电话:
+86 (0512) 65829739
传真:
+86 (010) 6788 5057
电子邮件:
orders@antibodies-online.cn

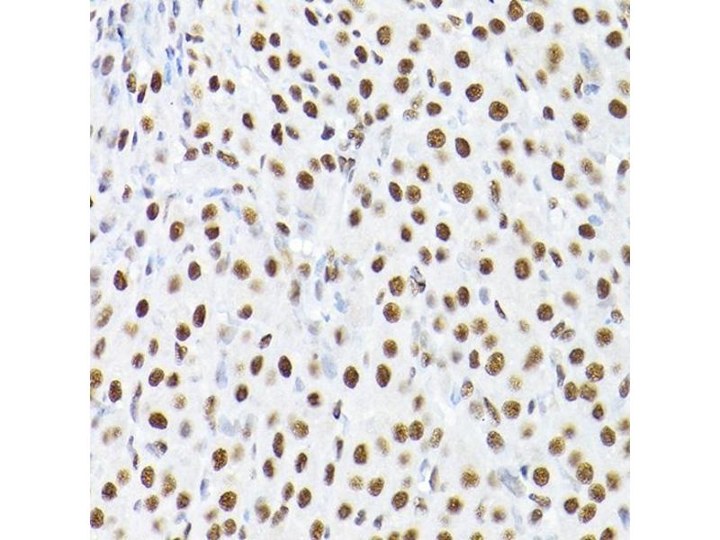
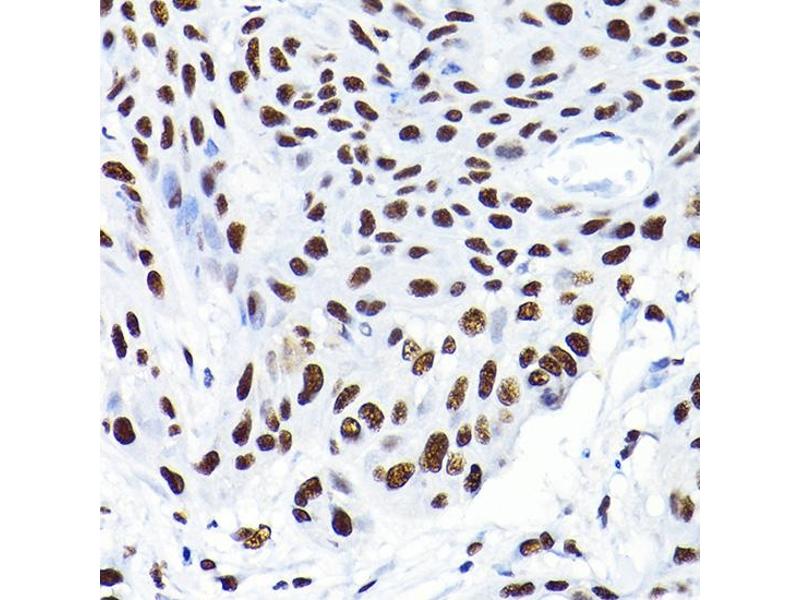
KAP1 抗体 (AA 576-835)

This 兔 多克隆 antibody specifically detects KAP1 in WB, IHC, IF 和 IP. It exhibits reactivity toward 人.It has been mentioned in 1 publication
产品编号 ABIN1683037
发货至: 中国
Contact our Customer Service for availability and price in your country. Contact Info

Our Local Distributor

中国
北京 101111
No. 88 KeChuang 6th Street
Beijing Economic Technological Development Area
Room 801-803
4A Biotech Co.,Ltd.
Tel +86 (0512) 65829739 传真 +86 (010) 6788 5057

Quick Overview for KAP1 抗体 (AA 576-835) (ABIN1683037)

抗原

See all KAP1 (TRIM28) 抗体
KAP1 (TRIM28) (Tripartite Motif Containing 28 (TRIM28))

