MEF2C 抗体 (Ser59)
Our Local Distributor
北京 101111
Quick Overview for MEF2C 抗体 (Ser59) (ABIN1804047)
抗原
See all MEF2C 抗体适用
宿主
克隆类型
标记
应用范围
-
-
抗原表位
- Ser59
-
特异性
- This MEF2C antibody is generated from rabbits immunized with a KLH conjugated synthetic peptide between 37-66 amino acids from human MEF2C.
-
纯化方法
- Protein A purified
-
-
-
-
应用备注
-
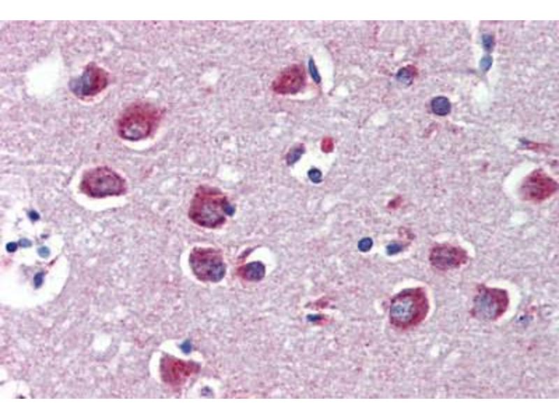
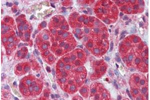
Approved: IHC, IHC-P (10 μg/mL), WB (1:1000)
Usage: Immunohistochemistry: This antibody was validated for use in immunohistochemistry on a panel of 21 formalin-fixed, paraffin-embedded (FFPE) human tissues after heat induced antigen retrieval in pH 6.0 citrate buffer. After incubation with the primary antibody, slides were incubated with biotinylated secondary antibody, followed by alkaline phosphatase-streptavidin and chromogen. The stained slides were evaluated by a pathologist to confirm staining specificity. The optimal working concentration for this antibody was determined to be 10 μg/mL. -
说明
-
Target Species of Antibody: Human
-
限制
- 仅限研究用
-
-
-
状态
- Liquid
-
浓度
- Lot specific
-
缓冲液
- PBS, 0.09 % sodium azide
-
储存液
- Sodium azide
-
注意事项
- This product contains Sodium azide: a POISONOUS AND HAZARDOUS SUBSTANCE which should be handled by trained staff only.
-
储存条件
- 4 °C,-20 °C
-
储存方法
- Maintain refrigerated at 2-8°C for up to 6 months. For long term storage store at -20°C.
-
有效期
- 6 months
-
-
- MEF2C (Myocyte Enhancer Factor 2C (MEF2C))
-
别名
- MEF2C
-
背景
-
Name/Gene ID: MEF2C
Synonyms: MEF2C, C5DELq14.3, DEL5q14.3, Myocyte enhancer factor 2C -
基因ID
- 4208
-
UniProt
- Q06413
-
途径
- Neurotrophin Signaling Pathway, Activation of Innate immune Response, Cellular Response to Molecule of Bacterial Origin, Carbohydrate Homeostasis, Chromatin Binding, Regulation of Muscle Cell Differentiation, Skeletal Muscle Fiber Development, Toll-Like Receptors Cascades, BCR Signaling
抗原
-