电话:
+86 (0512) 65829739
传真:
+86 (010) 6788 5057
电子邮件:
orders@antibodies-online.cn

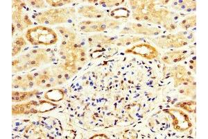
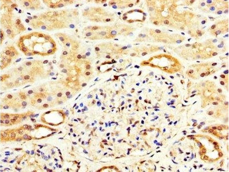
WASF3 抗体 (AA 368-502)

The 兔 多克隆 anti-WASF3 antibody is suitable to detect WASF3 in samples from 人. It has been validated for WB, ELISA, IHC 和 IF.
产品编号 ABIN7175838
发货至: 中国
Contact our Customer Service for availability and price in your country. Contact Info

Our Local Distributor

中国
北京 101111
No. 88 KeChuang 6th Street
Beijing Economic Technological Development Area
Room 801-803
4A Biotech Co.,Ltd.
Tel +86 (0512) 65829739 传真 +86 (010) 6788 5057

Quick Overview for WASF3 抗体 (AA 368-502) (ABIN7175838)

抗原

See all WASF3 抗体
WASF3 (WAS Protein Family, Member 3 (WASF3))

适用

  • 31
  • 27
  • 19
  • 3
  • 3
  • 3
  • 3
  • 3
  • 2
  • 2
  • 2
  • 2
  • 1
  • 1

宿主

  • 41
  • 2
  • 1

克隆类型

  • 44
多克隆

标记

  • 19
  • 3
  • 2
  • 2
  • 1
  • 1
  • 1
  • 1
  • 1
  • 1
  • 1
  • 1
  • 1
  • 1
  • 1
  • 1
  • 1
  • 1
  • 1
  • 1
  • 1
  • 1
This WASF3 antibody is un-conjugated

应用范围

  • 33
  • 14
  • 13
  • 13
  • 11
  • 4
  • 4
  • 3
  • 2
  • 1
  • 1
Western Blotting (WB), ELISA, Immunohistochemistry (IHC), Immunofluorescence (IF)
  • 抗原表位

    • 16
    • 4
    • 3
    • 2
    • 2
    • 1
    • 1
    • 1
    • 1
    • 1
    • 1
    • 1
    • 1
    • 1
    • 1
    AA 368-502

    原理

    WASF3 Antibody

    纯化方法

    Protein G purified

    纯度

    >95 %

    免疫原

    Recombinant Human Wiskott-Aldrich syndrome protein family member 3 protein (368-502AA)

    亚型

    IgG
  • 应用备注

    Optimal working dilution should be determined by the investigator.

    限制

    仅限研究用
  • 状态

    Liquid

    缓冲液

    Preservative: 0.03 % Proclin 300
    Constituents: 50 % Glycerol, 0.01M PBS, pH 7.4

    储存液

    ProClin

    注意事项

    This product contains ProClin: a POISONOUS AND HAZARDOUS SUBSTANCE which should be handled by trained staff only.

    储存条件

    -20 °C,-80 °C

    储存方法

    Upon receipt, store at -20°C or -80°C. Avoid repeated freeze.
  • 抗原

    WASF3 (WAS Protein Family, Member 3 (WASF3))

    别名

    WASF3

    背景

    Background: Downstream effector molecules involved in the transmission of signals from tyrosine kinase receptors and small GTPases to the actin cytoskeleton. Plays a role in the regulation of cell morphology and cytoskeletal organization. Required in the control of cell shape.

    Aliases: KIAA0900 antibody, Protein WAVE-3 antibody, Protein WAVE3 antibody, SCAR3 antibody, Verprolin homology domain containing protein 3 antibody, Verprolin homology domain-containing protein 3 antibody, WASF3 antibody, WASF3_HUMAN antibody, WASP family protein member 3 antibody, WAVE3 antibody, Wiskott Aldrich syndrome protein family member 3 antibody, Wiskott-Aldrich syndrome protein family member 3 antibody

    UniProt

    Q9UPY6

    途径

    RTK signaling
You are here: