电话:
+86 (0512) 65829739
传真:
+86 (010) 6788 5057
电子邮件:
orders@antibodies-online.cn

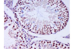
Exonuclease 1 抗体 (AA 31-130)

This 兔 多克隆 antibody specifically detects Exonuclease 1 in WB, ELISA, ICC, FACS, IF (cc), IF (p), IHC (fro) 和 IHC (p). It exhibits reactivity toward 人 和 小鼠.
产品编号 ABIN1713781
发货至: 中国
Contact our Customer Service for availability and price in your country. Contact Info

Our Local Distributor

中国
北京 101111
No. 88 KeChuang 6th Street
Beijing Economic Technological Development Area
Room 801-803
4A Biotech Co.,Ltd.
Tel +86 (0512) 65829739 传真 +86 (010) 6788 5057

Quick Overview for Exonuclease 1 抗体 (AA 31-130) (ABIN1713781)

抗原

See all Exonuclease 1 (EXO1) 抗体
Exonuclease 1 (EXO1)

适用

  • 49
  • 27
  • 7
  • 4
  • 4
  • 3
  • 2
  • 2
  • 1
  • 1
  • 1
  • 1
人, 小鼠

宿主

  • 47
  • 4
  • 1

克隆类型

  • 49
  • 3
多克隆

标记

  • 32
  • 3
  • 3
  • 2
  • 1
  • 1
  • 1
  • 1
  • 1
  • 1
  • 1
  • 1
  • 1
  • 1
  • 1
  • 1
This Exonuclease 1 antibody is un-conjugated

应用范围

  • 45
  • 18
  • 15
  • 12
  • 12
  • 12
  • 9
  • 8
  • 8
  • 2
  • 2
  • 2
  • 1
Western Blotting (WB), ELISA, Immunocytochemistry (ICC), Flow Cytometry (FACS), Immunofluorescence (Cultured Cells) (IF (cc)), Immunofluorescence (Paraffin-embedded Sections) (IF (p)), Immunohistochemistry (Frozen Sections) (IHC (fro)), Immunohistochemistry (Paraffin-embedded Sections) (IHC (p))
  • 抗原表位

    • 15
    • 9
    • 5
    • 4
    • 3
    • 2
    • 2
    • 2
    • 1
    • 1
    • 1
    • 1
    • 1
    • 1
    • 1
    • 1
    • 1
    AA 31-130

    交叉反应

    人, 小鼠

    预测反应

    Rat

    纯化方法

    Purified by Protein A.

    免疫原

    KLH conjugated synthetic peptide derived from human Exonuclease 1

    亚型

    IgG
  • 应用备注

    WB 1:300-5000
    ELISA 1:500-1000
    FCM 1:20-100
    IHC-P 1:200-400
    IHC-F 1:100-500
    IF(IHC-P) 1:50-200
    IF(IHC-F) 1:50-200
    IF(ICC) 1:50-200
    ICC 1:100-500

    限制

    仅限研究用
  • 状态

    Liquid

    浓度

    1 μg/μL

    缓冲液

    0.01M TBS( pH 7.4) with 1 % BSA, 0.02 % Proclin300 and 50 % Glycerol.

    储存液

    ProClin

    注意事项

    This product contains ProClin: a POISONOUS AND HAZARDOUS SUBSTANCE, which should be handled by trained staff only.

    储存条件

    4 °C,-20 °C

    储存方法

    Shipped at 4°C. Store at -20°C for one year. Avoid repeated freeze/thaw cycles.

    有效期

    12 months
  • 抗原

    Exonuclease 1 (EXO1)

    别名

    Exonuclease 1

    背景

    Synonyms: exo1, EXO1_HUMAN, ExoI, Exonuclease 1, Exonuclease I, Exonuclease1, HEX1, hExo I, hExo1, hExoI, Rad2 nuclease family member homolog of S. cerevisiae exonuclease 1.

    Background: Comparative evaluation of the expression patterns of the human and mouse genes, combined with previous biochemical and yeast genetic studies, indicate that the Exo1 (Exonuclease I) proteins are important contributors to chromosome processing during mammalian DNA repair and recombination. In mice, the Exo1 gene maps to distal chromosome 1, consistent with the recent mapping of the orthologous human HEX1/EXO1 gene to chromosome 1q43. Exo1 is expressed prominently in testis, an area of active homologous recombination, and spleen, a prominent lymphoid tissue. In both mammalian and yeast systems, Exo1 is a 5'-3' double stranded DNA exonuclease that has previously been implicated in DNA mismatch repair (MMR). The MMR system ensures genome integrity by removing mispaired and unpaired bases that originate during replication. In humans, Exo1 interacts with MSH2 and MLH1 and has been proposed to be a redundant exonuclease in MMR. In both mammalian and yeast systems, Exo1 plays a structural role in MMR and stabilizes multiprotein complexes containing a number of MMR proteins.

    基因ID

    9156

    途径

    DNA Damage Repair, Production of Molecular Mediator of Immune Response
You are here: