电话:
+86 (0512) 65829739
传真:
+86 (010) 6788 5057
电子邮件:
orders@antibodies-online.cn

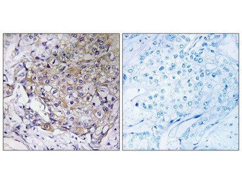
WASF3 抗体 (Internal Region)

This 兔 多克隆 antibody specifically detects WASF3 in WB, ELISA 和 IHC. It exhibits reactivity toward 人 和 小鼠.
产品编号 ABIN1852396
发货至: 中国
Contact our Customer Service for availability and price in your country. Contact Info

Our Local Distributor

中国
北京 101111
No. 88 KeChuang 6th Street
Beijing Economic Technological Development Area
Room 801-803
4A Biotech Co.,Ltd.
Tel +86 (0512) 65829739 传真 +86 (010) 6788 5057

Quick Overview for WASF3 抗体 (Internal Region) (ABIN1852396)

抗原

See all WASF3 抗体
WASF3 (WAS Protein Family, Member 3 (WASF3))

适用

  • 31
  • 28
  • 19
  • 3
  • 3
  • 3
  • 3
  • 3
  • 2
  • 2
  • 2
  • 2
  • 1
  • 1
人, 小鼠

宿主

  • 42
  • 2
  • 1

克隆类型

  • 45
多克隆

标记

  • 20
  • 3
  • 2
  • 2
  • 1
  • 1
  • 1
  • 1
  • 1
  • 1
  • 1
  • 1
  • 1
  • 1
  • 1
  • 1
  • 1
  • 1
  • 1
  • 1
  • 1
  • 1
This WASF3 antibody is un-conjugated

应用范围

  • 34
  • 14
  • 13
  • 13
  • 12
  • 5
  • 4
  • 3
  • 2
  • 2
  • 1
Western Blotting (WB), ELISA, Immunohistochemistry (IHC)
You are here: