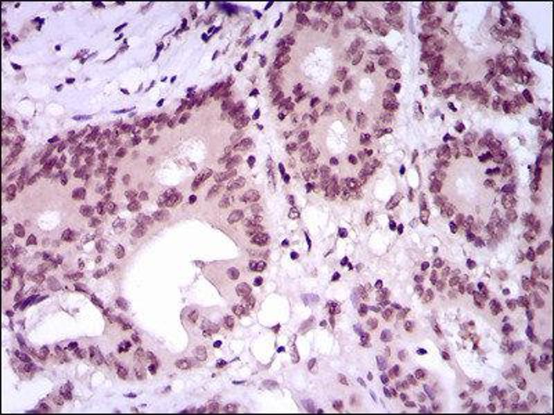
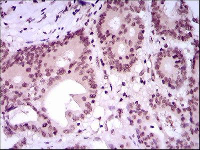
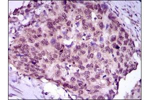
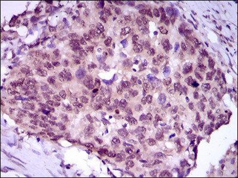
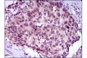
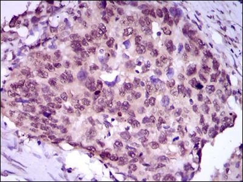
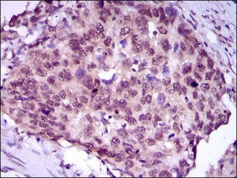
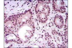
MEF2C 抗体 (AA 1-125)
Our Local Distributor
北京 101111
Quick Overview for MEF2C 抗体 (AA 1-125) (ABIN1846463)
抗原
See all MEF2C 抗体适用
宿主
克隆类型
标记
应用范围
-
-
抗原表位
- AA 1-125
-
纯化方法
- Purified antibody
-
免疫原
- Purified recombinant fragment of human MEF2C (AA: 1-125) expressed in E. Coli.
-
亚型
- IgG1
-
-
-
-
应用备注
- Optimal working dilution should be determined by the investigator.
-
限制
- 仅限研究用
-
-
-
状态
- Liquid
-
浓度
- 1.0 mg/mL
-
缓冲液
- PBS with 0.05 % sodium azide and 0.5 % protein stabilizer.
-
储存液
- Sodium azide
-
注意事项
- This product contains Sodium azide: a POISONOUS AND HAZARDOUS SUBSTANCE which should be handled by trained staff only.
-
储存条件
- -20 °C
-
储存方法
- Aliquot and store at -20 °C. Avoid repeated freeze/thaw cycles.
-
-
- MEF2C (Myocyte Enhancer Factor 2C (MEF2C))
-
别名
- MEF2C
-
背景
- This locus encodes a member of the MADS box transcription enhancer factor 2 (MEF2) family of proteins, which play a role in myogenesis. The encoded protein, MEF2 polypeptide C, has both trans-activating and DNA binding activities. This protein may play a role in maintaining the differentiated state of muscle cells. Mutations and deletions at this locus have been associated with severe mental retardation, stereotypic movements, epilepsy, and cerebral malformation. Alternatively spliced transcript variants have been described.
-
分子量
- 51.2 kDa
-
基因ID
- 4208
-
UniProt
- Q06413
-
途径
- Neurotrophin Signaling Pathway, Activation of Innate immune Response, Cellular Response to Molecule of Bacterial Origin, Carbohydrate Homeostasis, Chromatin Binding, Regulation of Muscle Cell Differentiation, Skeletal Muscle Fiber Development, Toll-Like Receptors Cascades, BCR Signaling
抗原
-