适用

  • 136
  • 64
  • 62
  • 10
  • 9
  • 9
  • 7
  • 5
  • 4
  • 2
  • 1
  • 1
  • 1

宿主

  • 136
  • 18
  • 4
  • 1

克隆类型

  • 109
  • 50
多克隆

标记

  • 75
  • 10
  • 8
  • 5
  • 5
  • 5
  • 5
  • 5
  • 5
  • 4
  • 3
  • 2
  • 2
  • 2
  • 2
  • 2
  • 2
  • 2
  • 2
  • 2
  • 2
  • 2
  • 2
  • 2
  • 2
  • 1
This KAP1 antibody is un-conjugated

应用范围

  • 108
  • 65
  • 40
  • 37
  • 33
  • 29
  • 27
  • 26
  • 25
  • 20
  • 8
  • 4
  • 4
  • 3
  • 2
  • 2
  • 2
  • 1
  • 1
  • 1
Western Blotting (WB), Immunohistochemistry (IHC), Immunofluorescence (IF), Immunoprecipitation (IP)
  • 抗原表位

    • 31
    • 15
    • 10
    • 8
    • 6
    • 6
    • 5
    • 5
    • 4
    • 3
    • 2
    • 2
    • 2
    • 2
    • 2
    • 1
    • 1
    • 1
    • 1
    • 1
    • 1
    • 1
    • 1
    • 1
    • 1
    • 1
    AA 576-835

    序列

    PVLMALAEGP GAEGPRLASP SGSTSSGLEV VAPEGTSAPG GGPGTLDDSA TICRVCQKPG DLVMCNQCEF CFHLDCHLPA LQDVPGEEWS CSLCHVLPDL KEEDGSLSLD GADSTGVVAK LSPANQRKCE RVLLALFCHE PCRPLHQLAT DSTFSLDQPG GTLDLTLIRA RLQEKLSPPY SSPQEFAQDV GRMFKQFNKL TEDKADVQSI IGLQRFFETR MNEAFGDTKF SAVLVEPPPM SLPGAGLSSQ ELSGGPGDGP

    交叉反应

    人, 小鼠, 大鼠

    产品特性

    Polyclonal Antibodies

    纯化方法

    Affinity purification

    免疫原

    Recombinant fusion protein containing a sequence corresponding to amino acids 576-835 of human KAP1/KAP1/TRIM28 (NP_005753.1).

    亚型

    IgG
  • 应用备注

    WB,1:1000 - 1:3000,IHC,1:100 - 1:200,IF,1:50 - 1:200,IP,1:50 - 1:200

    限制

    仅限研究用
  • 缓冲液

    PBS with 0.02 % sodium azide,50 % glycerol, pH 7.3.

    储存液

    Sodium azide

    注意事项

    This product contains Sodium azide: a POISONOUS AND HAZARDOUS SUBSTANCE which should be handled by trained staff only.

    储存条件

    -20 °C

    储存方法

    Store at -20°C. Avoid freeze / thaw cycles.
  • Han, Cai, Gao, Meng, Gao, Wu, Duan, Wang, Dinislam, Lin, Kang, Jiang: "Loss of ATRX suppresses ATM dependent DNA damage repair by modulating H3K9me3 to enhance temozolomide sensitivity in glioma." in: Cancer letters, Vol. 419, pp. 280-290, (2019) (PubMed).

  • 抗原

    KAP1 (TRIM28) (Tripartite Motif Containing 28 (TRIM28))

    别名

    TRIM28

    背景

    The protein encoded by this gene mediates transcriptional control by interaction with the Kruppel-associated box repression domain found in many transcription factors. The protein localizes to the nucleus and is thought to associate with specific chromatin regions. The protein is a member of the tripartite motif family. This tripartite motif includes three zinc-binding domains, a RING, a B-box type 1 and a B-box type 2, and a coiled-coil region.,KAP1,PPP1R157,RNF96,TF1B,TIF1B,TRIM28,Epigenetics & Nuclear Signaling,Transcription Factors,Cancer,Invasion and Metastasis,Cell Biology & Developmental Biology,Apoptosis,Ubiquitin,TRIM28

    分子量

    79 kDa/88 kDa

    基因ID

    10155

    UniProt

    Q13263

    途径

    Hedgehog Signaling, Positive Regulation of Response to DNA Damage Stimulus
You are here: