VEGFA 抗体
Our Local Distributor
北京 101111
Quick Overview for VEGFA 抗体 (ABIN181548)
抗原
See all VEGFA 抗体适用
宿主
克隆类型
标记
应用范围
-
-
特异性
- This antibody detects VEGF.
-
纯化方法
- Immunoaffinity Chromatography
-
免疫原
- Highly pure (> 98 %) recombinant human VEGF.
-
-
-
-
应用备注
-
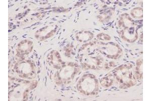
Neutralization: To yield one-half maximal inhibition [ND50] of the biological activity ofHuman VEGF (10 ng/mL), a concentration of 0.05-0.1 μg/mL of this antibody is required. Sandwich ELISA: To detect Human VEGF by Sandwich ELISA (using 100 μL/well antibodysolution) a concentration of 0.5-2.0 μg/mL is required. In conjunction with BiotinylatedAnti-Human VEGF (ABIN181546 or ABIN181545) as a Detection antibody, it allows thedetection of at least 0.2-0.4 ng/well of recombinant Human VEGF. Western Blot: To detect Human VEGF by Western Blot analysis this antibody can be used ata concentration of 0.1-0.2 μg/mL. Used in conjunction with compatible secondary reagentsthe detection limit for recombinant Human VEGF is 1.5-3.0 ng/lane, under either reducingor non-reducing conditions. Immunohistochemistry: 5.0-15.0 μg/mL with 30 minutes at RT or an overnight incubation at4 °C. This antibody stained Formalin-Fixed, Paraffin-Embedded sections of Human breastinvasive ductal carcinoma. An HRP-labeled polymer detection system was used with a DABchromogen. This antibody was also tested in an HRP-Biotin labeling detection system. Heat induced antigen retrieval with pH 6.0 Sodium Citrate buffer is recommended.
Other applications not tested.
Optimal dilutions are dependent on conditions and should be determined by the user. -
限制
- 仅限研究用
-
-
-
溶解方式
- Restore in sterile water to a concentration of 0.1-1.0 mg/mL.
-
缓冲液
- PBS, pH 7.2
-
注意事项
- Avoid repeated freezing and thawing.
-
储存条件
- -20 °C
-
储存方法
- Store the lyophilized antibody at -20 °C. Following reconstitution it is stable for two weeks at 2-8 °C. Frozen aliquots are stable for 6 months when stored at -20 °C.
-
有效期
- 6 months
-
-
- VEGFA (Vascular Endothelial Growth Factor A (VEGFA))
-
别名
- VEGF-A
-
背景
- Synonyms: VEGF, VEGFA, VPF, Vascular endothelial growth factor A, Vascular permeability factor
-
基因ID
- 7422
-
NCBI登录号
- NP_001020537
-
UniProt
- P15692
-
途径
- RTK signaling, Glycosaminoglycan Metabolic Process, Regulation of Cell Size, Tube Formation, Signaling Events mediated by VEGFR1 and VEGFR2, Platelet-derived growth Factor Receptor Signaling, VEGFR1 Specific Signals, VEGF Signaling
抗原
-