facilitates Trafficking of G-Protein Transducin and Modulates Synaptic Function in Rod Photoreceptors of Mammalian Retina." in: eNeuro, Vol. 9, Issue 5, (2022) (PubMed).

  • 抗原

    GPSM2 (G-Protein Signaling Modulator 2 (GPSM2))

    别名

    GPSM2

    背景

    GPSM2, G-protein signalling modulator 2 (AGS3-like, C. elegans) , HGNC:29501, LGN, Pins, LGN protein

    基因ID

    29899

    NCBI登录号

    NP_037428

    途径

    Regulation of G-Protein Coupled Receptor Protein Signaling
You are here: